• Tel: 858.663.9055
  • SeparatorEmail: info@nsjbio.com
  • Tel: 858.663.9055
  • Email: info@nsjbio.com
Home >> Antibodies >> Embryonic polyadenylate-binding protein 2 Antibody / PABPN1L

Embryonic polyadenylate-binding protein 2 Antibody / PABPN1L (F54625)

  Catalog No Formulation Size Price (USD)  
Image F54625-0.4ML In 1X PBS, pH 7.4, with 0.09% sodium azide 0.4 ml 439
Image
F54625-0.08ML In 1X PBS, pH 7.4, with 0.09% sodium azide 0.08 ml 205
Bulk quote request
Western blot testing of human 1) A549 and 2) kidney lysate with Embryonic polyadenylate-binding protein 2 antibody. Predicted molecular weight ~30 kDa.
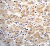
IHC testing of FFPE human liver tissue with Embryonic polyadenylate-binding protein 2 antibody. HIER: steam section in pH6 citrate buffer for 20 min and allow to cool prior to staining.
Immunofluorescent staining of human A549 cells with Embryonic polyadenylate-binding protein 2 antibody (green) and DAPI nuclear stain (blue).
Flow cytometry testing of human A549 cells with Embryonic polyadenylate-binding protein 2 antibody; Blue=isotype control, Green= Embryonic polyadenylate-binding protein 2 antibody.
Availability 1-3 business days
Species Reactivity Human
Format Purified
Host Rabbit
Clonality Polyclonal (rabbit origin)
Isotype Rabbit Ig
Purity Antigen affinity purified
UniProt A6NDY0
Localization Cytoplasmic
Applications Flow Cytometry : 1:25 (1x10e6 cells)
Immunofluorescence : 1:25
Immunohistochemistry (FFPE) : 1:25
Western Blot : 1:500-1:2000
Limitations This Embryonic polyadenylate-binding protein 2 antibody is available for research use only.
Review this product on BioCompare and get a $20 Amazon gift card

Description

Binds the poly(A) tail of mRNA. (UniProt)

Application Notes

The stated application concentrations are suggested starting points. Titration of the Embryonic polyadenylate-binding protein 2 antibody may be required due to differences in protocols and secondary/substrate sensitivity.

Immunogen

A portion of amino acids 166-194 from the human protein was used as the immunogen for the Embryonic polyadenylate-binding protein 2 antibody.

Storage

Aliquot the Embryonic polyadenylate-binding protein 2 antibody and store frozen at -20oC or colder. Avoid repeated freeze-thaw cycles.

Cross
Bulk Quote Request Form
Name*:
Organization*:
Email*:
Phone Number*:
Catalog No.*:
Comments and Specifics(amount, formulation, etc.)*:
Validation code: Captchapackage Image


Can't read the image? click here to refresh.
    *required field

Your bulk quote request has been submitted successfully!

Please contact us if you have any questions.