• Tel: 858.663.9055
  • SeparatorEmail: info@nsjbio.com
  • Tel: 858.663.9055
  • Email: info@nsjbio.com
Home >> Antibodies >> EpCAM Antibody

EpCAM Antibody [clone EGP40/837] (V2692)

  Catalog No Formulation Size Price (USD)  
Image V2692-100UG 0.2 mg/ml in 1X PBS with 0.1 mg/ml BSA (US sourced) and 0.05% sodium azide 100 ug 559
Image
V2692-20UG 0.2 mg/ml in 1X PBS with 0.1 mg/ml BSA (US sourced) and 0.05% sodium azide 20 ug 259
Image
V2692SAF-100UG 1 mg/ml in 1X PBS; BSA free, sodium azide free 100 ug 559
Image
V2692IHC-7ML Prediluted in 1X PBS with 0.1 mg/ml BSA (US sourced) and 0.05% sodium azide; *For IHC use only* 7 ml 559
Bulk quote request
Western blot of HCT116 cell lysate using EpCAM antibody (EGP40/837). Expected molecular weight: ~35 kDa (unmodified), 40-43 kDa (glycosylated).
Confocal Immunofluorescent analysis of SK-OV-3 cells using AF488-labeled EpCAM antibody (green). DAPI was used to stain the cell nuclei (blue).
Immunofluorescent staining of human MCF7 cells with EpCAM antibody (clone EGP40/837, green) and Reddot nuclear stain (red).
Flow cytometry testing of human MCF-7 cells. Black: cells alone; Green: isotype control; Red: PE-labeled EpCAM antibody.
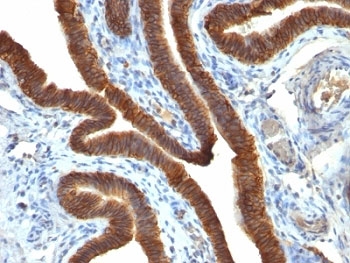
IHC: Formalin-fixed, paraffin-embedded human colon carcinoma stained with EpCAM antibody.
IHC: Formalin-fixed, paraffin-embedded human ovarian carcinoma stained with EpCAM antibody.
SDS-PAGE analysis of purified, BSA-free EpCAM antibody (clone EGP40/837) as confirmation of integrity and purity.
Availability 1-3 business days
Species Reactivity Human
Format Purified
Host Mouse
Clonality Monoclonal (mouse origin)
Isotype Mouse IgG1, kappa
Clone Name EGP40/837
Purity Protein G affinity chromatography
UniProt P16422
Localization Cell surface, cytoplasmic
Applications Flow Cytometry : 1-2ug/10^6 cells
Immunofluorescence : 1-2ug/ml
Western Blot : 1-2ug/ml
Immunohistochemistry (FFPE) : 1-2ug/ml for 30 min at RT
Limitations This EpCAM antibody is available for research use only.
Review this product on BioCompare and get a $20 Amazon gift card

Related Products

  • Applications : IHC-P
    Reactivity : Human, Mouse, Rat, Dog, Cat
    Microvalidated
  • Applications : FACS, IF, IHC-P
    Reactivity : Human
    Citation  Citations(21)
  • Applications : FACS
    Reactivity : Human. Does not react with rat. Other species not known.
    Citation  Citations(9)
  • Applications : FACS, IF, IHC-P
    Reactivity : Human
    Citation  Citations(9)
  • Applications : WB
    Reactivity : Human
  • Applications : FACS
    Reactivity : Human
    Citation  Citations(9)
  • Applications : FACS, IF, WB, IHC-P
    Reactivity : Human
  • Applications : IHC-P
    Reactivity : Human
    Citation  Citations(1)
  • Applications : WB, IHC-P
    Reactivity : Human
    Citation  Citations(6)
  • Applications : FACS, IF, WB, IHC-P
    Reactivity : Human
  • Applications : WB, ELISA
    Reactivity : Human
  • Applications : FACS, WB, ELISA
    Reactivity : Human
  • Applications : WB, ELISA
    Reactivity : Human
    Pred. Reactivity : Bovine, Pig
  • Applications : FACS, WB, ELISA
    Reactivity : Mouse, Human
    Pred. Reactivity : Rat
  • Applications : WB, ELISA
    Reactivity : Mouse
    Pred. Reactivity : Rat
  • Applications : WB, ELISA
    Reactivity : Human, Mouse, Rat

Description

EpCAM may act as a physical homophilic interaction molecule between intestinal epithelial cells (IECs) and intraepithelial lymphocytes (IELs) at the mucosal epithelium for providing immunological barrier as a first line of defense against mucosal infection. [UniProt]

Application Notes

Optimal dilution of the EpCAM antibody should be determined by the researcher.

1. Staining of formalin-fixed tissues requires boiling tissue sections in pH 9 10mM Tris with 1mM EDTA for 10-20 min followed by cooling at RT for 20 min
2. The prediluted format is supplied in a dropper bottle and is optimized for use in IHC. After epitope retrieval step (if required), drip mAb solution onto the tissue section and incubate at RT for 30 min.

Immunogen

Recombinant human protein was used as the immunogen for the EpCAM antibody.

Storage

Store the EpCAM antibody at 2-8oC (with azide) or aliquot and store at -20oC or colder (without azide).

Cross
Bulk Quote Request Form
Name*:
Organization*:
Email*:
Phone Number*:
Catalog No.*:
Comments and Specifics(amount, formulation, etc.)*:
Validation code: Captchapackage Image


Can't read the image? click here to refresh.
    *required field

Your bulk quote request has been submitted successfully!

Please contact us if you have any questions.