• Tel: 858.663.9055
  • SeparatorEmail: info@nsjbio.com
  • Tel: 858.663.9055
  • Email: info@nsjbio.com
Home >> Antibodies >> EpCAM Antibody

EpCAM Antibody [clone Ber-EP4] (V7934)

  Catalog No Formulation Size Price (USD)  
Image V7934-0.5ML Culture supernatant with 0.05% sodium azide 0.5 ml 559
Image
V7934-0.1ML Culture supernatant with 0.05% sodium azide 0.1 ml 259
Bulk quote request
Flow cytometry testing of human MCF7 cells with EpCAM antibody (clone Ber-EP4); Red=isotype control, Blue= EpCAM antibody.
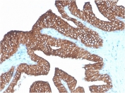
IHC staining of FFPE human prostate carcinoma with EpCAM antibody (clone Ber-EP4). HIER: boil tissue sections in pH 9 10mM Tris with 1mM EDTA for 10-20 min and allow to cool before testing.
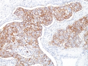
IHC staining of FFPE human breast carcinoma with EpCAM antibody (clone Ber-EP4). HIER: boil tissue sections in pH 9 10mM Tris with 1mM EDTA for 10-20 min and allow to cool before testing.
Availability 1-3 business days
Species Reactivity Human
Format Culture supernatant
Host Mouse
Clonality Monoclonal (mouse origin)
Isotype Mouse IgG1, kappa
Clone Name Ber-EP4
Purity Culture supernatant
UniProt P16422
Localization Cell surface, cytoplasmic
Applications Immunohistochemistry (FFPE) : 1:100-1:200
Flow Cytometry : 1:100-1:200
Limitations This EpCAM antibody is available for research use only.
Review this product on BioCompare and get a $20 Amazon gift card

Related Products

  • Applications : IHC-P
    Reactivity : Human, Mouse, Rat, Dog, Cat
    Microvalidated
  • Applications : FACS, IF, IHC-P
    Reactivity : Human
    Citation  Citations(21)
  • Applications : FACS
    Reactivity : Human. Does not react with rat. Other species not known.
    Citation  Citations(9)
  • Applications : FACS, IF, IHC-P
    Reactivity : Human
    Citation  Citations(9)
  • Applications : WB
    Reactivity : Human
  • Applications : FACS
    Reactivity : Human
    Citation  Citations(9)
  • Applications : FACS, IF, WB, IHC-P
    Reactivity : Human
  • Applications : IHC-P
    Reactivity : Human
    Citation  Citations(1)
  • Applications : WB, IHC-P
    Reactivity : Human
    Citation  Citations(6)
  • Applications : FACS, IF, WB, IHC-P
    Reactivity : Human
  • Applications : FACS, IF, WB, IHC-P
    Reactivity : Human
  • Applications : WB, ELISA
    Reactivity : Human
  • Applications : FACS, WB, ELISA
    Reactivity : Human
  • Applications : WB, ELISA
    Reactivity : Human
    Pred. Reactivity : Bovine, Pig
  • Applications : FACS, WB, ELISA
    Reactivity : Mouse, Human
    Pred. Reactivity : Rat
  • Applications : WB, ELISA
    Reactivity : Mouse
    Pred. Reactivity : Rat
  • Applications : WB, ELISA
    Reactivity : Human, Mouse, Rat

Description

EpCAM antibody detects epithelial cell adhesion molecule, encoded by the EPCAM gene. EpCAM is a transmembrane glycoprotein expressed broadly on epithelial tissues and frequently overexpressed in epithelial-derived tumors. It mediates intercellular adhesion, modulates signaling pathways, and contributes to proliferation and migration. Because EpCAM is widely recognized as a carcinoma-associated marker, EpCAM antibody is extensively used in pathology, oncology, and epithelial biology.

EpCAM has a large extracellular region, a transmembrane domain, and a short intracellular tail. Beyond adhesion, it undergoes regulated proteolysis, releasing intracellular fragments that influence gene transcription and cell survival. Overexpression of EpCAM in many carcinomas correlates with poor prognosis, highlighting its role in cancer progression and metastasis. Its surface localization makes it accessible for both detection and therapeutic targeting.

The EpCAM antibody clone Ber-EP4 provides robust and reproducible recognition of this marker. Clone Ber-EP4 has been referenced extensively in peer-reviewed publications and is widely used in diagnostic pathology. It reliably distinguishes epithelial-derived carcinomas from mesotheliomas and non-epithelial malignancies. In cytology, clone Ber-EP4 is employed to identify carcinoma cells in effusions and fine-needle aspirates, supporting accurate diagnosis and classification.

Research using clone Ber-EP4 has shown its diagnostic importance across cancers such as lung, breast, colorectal, and ovarian carcinoma. It has also been applied in studies of circulating tumor cells, where EpCAM detection enables enrichment and analysis of malignant cells in blood. Beyond oncology, this antibody supports basic epithelial biology research, providing insight into cell polarity, adhesion, and differentiation pathways.

NSJ Bioreagents provides this EpCAM antibody to support oncology, epithelial biology, and diagnostic research. Alternate names include EPCAM antibody, ESA antibody, TACSTD1 antibody, tumor-associated calcium signal transducer 1 antibody, epithelial tumor marker antibody, and Ber-EP4 antibody.

Application Notes

Optimal dilution of the EpCAM antibody should be determined by the researcher.

Immunogen

Human breast cancer MCF-7 cells were used as the immunogen for the EpCAM antibody.

Storage

Store the EpCAM antibody at 2-8oC (with azide) or aliquot and store at -20oC or colder (without azide).

Cross
Bulk Quote Request Form
Name*:
Organization*:
Email*:
Phone Number*:
Catalog No.*:
Comments and Specifics(amount, formulation, etc.)*:
Validation code: Captchapackage Image


Can't read the image? click here to refresh.
    *required field

Your bulk quote request has been submitted successfully!

Please contact us if you have any questions.