• Tel: 858.663.9055
  • SeparatorEmail: info@nsjbio.com
  • Tel: 858.663.9055
  • Email: info@nsjbio.com
Home >> Antibodies >> EphA1 Antibody

EphA1 Antibody (R30649)

  Catalog No Formulation Size Price (USD)  
Image R30649 0.5mg/ml if reconstituted with 0.2ml sterile DI water 100 ug 449
Bulk quote request
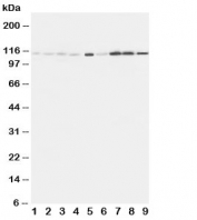
Western blot testing of EphA1 antibody and Lane 1: rat liver; 2: (r) lung; 3: (r) intestine; 4: (r) ovary; 5: U87; 6: A549; 7: COLO320; 8: SW620; 9: HeLa cell lysate. Predicted molecular weight: ~108kDa.
IHC-P: EphA1 antibody testing of human colon cancer tissue. HIER: steamed with pH6 citrate buffer.
IHC-P: EphA1 antibody testing of rat brain tissue. HIER: steamed with pH6 citrate buffer.
Availability 1-3 business days
Species Reactivity Human, Mouse, Rat
Format Antigen affinity purified
Host Rabbit
Clonality Polyclonal (rabbit origin)
Isotype Rabbit IgG
Purity Antigen affinity
Buffer Lyophilized from 1X PBS with 2.5% BSA and 0.025% sodium azide/thimerosal
UniProt P21709
Applications Western Blot : 0.5-1ug/ml
IHC (FFPE) : 0.5-1ug/ml
Limitations This EphA1 antibody is available for research use only.
Review this product on BioCompare and get a $20 Amazon gift card

Related Products

  • Applications : WB, ELISA
    Reactivity : Mouse
  • Applications : IHC, FACS, ELISA
    Reactivity : Human
  • Applications : WB, IHC, ELISA
    Reactivity : Human
  • Applications : WB, ELISA
    Reactivity : Mouse
  • Applications : WB, ELISA
    Reactivity : Human, Mouse

Description

EPH receptor A1, is a protein that in humans is encoded by the EPHA1 gene. This gene belongs to the ephrin receptor subfamily of the protein-tyrosine kinase family. The gene is mapped to 7q34-q35. EPH and EPH-related receptors have been implicated in mediating developmental events, particularly in the nervous system. Receptors in the EPH subfamily typically have a single kinase domain and an extracellular region containing a Cys-rich domain and 2 fibronectin type III repeats. They are divided into two groups based on the similarity of their extracellular domain sequences and their affinities for binding ephrin-A and ephrin-B ligands. This gene is expressed in some human cancer cell lines and has been implicated in carcinogenesis.

Application Notes

The stated application concentrations are suggested starting amounts. Titration of the EphA1 antibody may be required due to differences in protocols and secondary/substrate sensitivity.

Immunogen

An amino acid sequence from the C-terminus of human EphA1 (HQKRILCSIQGFKD) was used as the immunogen for this EphA1 antibody (100% homologous in human, mouse and rat).

Storage

After reconstitution, the EphA1 antibody can be stored for up to one month at 4oC. For long-term, aliquot and store at -20oC. Avoid repeated freezing and thawing.

Cross
Bulk Quote Request Form
Name*:
Organization*:
Email*:
Phone Number*:
Catalog No.*:
Comments and Specifics(amount, formulation, etc.)*:
Validation code: Captchapackage Image


Can't read the image? click here to refresh.
    *required field

Your bulk quote request has been submitted successfully!

Please contact us if you have any questions.