• Tel: 858.663.9055
  • SeparatorEmail: info@nsjbio.com
  • Tel: 858.663.9055
  • Email: info@nsjbio.com
Home >> Antibodies >> ENO1 Antibody / Enolase 1 / Alpha Enolase

ENO1 Antibody / Enolase 1 / Alpha Enolase (FY13380)

  Catalog No Formulation Size Price (USD)  
Image FY13380 Adding 0.2 ml of distilled water will yield a concentration of 500 ug/ml 100 ug 449
Bulk quote request
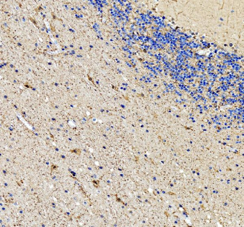
Immunohistochemical staining of ENO1 using anti-ENO1 antibody. ENO1 was detected in a paraffin-embedded section of human cerebellum tissue. Heat mediated antigen retrieval was performed in EDTA buffer (pH 8.0, epitope retrieval solution). The tissue section was blocked with 10% goat serum. The tissue section was then incubated with 2 ug/ml rabbit anti-ENO1 antibody overnight at 4oC. Peroxidase Conjugated Goat Anti-rabbit IgG was used as secondary antibody and incubated for 30 minutes at 37oC. The tissue section was developed using an HRP secondary and DAB substrate.
Western blot analysis of ENO1 using anti-ENO1 antibody. Lane 1: human Hela whole cell lysates, Lane 2: human U251 whole cell lysates, Lane 3: human whole cell lysates, Lane 4: human U20S whole cell lysates, Lane 5: rat brain tissue lysates, Lane 6: mouse brain tissue lysates. After electrophoresis, proteins were transferred to a nitrocellulose membrane at 150 mA for 50-90 minutes. Blocked the membrane with 5% non-fat milk/TBS for 1.5 hour at RT. The membrane was incubated with rabbit anti-ENO1 antibody at 0.25 ug/ml overnight at 4oC, then washed with TBS-0.1%Tween 3 times with 5 minutes each and probed with a goat anti-rabbit IgG-HRP secondary antibody at a dilution of 1:5000 for 1.5 hour at RT. The signal was developed using enhanced chemiluminescent. A specific band was detected for ENO1 at approximately 47 kDa. The expected molecular weight of ENO1 is ~47 kDa.
Immunohistochemical staining of ENO1 using anti-ENO1 antibody. ENO1 was detected in a paraffin-embedded section of rat testis tissue. Heat mediated antigen retrieval was performed in EDTA buffer (pH 8.0, epitope retrieval solution). The tissue section was blocked with 10% goat serum. The tissue section was then incubated with 2 ug/ml rabbit anti-ENO1 antibody overnight at 4oC. Peroxidase Conjugated Goat Anti-rabbit IgG was used as secondary antibody and incubated for 30 minutes at 37oC. The tissue section was developed using an HRP secondary and DAB substrate.
Flow Cytometry analysis of cells using anti-ENO1 antibody. Overlay histogram showing cells stained with (Blue line). To facilitate intracellular staining, cells were fixed with 4% paraformaldehyde and permeabilized with permeabilization buffer. The cells were blocked with 10% normal goat serum. And then incubated with rabbit anti-ENO1 antibody (1 ug/million cells) for 30 min at 20oC. DyLight 488 conjugated goat anti-rabbit IgG (5-10 ug/million cells) was used as secondary antibody for 30 minutes at 20oC. Isotype control antibody (Green line) was rabbit IgG (1 ug/million cells) used under the same conditions. Unlabelled sample without incubation with primary antibody and secondary antibody (Red line) was used as a blank control.
Flow Cytometry analysis of Hela cells using anti-ENO1 antibody. Overlay histogram showing Hela cells stained with (Blue line). The cells were blocked with 10% normal goat serum. And then incubated with rabbit anti-ENO1 antibody (1 ug/million cells) for 30 min at 20oC. DyLight 488 conjugated goat anti-rabbit IgG (5-10 ug/million cells) was used as secondary antibody for 30 minutes at 20oC. Isotype control antibody (Green line) was rabbit IgG (1 ug/million cells) used under the same conditions. Unlabelled sample without incubation with primary antibody and secondary antibody (Red line) was used as a blank control.
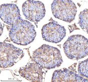
Immunohistochemical staining of ENO1 using anti-ENO1 antibody. ENO1 was detected in a paraffin-embedded section of mouse testis tissue. Heat mediated antigen retrieval was performed in EDTA buffer (pH 8.0, epitope retrieval solution). The tissue section was blocked with 10% goat serum. The tissue section was then incubated with 2 ug/ml rabbit anti-ENO1 antibody overnight at 4oC. Peroxidase Conjugated Goat Anti-rabbit IgG was used as secondary antibody and incubated for 30 minutes at 37oC. The tissue section was developed using an HRP secondary and DAB substrate.
Availability 1-2 days
Species Reactivity Human, Mouse, Rat
Format Lyophilized
Host Rabbit
Clonality Polyclonal (rabbit origin)
Isotype Rabbit IgG
Purity Immunogen affinity purified
Buffer Each vial contains 4 mg Trehalose, 0.9 mg NaCl, 0.2 mg Na2HPO4.
UniProt P06733
Localization Cytoplasm, cell membrane
Applications Western Blot : 0.25-0.5ug/ml
Immunohistochemistry : 2-5ug/ml
Flow Cytometry : 1-3ug/million cells
Limitations This ENO1 antibody is available for research use only.
Review this product on BioCompare and get a $20 Amazon gift card

