• Tel: 858.663.9055
  • SeparatorEmail: info@nsjbio.com
  • Tel: 858.663.9055
  • Email: info@nsjbio.com
Home >> Antibodies >> ENTPD5 Antibody / Ectonucleoside triphosphate diphosphohydrolase 5

ENTPD5 Antibody / Ectonucleoside triphosphate diphosphohydrolase 5 (FY13259)

  Catalog No Formulation Size Price (USD)  
Image FY13259 Adding 0.2 ml of distilled water will yield a concentration of 500 ug/ml 100 ug 449
Bulk quote request
Immunofluorescent staining of ENTPD5 using anti-ENTPD5 antibody (red). ENTPD5 was detected in a paraffin-embedded section of human lung cancer tissue. Heat mediated antigen retrieval was performed in EDTA buffer (pH 8.0, epitope retrieval solution). The tissue section was blocked with 10% goat serum. The tissue section was then incubated with 5 ug/ml rabbit anti-ENTPD5 antibody overnight at 4oC. Cy3 Conjugated Goat Anti-Rabbit IgG was used as secondary antibody at 1:500 dilution and incubated for 30 minutes at 37oC. The section was counterstained with DAPI nuclear stain (blue). Visualize using a fluorescence microscope and filter sets appropriate for the label used.
Western blot analysis of ENTPD5 using anti-ENTPD5 antibody. Electrophoresis was performed on a 10% SDS-PAGE gel at 80V (Stacking gel) / 120V (Resolving gel) for 2 hours. Lane 1: human HepG2 whole cell lysates, Lane 2: human Jurkat whole cell lysates, Lane 3: rat liver tissue lysates, Lane 4: rat kidney tissue lysates, Lane 5: mouse liver tissue lysates, Lane 6: mouse kidney tissue lysates. After electrophoresis, proteins were transferred to a nitrocellulose membrane at 150 mA for 50-90 minutes. Blocked the membrane with 5% non-fat milk/TBS for 1.5 hour at RT. The membrane was incubated with rabbit anti-ENTPD5 antibody at 0.5 ug/ml overnight at 4oC, then washed with TBS-0.1%Tween 3 times with 5 minutes each and probed with a goat anti-rabbit IgG-HRP secondary antibody at a dilution of 1:5000 for 1.5 hour at RT. The signal was developed using an ECL Plus Western Blotting Substrate. A predominant doublet is detected between an approximately 40 and 45 kDa in all samples, running slightly below the predicted ~48 kDa size but consistent with the 45-51 kDa range reported for the glycosylated ER UDPase ENTPD5. The closely spaced bands likely represent different glycosylation or processing states of full length ENTPD5 rather than distinct truncated isoforms.
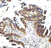
Immunohistochemical staining of ENTPD5 using anti-ENTPD5 antibody. ENTPD5 was detected in a paraffin-embedded section of human lung cancer tissue. Heat mediated antigen retrieval was performed in EDTA buffer (pH 8.0, epitope retrieval solution). The tissue section was blocked with 10% goat serum. The tissue section was then incubated with 2 ug/ml rabbit anti-ENTPD5 antibody overnight at 4oC. Peroxidase Conjugated Goat Anti-rabbit IgG was used as secondary antibody and incubated for 30 minutes at 37oC. The tissue section was developed using an HRP secondary and DAB substrate.
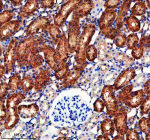
Immunohistochemical staining of ENTPD5 using anti-ENTPD5 antibody. ENTPD5 was detected in a paraffin-embedded section of rat kidney tissue. Heat mediated antigen retrieval was performed in EDTA buffer (pH 8.0, epitope retrieval solution). The tissue section was blocked with 10% goat serum. The tissue section was then incubated with 2 ug/ml rabbit anti-ENTPD5 antibody overnight at 4oC. Peroxidase Conjugated Goat Anti-rabbit IgG was used as secondary antibody and incubated for 30 minutes at 37oC. The tissue section was developed using an HRP secondary and DAB substrate.
Immunohistochemical staining of ENTPD5 using anti-ENTPD5 antibody. ENTPD5 was detected in a paraffin-embedded section of mouse adrenal tissue. Heat mediated antigen retrieval was performed in EDTA buffer (pH 8.0, epitope retrieval solution). The tissue section was blocked with 10% goat serum. The tissue section was then incubated with 2 ug/ml rabbit anti-ENTPD5 antibody overnight at 4oC. Peroxidase Conjugated Goat Anti-rabbit IgG was used as secondary antibody and incubated for 30 minutes at 37oC. The tissue section was developed using an HRP secondary and DAB substrate.
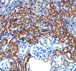
Immunohistochemical staining of ENTPD5 using anti-ENTPD5 antibody. ENTPD5 was detected in a paraffin-embedded section of mouse kidney tissue. Heat mediated antigen retrieval was performed in EDTA buffer (pH 8.0, epitope retrieval solution). The tissue section was blocked with 10% goat serum. The tissue section was then incubated with 2 ug/ml rabbit anti-ENTPD5 antibody overnight at 4oC. Peroxidase Conjugated Goat Anti-rabbit IgG was used as secondary antibody and incubated for 30 minutes at 37oC. The tissue section was developed using an HRP secondary and DAB substrate.
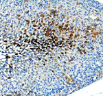
Immunohistochemical staining of ENTPD5 using anti-ENTPD5 antibody. ENTPD5 was detected in a paraffin-embedded section of human lung cancer tissue. Heat mediated antigen retrieval was performed in EDTA buffer (pH 8.0, epitope retrieval solution). The tissue section was blocked with 10% goat serum. The tissue section was then incubated with 2 ug/ml rabbit anti-ENTPD5 antibody overnight at 4oC. Peroxidase Conjugated Goat Anti-rabbit IgG was used as secondary antibody and incubated for 30 minutes at 37oC. The tissue section was developed using an HRP secondary and DAB substrate.
Flow Cytometry analysis of RT4 cells using anti-ENTPD5 antibody. Overlay histogram showing RT4 cells stained with (Blue line). The cells were fixed with 4% paraformaldehyde and blocked with 10% normal goat serum. And then incubated with rabbit anti-ENTPD5 antibody (1 ug/million cells) for 30 min at 20oC. DyLight 488 conjugated goat anti-rabbit IgG (5-10 ug/million cells) was used as secondary antibody for 30 minutes at 20oC. Isotype control antibody (Green line) was rabbit IgG (1 ug/million cells) used under the same conditions. Unlabelled sample without incubation with primary antibody and secondary antibody (Red line) was used as a blank control.
Availability 1-2 days
Species Reactivity Human, Mouse, Rat
Format Lyophilized
Host Rabbit
Clonality Polyclonal (rabbit origin)
Isotype Rabbit IgG
Purity Immunogen affinity purified
Buffer Each vial contains 4 mg Trehalose, 0.9 mg NaCl, 0.2 mg Na2HPO4.
UniProt O75356
Localization ER
Applications Western Blot : 0.25-0.5ug/ml
Immunohistochemistry : 2-5ug/ml
Immunofluorescence : 5ug/ml
Flow Cytometry : 1-3ug/million cells
ELISA : 0.1-0.5ug/ml
Limitations This ENTPD5 antibody is available for research use only.
Review this product on BioCompare and get a $20 Amazon gift card

