• Tel: 858.663.9055
  • SeparatorEmail: info@nsjbio.com
  • Tel: 858.663.9055
  • Email: info@nsjbio.com
Home >> Antibodies >> ENTPD1 Antibody / Ectonucleoside triphosphate diphosphohydrolase 1

ENTPD1 Antibody / Ectonucleoside triphosphate diphosphohydrolase 1 [clone r22A9] (V6044)

  Catalog No Formulation Size Price (USD)  
Image V6044-100UG 0.2 mg/ml in 1X PBS with 0.05% BSA, 0.05% sodium azide 100 ug 559
Image
V6044-20UG 0.2 mg/ml in 1X PBS with 0.05% BSA, 0.05% sodium azide 20 ug 259
Image
V6044SAF-100UG 1 mg/ml in 1X PBS; BSA free, sodium azide free 100 ug 559
Microvalidated Recmousemono
Bulk quote request
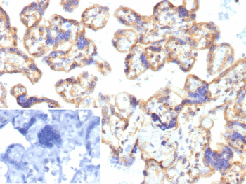
IHC analysis of ENTPD1 Antibody in FFPE human placenta tissue. The recombinant mouse monoclonal antibody (clone r22A9) demonstrates membranous HRP-DAB brown staining in trophoblastic cells lining chorionic villi, consistent with CD39 / ENTPD1 expression, while background stromal elements show minimal staining. The inset shows PBS used in place of the primary antibody as a secondary-only negative control. Heat-induced epitope retrieval was performed in 10mM Tris with 1mM EDTA, pH 9.0, at 95oC for 45 minutes followed by cooling at room temperature for 20 minutes.
SDS-PAGE Analysis of Purified ENTPD1 antibody (clone r22A9). Confirmation of Purity and Integrity of Antibody.
Species Reactivity Human
Format Purified
Host Mouse
Clonality Recombinant Mouse Monoclonal
Isotype Mouse IgG2a, kappa
Clone Name r22A9
UniProt P49961
Localization Caveola, Membrane
Applications Immunohistochemistry (FFPE) : 1-2ug/ml
Limitations This ENTPD1/Ectonucleoside triphosphate diphosphohydrolase 1 antibody is available for research use only.
Review this product on BioCompare and get a $20 Amazon gift card

Related Products

Description

ENTPD1 Antibody recognizes CD39, also known as Ectonucleoside triphosphate diphosphohydrolase 1, a plasma membrane ectoenzyme that regulates extracellular nucleotide signaling. Encoded by the ENTPD1 gene, CD39 hydrolyzes extracellular ATP and ADP to AMP, thereby modulating purinergic signaling pathways involved in inflammation, thrombosis, and immune regulation. ENTPD1 Antibody is suitable for detecting CD39 expression in research applications focused on immune homeostasis and tumor microenvironment biology.

ENTPD1 antibody, also referred to as CD39 antibody and NTPDase1 antibody in the literature, targets a glycosylated transmembrane protein expressed on endothelial cells, regulatory T cells, B cells, monocytes, macrophages, and selected epithelial populations. By limiting extracellular ATP and cooperating with CD73 to generate adenosine, CD39 contributes to immunosuppressive signaling pathways that regulate lymphocyte activation and maintain vascular homeostasis. Increased CD39 expression has been associated with immune tolerance and tumor-associated immune suppression.

The ENTPD1 gene is located on chromosome 10q24.1 and encodes a protein containing two transmembrane regions and a large extracellular catalytic domain with conserved apyrase motifs required for nucleotide hydrolysis. CD39 localizes predominantly to the plasma membrane and demonstrates membranous staining in endothelial and immune cell populations in tissue sections. Expression is particularly prominent in lymphoid tissues such as tonsil and lymph node, as well as in vascular endothelium and placenta.

Dysregulation of ENTPD1 expression has been implicated in cancer progression, chronic inflammatory disease, thrombosis, and cardiovascular disorders. Clone r22A9 is a recombinant mouse monoclonal antibody developed to recognize ENTPD1 / CD39 in experimental systems.

Application Notes

1. Optimal dilution of the ENTPD1/Ectonucleoside triphosphate diphosphohydrolase 1 antibody should be determined by the researcher.

2. This ENTPD1/Ectonucleoside triphosphate diphosphohydrolase 1 antibody is recombinantly produced by expression in CHO cells.

Immunogen

Prokaryotic recombinant protein corresponding to a portion of the external domain of the CD39 molecule was used as the immunogen for the ENTPD1/Ectonucleoside triphosphate diphosphohydrolase 1 antibody.

Storage

ENTPD1/Ectonucleoside triphosphate diphosphohydrolase 1 antibody with sodium azide - store at 2 to 8oC; antibody without sodium azide - store at -20 to -80oC.

Cross
Bulk Quote Request Form
Name*:
Organization*:
Email*:
Phone Number*:
Catalog No.*:
Comments and Specifics(amount, formulation, etc.)*:
Validation code: Captchapackage Image


Can't read the image? click here to refresh.
    *required field

Your bulk quote request has been submitted successfully!

Please contact us if you have any questions.