• Tel: 858.663.9055
  • SeparatorEmail: info@nsjbio.com
  • Tel: 858.663.9055
  • Email: info@nsjbio.com
Home >> Antibodies >> ENPP1 Antibody / PC-1

ENPP1 Antibody / PC-1 (R34666)

  Catalog No Formulation Size Price (USD)  
Image R34666-100UG 0.5 mg/ml in 1X TBS, pH7.3, with 0.5% BSA (US sourced) and 0.02% sodium azide 100 ug 475
Bulk quote request
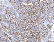
IHC staining of FFPE human thyroid gland tissue with ENPP1 antibody at 4ug/ml. HIER: steamed with pH6 citrate buffer, HRP-staining.
Negative control: IHC staining of FFPE human thyroid gland tissue without primary antibody. HIER: steamed with pH6 citrate buffer, HRP-staining.
IHC staining of FFPE human placental tissue with ENPP1 antibody at 5ug/ml (top) and without primary antibody (bottom). Required HIER: steamed antigen retrieval with pH6 citrate buffer; HRP-staining.
Availability 1-3 business days
Species Reactivity Human
Predicted Reactivity Mouse, Rat
Format Antigen affinity purified
Host Goat
Clonality Polyclonal (goat origin)
Isotype Goat Ig
Purity Antigen affinity
Gene ID 5167
Applications Immunohistochemistry (FFPE) : 4ug/ml
ELISA (peptide) LOD : 1:32000
Limitations This ENPP1 antibody is available for research use only.
Review this product on BioCompare and get a $20 Amazon gift card

Related Products

Description

Additional name(s) for this target protein: Ectonucleotide pyrophosphatase/phosphodiesterase 1

Application Notes

Optimal dilution of the ENPP1 antibody should be determined by the researcher.

Immunogen

Amino acids KTHLPTFSQED were used as the immunogen for this ENPP1 antibody.

Storage

Aliquot and store the ENPP1 antibody at -20oC.

Cross
Bulk Quote Request Form
Name*:
Organization*:
Email*:
Phone Number*:
Catalog No.*:
Comments and Specifics(amount, formulation, etc.)*:
Validation code: Captchapackage Image


Can't read the image? click here to refresh.
    *required field

Your bulk quote request has been submitted successfully!

Please contact us if you have any questions.