• Tel: 858.663.9055
  • SeparatorEmail: info@nsjbio.com
  • Tel: 858.663.9055
  • Email: info@nsjbio.com
Home >> Antibodies >> eNos Antibody / NOS3

eNos Antibody / NOS3 (RQ5345)

  Catalog No Formulation Size Price (USD)  
Image RQ5345 0.5mg/ml if reconstituted with 0.2ml sterile DI water 100 ug 449
Bulk quote request
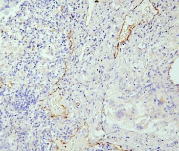
IHC staining of FFPE human lung cancer with eNOS antibody. HIER: boil tissue sections in pH6, 10mM citrate buffer, for 20 min and allow to cool before testing.
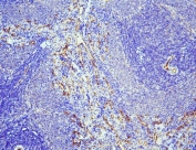
IHC staining of FFPE mouse spleen with eNOS antibody. HIER: boil tissue sections in pH6, 10mM citrate buffer, for 20 min and allow to cool before testing.
IHC staining of FFPE rat spleen with eNOS antibody. HIER: boil tissue sections in pH6, 10mM citrate buffer, for 20 min and allow to cool before testing.
Western blot testing of 1) human placenta, 2) human K562, 3) human HepG2, 4) human ThP-1, 5) rat kidney, 6) mouse kidney and 7) mouse small intestine with eNOS antibody. Predicted molecular weight ~133 kDa.
Flow cytometry testing of human HepG2 cells with eNOS antibody at 1ug/million cells (blocked with goat sera); Red=cells alone, Green=isotype control, Blue= eNOS antibody.
Flow cytometry testing of human U-87 MG cells with eNOS antibody at 1ug/million cells (blocked with goat sera); Red=cells alone, Green=isotype control, Blue= eNOS antibody.
Availability 1-3 business days
Species Reactivity Human, Mouse, Rat
Format Antigen affinity purified
Host Rabbit
Clonality Polyclonal (rabbit origin)
Isotype Rabbit IgG
Purity Affinity purified
Buffer Lyophilized from 1X PBS with 2% Trehalose and 0.025% sodium azide
UniProt P29474
Applications Western Blot : 0.5-1ug/ml
Immunohistochemistry (FFPE) : 1-2ug/ml
Flow Cytometry : 1-3ug/million cells
Direct ELISA : 0.1-0.5ug/ml
Limitations This NOS3 antibody is available for research use only.
Review this product on BioCompare and get a $20 Amazon gift card

Related Products

  • Applications : WB, FACS, IF, ELISA
    Reactivity : Human
    Pred. Reactivity : Mouse, Rat, Bovine, Pig
  • Applications : DB, IF, ELISA
    Reactivity : Human
    Pred. Reactivity : Bovine, Mouse, Pig, Rat
  • Applications : WB, IF, FACS, Direct ELISA
    Reactivity : Human

Description

NOS3 (Nitric Oxide Synthase 3), also called ENOS, anitric oxide synthasethat generatesNOinblood vesselsand is involved with regulatingvascular toneby inhibitingsmooth musclecontraction and plateletaggregation. The NOS3 gene is mapped on 7q36.1. Variations in this gene are associated with susceptibility tocoronary spasm. Fulton et al.(1999) concluded the eNOS is an AKT substrate linking signal transduction by AKT to the release of the gaseous second messenger nitric oxide. AKT mediates the activation of eNOS, leading to increased nitric oxide production. Inhibition of the PI3K AKT pathway or mutation of the AKT site on eNOS protein at serine-1177 attenuated the serine phosphorylation and prevented the activation of eNOS. RT-PCR analysis showed that expression ofNOS3in human umbilical vein endothelial cells (HUVECs) and human aortic vascular smooth muscle cells (HAOVSMCs) was inversely proportional to that of NOS3AS.

Application Notes

Optimal dilution of the NOS3 antibody should be determined by the researcher.

Immunogen

Amino acids Q1052-P1203 from the human protein were used as the immunogen for the NOS3 antibody.

Storage

Store the NOS3 antibody at -20oC.

Cross
Bulk Quote Request Form
Name*:
Organization*:
Email*:
Phone Number*:
Catalog No.*:
Comments and Specifics(amount, formulation, etc.)*:
Validation code: Captchapackage Image


Can't read the image? click here to refresh.
    *required field

Your bulk quote request has been submitted successfully!

Please contact us if you have any questions.