Related Products

Description

ENO1 antibody detects Enolase 1, also known as alpha-enolase, a glycolytic enzyme encoded by the ENO1 gene on chromosome 1p36.23. ENO1 catalyzes the reversible dehydration of 2-phosphoglycerate to phosphoenolpyruvate in the glycolytic pathway and serves multiple non-glycolytic roles, including acting as a plasminogen-binding receptor on the cell surface. ENO1 is ubiquitously expressed in most tissues, with high levels in brain, muscle, and epithelial cells, where it contributes to energy metabolism and cellular adaptation under hypoxic conditions.

Structurally, ENO1 is a 48 kDa homodimeric enzyme that belongs to the enolase family of metalloenzymes. It requires magnesium ions for catalytic activity and forms part of the glycolytic enzyme network in the cytosol. ENO1 also functions as a moonlighting protein, existing in different subcellular locations and performing distinct functions. In addition to its cytoplasmic role, a nuclear isoform, MBP-1 (Myc-binding protein 1), acts as a transcriptional repressor of the oncogene MYC. Surface-localized ENO1 binds plasminogen, promoting extracellular matrix degradation and cell migration.

Functionally, ENO1 plays a dual role in metabolism and cellular regulation. In glycolysis, it facilitates ATP generation by catalyzing one of the final steps of the pathway. On the plasma membrane, it promotes cell migration and invasion by enhancing plasmin-mediated proteolysis. The MBP-1 isoform contributes to tumor suppression by downregulating MYC expression. ENO1 also acts as a stress response protein, supporting cell survival under hypoxic and oxidative stress conditions. Known ligands include plasminogen and structural components of the cytoskeleton, such as actin and tubulin.

Aberrant expression of ENO1 has been linked to cancer, autoimmune disease, and neurodegenerative disorders. Overexpression supports the Warburg effect in tumor metabolism, whereas autoantibodies against ENO1 have been detected in Hashimoto�s encephalopathy and systemic autoimmune diseases. Pathway involvement includes glycolysis, gluconeogenesis, and plasminogen activation. During embryonic development, ENO1 expression supports rapid cell proliferation and differentiation.

Immunohistochemical staining using ENO1 antibody reveals cytoplasmic and membranous localization in epithelial cells and neurons. The ENO1 antibody from NSJ Bioreagents is an excellent reagent for research into glycolysis, tumor metabolism, and stress response signaling.

Application Notes

Optimal dilution of the ENO1 antibody should be determined by the researcher.

Immunogen

A synthetic peptide corresponding to a sequence in the middle region of human ENO1 was used as the immunogen for the ENO1 antibody.

Storage

After reconstitution, the ENO1 antibody can be stored for up to one month at 4oC. For long-term, aliquot and store at -20oC. Avoid repeated freezing and thawing.

Cross
Bulk Quote Request Form
Name*:
Organization*:
Email*:
Phone Number*:
Catalog No.*:
Comments and Specifics(amount, formulation, etc.)*:
Validation code: Captchapackage Image


Can't read the image? click here to refresh.
    *required field

Your bulk quote request has been submitted successfully!

Please contact us if you have any questions.