• Tel: 858.663.9055
  • SeparatorEmail: info@nsjbio.com
  • Tel: 858.663.9055
  • Email: info@nsjbio.com
Home >> Antibodies >> EMC4 Antibody / ER membrane protein complex subunit 4

EMC4 Antibody / ER membrane protein complex subunit 4 [clone 30E32] (FY12033)

  Catalog No Formulation Size Price (USD)  
Image FY12033 Rabbit IgG in phosphate buffered saline, pH 7.4, 150mM NaCl, 0.02% sodium azide and 50% glycerol, 0.4-0.5mg/ml BSA 100 ul 449
Microvalidated Recrabbitmono
Bulk quote request
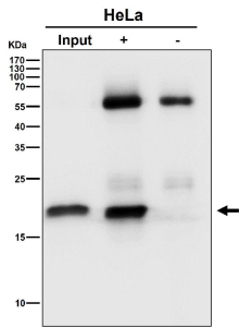
Immunoprecipitate (IP) analysis using the antibody at 1:50 dilution. (Western blot at 1:500 dilution). Predicted molecular weight: 15-20 kDa (three isoforms).
Western blot analysis of EMC4 expression in human 293 cell lysate. Predicted molecular weight: 15-20 kDa (three isoforms).
Availability 2-3 weeks
Species Reactivity Human, Mouse, Rat
Format Liquid
Host Rabbit
Clonality Recombinant Rabbit Monoclonal
Isotype Rabbit IgG
Clone Name 30E32
Purity Affinity-chromatography
Buffer Rabbit IgG in phosphate buffered saline, pH 7.4, 150mM NaCl, 0.02% sodium azide and 50% glycerol, 0.4-0.5mg/ml BSA.
UniProt Q5J8M3
Applications Western Blot : 1:500-1:2000
Immunohistochemistry : 1:50-1:200
Immunoprecipitation : 1:50
Limitations This EMC4 antibody is available for research use only.
Review this product on BioCompare and get a $20 Amazon gift card

Description

EMC4 antibody recognizes ER membrane protein complex subunit 4, a component of the endoplasmic reticulum membrane complex (EMC). The EMC facilitates insertion of transmembrane proteins into the ER and aids in proper folding of multipass proteins. EMC4 plays a role in maintaining ER homeostasis and ensuring the quality control of membrane protein biosynthesis.

Research with EMC4 antibody has shown that loss of EMC function leads to defective protein targeting, ER stress, and activation of the unfolded protein response. EMC4 has also been linked to viral infection processes, where certain viruses hijack EMC components to ensure proper expression of their envelope proteins. These findings highlight EMC4's importance in both normal physiology and infectious disease biology.

Antibodies against EMC4 are validated in assays such as western blot, immunohistochemistry, and immunofluorescence. These reagents provide reliable detection of EMC4, allowing researchers to investigate ER protein insertion pathways and responses to cellular stress.

NSJ Bioreagents provides this EMC4 antibody for research on ER biology, membrane protein folding, and host-pathogen interactions. Alternate names include ER membrane protein complex subunit 4 antibody, EMC4A antibody, and transmembrane protein 93 antibody.

Application Notes

Optimal dilution of the EMC4 antibody should be determined by the researcher.

Immunogen

A synthesized peptide derived from human EMC4 was used as the immunogen for the EMC4 antibody.

Storage

Store the EMC4 antibody at -20oC.

Cross
Bulk Quote Request Form
Name*:
Organization*:
Email*:
Phone Number*:
Catalog No.*:
Comments and Specifics(amount, formulation, etc.)*:
Validation code: Captchapackage Image


Can't read the image? click here to refresh.
    *required field

Your bulk quote request has been submitted successfully!

Please contact us if you have any questions.