• Tel: 858.663.9055
  • SeparatorEmail: info@nsjbio.com
  • Tel: 858.663.9055
  • Email: info@nsjbio.com
Home >> Antibodies >> EMC1 Antibody / ER membrane protein complex subunit 1

EMC1 Antibody / ER membrane protein complex subunit 1 (FY12624)

  Catalog No Formulation Size Price (USD)  
Image FY12624 Adding 0.2 ml of distilled water will yield a concentration of 500 ug/ml 100 ug 449
Bulk quote request
Immunofluorescent staining of EMC1 using anti-EMC1 antibody (red). EMC1 was detected in a paraffin-embedded section of rat ovary tissue. Heat mediated antigen retrieval was performed in EDTA buffer (pH 8.0, epitope retrieval solution). The tissue section was blocked with 10% goat serum. The tissue section was then incubated with 5 ug/ml rabbit anti-EMC1 antibody overnight at 4oC. Cy3 Conjugated Goat Anti-Rabbit IgG was used as secondary antibody at 1:500 dilution and incubated for 30 minutes at 37oC. The section was counterstained with DAPI nuclear stain (blue). Visualize using a fluorescence microscope and filter sets appropriate for the label used.
Western blot analysis of EMC1 using anti-EMC1 antibody. Electrophoresis was performed on a 8% SDS-PAGE gel at 80V (Stacking gel) / 120V (Resolving gel) for 2 hours. Lane 1: human 293T whole cell lysates, Lane 2: human Jurkat whole cell lysates, Lane 3: human HepG2 whole cell lysates, Lane 4: rat brain tissue lysates, Lane 5: mouse brain tissue lysates. After electrophoresis, proteins were transferred to a nitrocellulose membrane at 150 mA for 50-90 minutes. Blocked the membrane with 5% non-fat milk/TBS for 1.5 hour at RT. The membrane was incubated with rabbit anti-EMC1 antibody at 0.5 ug/ml overnight at 4oC, then washed with TBS-0.1%Tween 3 times with 5 minutes each and probed with a goat anti-rabbit IgG-HRP secondary antibody at a dilution of 1:5000 for 1.5 hour at RT. The signal was developed using an ECL Plus Western Blotting Substrate. A specific band was detected for EMC1 at approximately 112 kDa. The expected molecular weight of EMC1 is ~112 kDa.
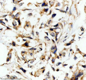
Immunohistochemical staining of EMC1 using anti-EMC1 antibody. EMC1 was detected in a paraffin-embedded section of rat ovary tissue. Heat mediated antigen retrieval was performed in EDTA buffer (pH 8.0, epitope retrieval solution). The tissue section was blocked with 10% goat serum. The tissue section was then incubated with 2 ug/ml rabbit anti-EMC1 antibody overnight at 4oC. Peroxidase Conjugated Goat Anti-rabbit IgG was used as secondary antibody and incubated for 30 minutes at 37oC. The tissue section was developed using an HRP secondary and DAB substrate.
Immunohistochemical staining of EMC1 using anti-EMC1 antibody. EMC1 was detected in a paraffin-embedded section of human breast cancer tissue. Heat mediated antigen retrieval was performed in EDTA buffer (pH 8.0, epitope retrieval solution). The tissue section was blocked with 10% goat serum. The tissue section was then incubated with 2 ug/ml rabbit anti-EMC1 antibody overnight at 4oC. Peroxidase Conjugated Goat Anti-rabbit IgG was used as secondary antibody and incubated for 30 minutes at 37oC. The tissue section was developed using an HRP secondary and DAB substrate.
Availability 1-2 days
Species Reactivity Human, Mouse, Rat
Format Lyophilized
Host Rabbit
Clonality Polyclonal (rabbit origin)
Isotype Rabbit IgG
Purity Immunogen affinity purified
Buffer Each vial contains 4 mg Trehalose, 0.9 mg NaCl, 0.2 mg Na2HPO4.
UniProt Q8N766
Localization Cytoplasm (ER)
Applications Western Blot : 0.25-0.5ug/ml
Immunohistochemistry : 2-5ug/ml
Immunofluorescence : 5ug/ml
ELISA : 0.1-0.5ug/ml
Limitations This EMC1 antibody is available for research use only.
Review this product on BioCompare and get a $20 Amazon gift card

Related Products

Description

EMC1 antibody detects ER membrane protein complex subunit 1, a structural component of the ER membrane protein complex (EMC) responsible for folding and insertion of transmembrane proteins. EMC1 acts as a scaffold stabilizing the entire complex and supports proper biogenesis of multipass membrane proteins. The EMC1 antibody is used in cell biology, proteostasis, and neurodevelopmental research to study membrane protein maturation and ER quality control.

EMC1 is encoded by the EMC1 gene located on human chromosome 1p36.13. The protein is approximately 993 amino acids long and localizes to the endoplasmic reticulum membrane, where it forms part of a 10-subunit complex including EMC2 through EMC10. EMC1 contains multiple transmembrane segments and luminal domains that interact with nascent polypeptides emerging from the ribosome-translocon system.

The EMC1 antibody detects a 115 kilodalton band by western blot and shows reticular ER staining under immunofluorescence microscopy. EMC1 facilitates the co-translational insertion and folding of membrane proteins, including G-protein coupled receptors, ion channels, and transporters. It also interacts with the ER-associated degradation (ERAD) machinery to remove misfolded proteins and prevent aggregation.

Mutations in EMC1 lead to congenital disorders involving neurodevelopmental delay, cerebellar atrophy, and visual impairment, highlighting its importance in neuronal function. In model systems, EMC1 loss disrupts ER morphology and mitochondrial contacts, leading to stress responses and apoptosis. EMC1 also contributes to cholesterol biosynthesis by ensuring proper insertion of enzymes involved in lipid metabolism.

Through its essential role in membrane protein biogenesis and ER stability, EMC1 is a cornerstone of cellular proteostasis. NSJ Bioreagents provides a validated EMC1 antibody optimized for its applications, supporting studies of protein folding, ER homeostasis, and disease-associated misfolding mechanisms.

Application Notes

Optimal dilution of the EMC1 antibody should be determined by the researcher.

Immunogen

E.coli-derived human KIAA0090/EMC1 recombinant protein (Position: Y23-R993) was used as the immunogen for the EMC1 antibody.

Storage

After reconstitution, the EMC1 antibody can be stored for up to one month at 4oC. For long-term, aliquot and store at -20oC. Avoid repeated freezing and thawing.

Cross
Bulk Quote Request Form
Name*:
Organization*:
Email*:
Phone Number*:
Catalog No.*:
Comments and Specifics(amount, formulation, etc.)*:
Validation code: Captchapackage Image


Can't read the image? click here to refresh.
    *required field

Your bulk quote request has been submitted successfully!

Please contact us if you have any questions.