• Tel: 858.663.9055
  • SeparatorEmail: info@nsjbio.com
  • Tel: 858.663.9055
  • Email: info@nsjbio.com
Home >> Antibodies >> Epidermal Growth Factor-Like Protein 7 Antibody / EGFL7

Epidermal Growth Factor-Like Protein 7 Antibody / EGFL7 [clone EGFL7/9499] (V5966)

  Catalog No Formulation Size Price (USD)  
Image V5966-100UG 0.2 mg/ml in 1X PBS with 0.05% BSA, 0.05% sodium azide 100 ug 559
Image
V5966-20UG 0.2 mg/ml in 1X PBS with 0.05% BSA, 0.05% sodium azide 20 ug 259
Image
V5966SAF-100UG 1 mg/ml in 1X PBS; BSA free, sodium azide free 100 ug 559
Bulk quote request
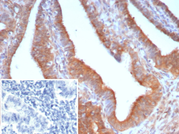
Immunohistochemistry analysis of Epidermal Growth Factor-Like Protein 7 / EGFL7 antibody in human endometrium. FFPE human endometrium tissue was stained with Epidermal Growth Factor-Like Protein 7 / EGFL7 antibody (clone EGFL7/9499). HRP-DAB brown chromogenic signal is observed predominantly along the luminal and glandular epithelial surfaces, with membranous and cytoplasmic staining of epithelial cells. The staining pattern is consistent with extracellular and endothelial-associated localization of EGFL7 within glandular structures. Surrounding stromal cells show comparatively weaker signal. Nuclei are counterstained blue. The inset image shows PBS used instead of primary antibody, demonstrating absence of specific HRP-DAB brown staining and confirming staining specificity. Heat-induced epitope retrieval was performed in 10 mM Tris with 1 mM EDTA, pH 9.0, for 45 minutes at 95oC followed by cooling at room temperature for 20 minutes prior to antibody incubation.
Western blot analysis of Epidermal Growth Factor-Like Protein 7 / EGFL7 antibody in human tissues and cell lines. Western blot was performed using Epidermal Growth Factor-Like Protein 7 / EGFL7 antibody (clone EGFL7/9499) on human kidney, human lung, human spleen, HL60, K-562, and MCF7 lysates. A distinct immunoreactive band is detected at approximately 27 kDa across all tested samples, consistent with the predicted molecular weight of EGFL7. Band intensity varies slightly among tissues and cell lines, reflecting differential endogenous expression levels. The detected signal corresponds to the predicted molecular weight under reducing conditions. EGFL7 is a secreted extracellular matrix-associated protein expressed primarily by endothelial cells, and the observed band pattern supports specific recognition of endogenous EGFL7 in human tissues and cultured cells.
Western blot analysis of Epidermal Growth Factor-Like Protein 7 / EGFL7 antibody in 293T lysate. Western blot was performed using Epidermal Growth Factor-Like Protein 7 / EGFL7 antibody (clone EGFL7/9499) on human 293T whole cell lysate. A distinct immunoreactive band is observed at approximately 20 kDa. The predicted molecular weight of EGFL7 is approximately 30 kDa; however, EGFL7 is a secreted extracellular matrix-associated protein that can undergo proteolytic processing, which may account for the lower apparent molecular weight observed under reducing conditions.
SDS-PAGE Analysis of Purified Epidermal Growth Factor-Like Protein 7/EGFL7 antibody (EGFL7/9499). Confirmation of Purity and Integrity of Antibody.
Species Reactivity Human
Format Purified
Host Mouse
Clonality Monoclonal (mouse origin)
Isotype Mouse IgG1, kappa
Clone Name EGFL7/9499
UniProt Q9UHF1
Localization Extracellular space, Secreted
Applications Immunohistochemistry (FFPE) : 1-2ug/ml
Western Blot : 2-4ug/ml
Limitations This Epidermal Growth Factor-Like Protein 7/EGFL7 antibody is available for research use only.
Review this product on BioCompare and get a $20 Amazon gift card

Related Products

Description

Epidermal Growth Factor-Like Protein 7 antibody, also known as EGFL7 antibody, recognizes a secreted extracellular matrix-associated protein commonly referred to as EGF-like domain-containing protein 7 and Vascular endothelial statin. Epidermal Growth Factor-Like Protein 7 is encoded by the EGFL7 gene located on chromosome 9q34 and is predominantly expressed by endothelial cells. The protein is secreted into the extracellular space, where it incorporates into the vascular basement membrane and contributes to vascular integrity and remodeling. EGFL7 expression is particularly elevated during embryonic angiogenesis and in tissues undergoing active vascular remodeling.

Epidermal Growth Factor-Like Protein 7 functions as a regulator of endothelial cell adhesion, migration, and tubule formation. It plays a key role in vascular lumen formation and stabilization of endothelial architecture. EGFL7 antibody is widely used in studies of angiogenesis, tumor-associated neovascularization, and vascular development. The protein has also been shown to modulate Notch signaling in endothelial cells, influencing vascular patterning and differentiation during development.

Structurally, Epidermal Growth Factor-Like Protein 7 contains multiple epidermal growth factor-like repeats that mediate interactions with integrins and other extracellular matrix components. Through these domains, EGFL7 supports endothelial cell-matrix communication and maintains vascular stability. Its expression is developmentally regulated, with high levels in embryonic vasculature and more restricted expression in adult tissues except during repair, inflammation, or tumor angiogenesis.

Dysregulated EGFL7 expression has been associated with cancer progression and metastasis. Increased EGFL7 levels are observed in colorectal, breast, and hepatocellular carcinomas, where enhanced angiogenesis supports tumor growth and dissemination. Because EGFL7 is largely endothelial-specific, it serves as a valuable marker for studying tumor vasculature and vascular remodeling processes. Its extracellular localization also makes it of interest in therapeutic strategies targeting angiogenesis.

Epidermal Growth Factor-Like Protein 7 antibody supports research in vascular biology, angiogenesis, and tumor microenvironment signaling. Clone EGFL7/9499 recognizes EGFL7 and is suitable for detecting Epidermal Growth Factor-Like Protein 7 expression in relevant research applications.

Application Notes

Optimal dilution of the Epidermal Growth Factor-Like Protein 7/EGFL7 antibody should be determined by the researcher.

Immunogen

A recombinant fragment (around amino acids 1-200) of human EGFL7 protein (exact sequence is proprietary) was used as the immunogen for the Epidermal Growth Factor-Like Protein 7/EGFL7 antibody.

Storage

Epidermal Growth Factor-Like Protein 7/EGFL7 antibody with sodium azide - store at 2 to 8oC; antibody without sodium azide - store at -20 to -80oC.

Cross
Bulk Quote Request Form
Name*:
Organization*:
Email*:
Phone Number*:
Catalog No.*:
Comments and Specifics(amount, formulation, etc.)*:
Validation code: Captchapackage Image


Can't read the image? click here to refresh.
    *required field

Your bulk quote request has been submitted successfully!

Please contact us if you have any questions.