• Tel: 858.663.9055
  • SeparatorEmail: info@nsjbio.com
  • Tel: 858.663.9055
  • Email: info@nsjbio.com
Home >> Antibodies >> EML4 Antibody / Echinoderm microtubule-associated protein-like 4

EML4 Antibody / Echinoderm microtubule-associated protein-like 4 (RQ4565)

  Catalog No Formulation Size Price (USD)  
Image RQ4565 0.5mg/ml if reconstituted with 0.2ml sterile DI water 100 ug 439
Bulk quote request
Immunofluorescent staining of FFPE human ovarian cancer tissue with EML4 antibody (red) and DAPI nuclear stain (blue). HIER: steam section in pH8 EDTA buffer for 20 min.
Immunofluorescent staining of FFPE human colorectal cancer tissue with EML4 antibody (red) and DAPI nuclear stain (blue). HIER: steam section in pH8 EDTA buffer for 20 min.
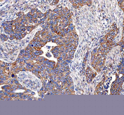
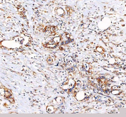
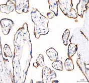
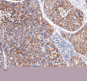
IHC staining of FFPE human ovarian serous adenocarcinoma tissue with EML4 antibody. HIER: boil tissue sections in pH8 EDTA for 20 min and allow to cool before testing.
IHC staining of FFPE human liver cancer tissue with EML4 antibody. HIER: boil tissue sections in pH8 EDTA for 20 min and allow to cool before testing.
IHC staining of FFPE human esophageal squamous carcinoma tissue with EML4 antibody. HIER: boil tissue sections in pH8 EDTA for 20 min and allow to cool before testing.
IHC staining of FFPE human colorectal adenocarcinoma tissue with EML4 antibody. HIER: boil tissue sections in pH8 EDTA for 20 min and allow to cool before testing.
IHC staining of FFPE human placental tissue with EML4 antibody. HIER: boil tissue sections in pH8 EDTA for 20 min and allow to cool before testing.
Western blot testing of human 1) HepG2 and 2) A549 cell lysate with EML4 antibody at 0.5ug/ml. Expected molecular weight: 108-120 kDa.
Flow cytometry testing of fixed and permeabilized human A549 cells with EML4 antibody at 1ug/million cells (blocked with goat sera); Red=cells alone, Green=isotype control, Blue= EML4 antibody.
Availability 1-3 business days
Species Reactivity Human
Format Antigen affinity purified
Clonality Polyclonal (rabbit origin)
Isotype Rabbit IgG
Purity Antigen affinity purified
Buffer Lyophilized from 1X PBS with 2% Trehalose
UniProt Q9HC35
Localization Cytoplasmic
Applications Western Blot : 0.5-1ug/ml
IHC (FFPE) : 2-5ug/ml
Immunofluorescence : 5ug/ml
Flow Cytometry : 1-3ug/million cells
Direct ELISA : 0.1-0.5ug/ml (recombinant human protein)
Limitations This EML4 antibody is available for research use only.
Review this product on BioCompare and get a $20 Amazon gift card

Description

Echinoderm microtubule-associated protein-like 4 is a protein that in humans is encoded by the EML4 gene. This gene is a member of the echinoderm microtubule associated protein-like family, and it mapped to 2p21. The encoded WD-repeat protein may be involved in microtubule formation. Abnormal fusion of parts of this gene with portions of the anaplastic lymphoma receptor tyrosine kinase gene, which generates EML4-ALK fusion transcripts, is one of the primary mutations associated with non-small cell lung cancer. Alternative splicing of this gene results in two transcript variants.

Application Notes

Optimal dilution of the EML4 antibody should be determined by the researcher.

Immunogen

Amino acids K207-N423 from the human protein were used as the immunogen for the EML4 antibody.

Storage

After reconstitution, the EML4 antibody can be stored for up to one month at 4oC. For long-term, aliquot and store at -20oC. Avoid repeated freezing and thawing.

Cross
Bulk Quote Request Form
Name*:
Organization*:
Email*:
Phone Number*:
Catalog No.*:
Comments and Specifics(amount, formulation, etc.)*:
Validation code: Captchapackage Image


Can't read the image? click here to refresh.
    *required field

Your bulk quote request has been submitted successfully!

Please contact us if you have any questions.