• Tel: 858.663.9055
  • SeparatorEmail: info@nsjbio.com
  • Tel: 858.663.9055
  • Email: info@nsjbio.com
Home >> Antibodies >> EpCAM Antibody

EpCAM Antibody [clone rEGP40/7334] (V4917)

  Catalog No Formulation Size Price (USD)  
Image V4917-100UG 0.2 mg/ml in 1X PBS with 0.1 mg/ml BSA (US sourced), 0.05% sodium azide 100 ug 559
Image
V4917-20UG 0.2 mg/ml in 1X PBS with 0.1 mg/ml BSA (US sourced), 0.05% sodium azide 20 ug 259
Image
V4917SAF-100UG 1 mg/ml in 1X PBS; BSA free, sodium azide free 100 ug 559
Microvalidated Recmousemono
Bulk quote request
IHC staining of FFPE dog liver with EpCAM / CD326 antibody (clone rEGP40/7334). HIER: boil tissue sections in pH 9 10mM Tris with 1mM EDTA for 20 min and allow to cool before testing.
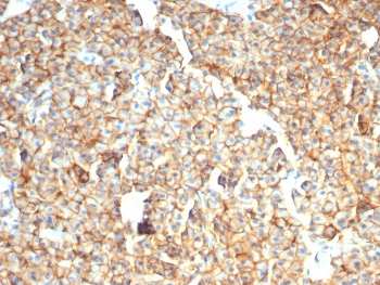
IHC staining of FFPE cat colon with EpCAM / CD326 antibody (clone rEGP40/7334). HIER: boil tissue sections in pH 9 10mM Tris with 1mM EDTA for 20 min and allow to cool before testing.
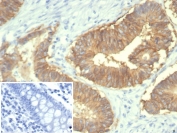
IHC staining of FFPE human colon tissue with EpCAM / CD326 antibody (clone rEGP40/7334). Inset: PBS used in place of primary Ab (secondary Ab negative control). HIER: boil tissue sections in pH 9 10mM Tris with 1mM EDTA for 20 min and allow to cool before testing.
Analysis of a HuProt(TM) microarray containing >19,000 full-length human proteins using EpCAM antibody (clone rEGP40/7334) Z- and S- Score: The Z-score represents the strength of a signal that a monoclonal antibody (in combination with a fluorescently-tagged anti-IgG secondary antibody) produces when binding to a particular protein on the HuProt(TM) array. Z-scores are described in units of standard deviations (SD's) above the mean value of all signals generated on that array. If targets on HuProt(TM) are arranged in descending order of the Z-score, the S-score is the difference (also in units of SD's) between the Z-score. S-score therefore represents the relative target specificity of a mAb to its intended target. A mAb is considered to specific to its intended target, if the mAb has an S-score of at least 2.5. For example, if a mAb binds to protein X with a Z-score of 43 and to protein Y with a Z-score of 14, then the S-score for the binding of that mAb to protein X is equal to 29.
Availability 1-3 business days
Species Reactivity Human, Cat, Dog
Format Purified
Host Mouse
Clonality Recombinant Mouse Monoclonal
Isotype Mouse IgG1, kappa
Clone Name rEGP40/7334
Purity Protein A/G affinity
UniProt P16422
Localization Cell surface
Applications Immunohistochemistry (FFPE) : 1-2ug/ml for 30 min at RT
Limitations This EpCAM antibody is available for research use only.
Review this product on BioCompare and get a $20 Amazon gift card

Related Products

  • Applications : IHC-P
    Reactivity : Human, Mouse, Rat, Dog, Cat
    Microvalidated
  • Applications : FACS, IF, IHC-P
    Reactivity : Human
    Citation  Citations(21)
  • Applications : FACS
    Reactivity : Human. Does not react with rat. Other species not known.
    Citation  Citations(9)
  • Applications : FACS, IF, IHC-P
    Reactivity : Human
    Citation  Citations(9)
  • Applications : WB
    Reactivity : Human
  • Applications : FACS
    Reactivity : Human
    Citation  Citations(9)
  • Applications : FACS, IF, WB, IHC-P
    Reactivity : Human
  • Applications : IHC-P
    Reactivity : Human
    Citation  Citations(1)
  • Applications : WB, IHC-P
    Reactivity : Human
    Citation  Citations(6)
  • Applications : FACS, IF, WB, IHC-P
    Reactivity : Human
  • Applications : FACS, IF, WB, IHC-P
    Reactivity : Human
  • Applications : WB, ELISA
    Reactivity : Human
  • Applications : FACS, WB, ELISA
    Reactivity : Human
  • Applications : WB, ELISA
    Reactivity : Human
    Pred. Reactivity : Bovine, Pig
  • Applications : FACS, WB, ELISA
    Reactivity : Mouse, Human
    Pred. Reactivity : Rat
  • Applications : WB, ELISA
    Reactivity : Mouse
    Pred. Reactivity : Rat
  • Applications : WB, ELISA
    Reactivity : Human, Mouse, Rat

