• Tel: 858.663.9055
  • SeparatorEmail: info@nsjbio.com
  • Tel: 858.663.9055
  • Email: info@nsjbio.com
Home >> Antibodies >> EPH Receptor B4 Antibody / EPHB4

EPH Receptor B4 Antibody / EPHB4 [clone EPHB4/6391] (V5210)

  Catalog No Formulation Size Price (USD)  
Image V5210-100UG 0.2 mg/ml in 1X PBS with 0.1 mg/ml BSA (US sourced), 0.05% sodium azide 100 ug 559
Image
V5210-20UG 0.2 mg/ml in 1X PBS with 0.1 mg/ml BSA (US sourced), 0.05% sodium azide 20 ug 259
Image
V5210SAF-100UG 1 mg/ml in 1X PBS; BSA free, sodium azide free 100 ug 559
Microvalidated
Bulk quote request
IHC staining of FFPE human liver in colon with EPH Receptor B4 antibody (clone EPHB4/6391). HIER: boil tissue sections in pH 9 10mM Tris with 1mM EDTA for 20 min and allow to cool before testing.
IHC staining of FFPE dog kidney tissue with EPH Receptor B4 antibody (clone EPHB4/6391). HIER: boil tissue sections in pH 9 10mM Tris with 1mM EDTA for 20 min and allow to cool before testing.
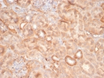
IHC staining of FFPE cat kidney with EPH Receptor B4 (EPHB4) antibody (clone EPHB4/6391). HIER: boil tissue sections in pH 9 10mM Tris with 1mM EDTA for 20 min and allow to cool before testing.
Analysis of a HuProt(TM) microarray containing more than 19,000 full-length human proteins using EPH Receptor B4 antibody (EPHB4/6391). Z- and S- Score: The Z-score represents the strength of a signal that a monoclonal antibody (in combination with a fluorescently-tagged anti-IgG secondary antibody) produces when binding to a particular protein on the HuProt(TM) array. Z-scores are described in units of standard deviations (SD's) above the mean value of all signals generated on that array. If targets on HuProt(TM) are arranged in descending order of the Z-score, the S-score is the difference (also in units of SD's) between the Z-score. S-score therefore represents the relative target specificity of a mAb to its intended target. A mAb is considered to specific to its intended target, if the mAb has an S-score of at least 2.5. For example, if a mAb binds to protein X with a Z-score of 43 and to protein Y with a Z-score of 14, then the S-score for the binding of that mAb to protein X is equal to 29.
Availability 1-3 business days
Species Reactivity Human
Format Purified
Host Mouse
Clonality Monoclonal (mouse origin)
Isotype Mouse IgG2, kappa
Clone Name EPHB4/6391
Purity Protein A/G affinity
UniProt P54760
Localization Membrane, cytoplasm
Applications Immunohistochemistry (FFPE) : 1-2ug/ml for 30 min at RT
Limitations This EPH Receptor B4 antibody is available for research use only.
Review this product on BioCompare and get a $20 Amazon gift card

Related Products

Description

The Eph subfamily represents the largest group of receptor protein tyrosine kinases identified to date. While the biological activities of these receptors have yet to be determined, there is increasing evidence that they are involved in central nervous system function and in development. The Eph subfamily receptors of human origin (and their murine/avian homologs) include EphA1 (Eph), EphA2 (Eck), EphA3 (Hek4), EphA4 (Hek8), EphA5 (Hek7), EphA6 (Hek12), EphA7 (Hek11/MDK1), EphA8 (Hek3), EphB1 (Hek6), EphB2 (Hek5), EphB3 (Cek10, Hek2), EphB4 (Htk), EphB5 (Hek9) and EphB6 (Mep). Ligands for Eph receptors include ephrin-A4 (LERK-4) which binds EphA3 and EphB1. In addition, ephrin-A2 (ELF-1) has been described as the ligand for EphA4, ephrin-A3 (Ehk1-L) as the ligand for EphA5 and ephrin-B2 (Htk-L) as the ligand for EphB4 (Htk).

Application Notes

Optimal dilution of the EPH Receptor B4 antibody should be determined by the researcher.

Immunogen

A recombinant partial protein sequence (within amino acids 1-200) from the human protein was used as the immunogen for the EPH Receptor B4 antibody.

Storage

Aliquot the EPH Receptor B4 antibody and store frozen at -20oC or colder. Avoid repeated freeze-thaw cycles.

Cross
Bulk Quote Request Form
Name*:
Organization*:
Email*:
Phone Number*:
Catalog No.*:
Comments and Specifics(amount, formulation, etc.)*:
Validation code: Captchapackage Image


Can't read the image? click here to refresh.
    *required field

Your bulk quote request has been submitted successfully!

Please contact us if you have any questions.