• Tel: 858.663.9055
  • SeparatorEmail: info@nsjbio.com
  • Tel: 858.663.9055
  • Email: info@nsjbio.com
Home >> Antibodies >> EpCAM Antibody

EpCAM Antibody [clone 323/A3] (V2187)

  Catalog No Formulation Size Price (USD)  
Image V2187-100UG 0.2 mg/ml in 1X PBS with 0.1 mg/ml BSA (US sourced) and 0.05% sodium azide 100 ug 559
Image
V2187-20UG 0.2 mg/ml in 1X PBS with 0.1 mg/ml BSA (US sourced) and 0.05% sodium azide 20 ug 259
Image
V2187SAF-100UG 1 mg/ml in 1X PBS; BSA free, sodium azide free 100 ug 559
Image
V2187IHC-7ML Prediluted in 1X PBS with 0.1 mg/ml BSA (US sourced) and 0.05% sodium azide; *For IHC use only* 7 ml 559
Bulk quote request
Flow cytometry testing of PFA-fixed human MCF7 cells with EpCAM antibody (clone 323/A3); Red=isotype control, Blue= EpCAM antibody.
Immunofluorescent testing of FFPE human HT29 cells with EpCAM antibody (clone 323/A3). Green = EpCAM antibody, blue = DAPI (nuclear stain).
IHC testing of FFPE human colon carcinoma with EpCAM antibody (clone 323/A3).
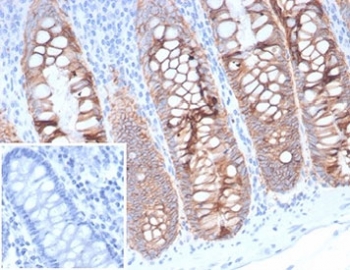
IHC testing of FFPE human colon tissue with EpCAM antibody (clone 323/A3). Inset: PBS used in place of primary Ab (secondary Ab negative control). HIER: boil tissue sections in pH 9 10mM Tris with 1mM EDTA for 20 min and allow to cool before testing.
Species Reactivity Human
Format Purified
Host Mouse
Clonality Monoclonal (mouse origin)
Isotype Mouse IgG1, kappa
Clone Name 323/A3
Purity Protein G affinity chromatography
Buffer 1X PBS, pH 7.4
Gene ID 4072
Localization Cell surface, cytoplasmic
Applications Flow Cytometry : 1-2ug/million cells
Immunofluorescence : 1-2ug/ml
Immunohistochemistry (FFPE) : 1-2ug/ml for 30 min at RT
Limitations This EpCAM antibody is available for research use only.
Review this product on BioCompare and get a $20 Amazon gift card

Related Products

  • Applications : IHC-P
    Reactivity : Human, Mouse, Rat, Dog, Cat
    Microvalidated
  • Applications : FACS, IF, IHC-P
    Reactivity : Human
    Citation  Citations(21)
  • Applications : FACS
    Reactivity : Human. Does not react with rat. Other species not known.
    Citation  Citations(9)
  • Applications : WB
    Reactivity : Human
  • Applications : FACS
    Reactivity : Human
    Citation  Citations(9)
  • Applications : FACS, IF, WB, IHC-P
    Reactivity : Human
  • Applications : IHC-P
    Reactivity : Human
    Citation  Citations(1)
  • Applications : WB, IHC-P
    Reactivity : Human
    Citation  Citations(6)
  • Applications : FACS, IF, WB, IHC-P
    Reactivity : Human
  • Applications : FACS, IF, WB, IHC-P
    Reactivity : Human
  • Applications : WB, ELISA
    Reactivity : Human
  • Applications : FACS, WB, ELISA
    Reactivity : Human
  • Applications : WB, ELISA
    Reactivity : Human
    Pred. Reactivity : Bovine, Pig
  • Applications : FACS, WB, ELISA
    Reactivity : Mouse, Human
    Pred. Reactivity : Rat
  • Applications : WB, ELISA
    Reactivity : Mouse
    Pred. Reactivity : Rat
  • Applications : WB, ELISA
    Reactivity : Human, Mouse, Rat

Description

EpCAM antibody clone 323/A3 is a monoclonal antibody specific for epithelial cell adhesion molecule, also known as EpCAM or CD326. EpCAM is a transmembrane glycoprotein expressed on most epithelial cells and many epithelial-derived tumors. It mediates cell adhesion, proliferation, and signaling, and its overexpression in carcinomas makes it a key biomarker in cancer research and pathology. NSJ Bioreagents supplies EpCAM antibody clone 323/A3 for researchers investigating epithelial biology, stem cells, and tumor progression.

In normal tissues, EpCAM antibody clone 323/A3 produces strong membranous staining of epithelial cells lining the gastrointestinal tract, liver, pancreas, and other organs. Its restricted expression pattern provides a reliable marker for distinguishing epithelial populations from stromal or mesenchymal cells. Researchers frequently use this antibody to study epithelial development and tissue organization.

In oncology, EpCAM antibody clone 323/A3 is widely applied to detect carcinomas, where EpCAM is upregulated and linked to enhanced proliferation and metastasis. It has been used to classify adenocarcinomas of the colon, pancreas, breast, and lung, among others. EpCAM expression is often associated with poor clinical outcomes, and clone 323/A3 supports investigations into its role as a prognostic biomarker. The antibody has also been used to explore EpCAM as a therapeutic target, as it is expressed on cancer stem-like cells that drive tumor recurrence and resistance.

Beyond cancer, EpCAM antibody clone 323/A3 is important in stem cell research. EpCAM is expressed on embryonic stem cells and progenitor cells, where it participates in maintaining pluripotency and cell-cell interactions. This antibody enables the identification of epithelial progenitors in developmental and regenerative studies.

EpCAM antibody clone 323/A3 has been validated across tissue-based and cell-based assays, producing consistent and reproducible results. Its publication history demonstrates its long-standing role as a standard tool in epithelial and cancer biology. Alternate names include CD326 antibody, epithelial antigen antibody, and tumor associated calcium signal transducer 1 antibody.

Application Notes

The concentration stated for each application is a general starting point. Variations in protocols, secondaries and substrates may require the antibody to be titered up or down for optimal performance.

1. Staining of formalin/paraffin tissues REQUIRES digestion of tissue sections with pepsin at 1mg/ml Tris-HCl, pH 2.0 for 15 min at RT or 10 min at 37C.
2. The prediluted format is supplied in a dropper bottle and is optimized for use in IHC. After epitope retrieval step (if required), drip mAb solution onto the tissue section and incubate at RT for 30 min.

Immunogen

MCF-7 human breast cancer cells were used as the immunogen for this EpCAM antibody.

Storage

Store the EpCAM antibody at 2-8oC (with azide) or aliquot and store at -20oC or colder (without azide).

Cross
Bulk Quote Request Form
Name*:
Organization*:
Email*:
Phone Number*:
Catalog No.*:
Comments and Specifics(amount, formulation, etc.)*:
Validation code: Captchapackage Image


Can't read the image? click here to refresh.
    *required field

Your bulk quote request has been submitted successfully!

Please contact us if you have any questions.