Description

EpCAM antibody detects epithelial cell adhesion molecule, a transmembrane glycoprotein encoded by the EPCAM gene. EpCAM is expressed broadly in epithelial tissues and is frequently upregulated in epithelial-derived tumors. The molecule contributes to intercellular adhesion, cellular proliferation, and signaling cascades that influence development and oncogenesis. Because EpCAM expression is widespread in carcinomas, EpCAM antibody has become an indispensable marker in oncology and epithelial biology.

EpCAM structure consists of an extracellular domain, a single transmembrane helix, and a short intracellular tail. The extracellular portion mediates homophilic cell adhesion, while the cytoplasmic region interacts with adaptor proteins that regulate signaling. Proteolytic cleavage of EpCAM can release its intracellular domain, which enters the nucleus and modulates transcription of genes linked to proliferation. This dual role in adhesion and transcriptional regulation underscores the importance of EpCAM in both physiology and pathology.

In healthy tissues, EpCAM maintains epithelial integrity and polarity. In cancer, however, EpCAM is frequently overexpressed and redistributed, correlating with tumor progression and poor prognosis. It is studied in colorectal, breast, ovarian, and pancreatic carcinomas, where its presence helps classify tumors and assess aggressiveness. Research also shows that EpCAM supports cancer stem cell properties, linking it to therapy resistance and tumor recurrence.

The EpCAM antibody clone rEGP40/7334 provides reproducible and specific detection of this protein. Recombinant production ensures uniform performance across lots, making clone rEGP40/7334 dependable for long-term projects. Peer-reviewed studies have employed EpCAM antibodies in cancer classification, stem cell research, and translational studies aimed at antibody-based therapeutics. This clone is suited to both basic and applied investigations where EpCAM detection is critical.

Research using clone rEGP40/7334 has clarified how EpCAM expression patterns distinguish carcinoma subtypes and guide patient management. Its detection has also contributed to the development of targeted therapies, including monoclonal antibodies and CAR T cell approaches designed to selectively recognize EpCAM-positive tumors. Because EpCAM is largely absent from non-epithelial tissues, it offers a level of tumor specificity that supports therapeutic exploration. Publications have documented its value in defining tumor biology and supporting precision medicine strategies.

Beyond oncology, EpCAM is relevant in developmental and stem cell biology. It marks epithelial progenitors and is used to isolate stem cell populations for regenerative studies. This highlights its dual importance as both a cancer marker and a developmental regulator. Detection with clone rEGP40/7334 continues to provide insight into epithelial lineage biology and tumor pathogenesis.

NSJ Bioreagents supplies this EpCAM antibody to support studies in oncology, stem cell research, and therapeutic development. Alternate names include epithelial cell adhesion molecule antibody, ESA antibody, TACSTD1 antibody, tumor-associated calcium signal transducer 1 antibody, epithelial tumor marker antibody, and EpCAM glycoprotein antibody.

Application Notes

Optimal dilution of the EpCAM antibody should be determined by the researcher.

Immunogen

Recombinant full-length human protein was used as the immunogen for the EpCAM antibody.

Storage

Aliquot the EpCAM antibody and store frozen at -20oC or colder. Avoid repeated freeze-thaw cycles.

Cross
Bulk Quote Request Form
Name*:
Organization*:
Email*:
Phone Number*:
Catalog No.*:
Comments and Specifics(amount, formulation, etc.)*:
Validation code: Captchapackage Image


Can't read the image? click here to refresh.
    *required field

Your bulk quote request has been submitted successfully!

Please contact us if you have any questions.