Description

ENTPD5 antibody detects Ectonucleoside triphosphate diphosphohydrolase 5, an endoplasmic reticulum (ER)-localized enzyme that regulates protein N-glycosylation and energy metabolism. The UniProt recommended name is Ectonucleoside triphosphate diphosphohydrolase 5 (ENTPD5). Unlike other ENTPD family members that function extracellularly, ENTPD5 acts within the ER lumen, promoting protein folding and glycoprotein maturation through its unique enzymatic cycle.

Functionally, ENTPD5 antibody identifies a 428-amino-acid enzyme that hydrolyzes UDP and GDP to UMP and GMP, coupling its activity to the UDP-glucose pyrophosphorylase reaction that regenerates UDP-glucose. This cycle supports proper glycoprotein processing by maintaining a continuous supply of glycosylation precursors within the ER. ENTPD5 activity enhances protein folding capacity and assists in the maturation of membrane receptors and secretory proteins.

The ENTPD5 gene is located on chromosome 14q24.1 and is expressed in metabolically active tissues such as liver, pancreas, and muscle. Its expression is transcriptionally upregulated by AKT signaling and MYC oncogene activation, linking metabolic reprogramming to cancer cell growth. ENTPD5 contributes to the Warburg effect by coupling glycosylation demand to glycolytic flux in proliferating cells.

Pathologically, overexpression of ENTPD5 promotes tumor progression by increasing glycoprotein folding and surface receptor stability, enhancing proliferative signaling. Conversely, loss of ENTPD5 impairs growth factor receptor maturation and induces ER stress. Elevated ENTPD5 expression has been observed in prostate, colon, and liver cancers. Research using ENTPD5 antibody supports studies in cancer metabolism, glycoprotein folding, and ER homeostasis.

ENTPD5 antibody is validated for western blotting, immunohistochemistry, and ELISA to detect ER-localized glycoprotein processing enzymes. NSJ Bioreagents provides ENTPD5 antibody reagents optimized for studies in protein maturation, metabolic regulation, and oncogenic signaling.

Structurally, Ectonucleoside triphosphate diphosphohydrolase 5 contains an apyrase conserved region (ACR) and calcium-binding motifs essential for nucleotide hydrolysis. It forms dimers in the ER lumen and associates with chaperones such as calnexin and calreticulin. This antibody enables exploration of ENTPD5's role in glycoprotein biosynthesis, ER stress adaptation, and cancer metabolism.

Application Notes

Optimal dilution of the ENTPD5 antibody should be determined by the researcher.

Immunogen

E.coli-derived human ENTPD5 recombinant protein (Position: D95-H428) was used as the immunogen for the ENTPD5 antibody.

Storage

After reconstitution, the ENTPD5 antibody can be stored for up to one month at 4oC. For long-term, aliquot and store at -20oC. Avoid repeated freezing and thawing.

Cross
Bulk Quote Request Form
Name*:
Organization*:
Email*:
Phone Number*:
Catalog No.*:
Comments and Specifics(amount, formulation, etc.)*:
Validation code: Captchapackage Image


Can't read the image? click here to refresh.
    *required field

Your bulk quote request has been submitted successfully!

Please contact us if you have any questions.