• Tel: 858.663.9055
  • SeparatorEmail: info@nsjbio.com
  • Tel: 858.663.9055
  • Email: info@nsjbio.com
Home >> Antibodies >> EMA Antibody / MUC1 / Mucin-1

EMA Antibody / MUC1 / Mucin-1 [clone MUC1/845] (V2371)

  Catalog No Formulation Size Price (USD)  
Image V2371-100UG 0.2 mg/ml in 1X PBS with 0.1 mg/ml BSA (US sourced) and 0.05% sodium azide 100 ug 559
Image
V2371-20UG 0.2 mg/ml in 1X PBS with 0.1 mg/ml BSA (US sourced) and 0.05% sodium azide 20 ug 259
Image
V2371SAF-100UG 1 mg/ml in 1X PBS; BSA free, sodium azide free 100 ug 559
Image
V2371IHC-7ML Prediluted in 1X PBS with 0.1 mg/ml BSA (US sourced) and 0.05% sodium azide; *For IHC use only* 7 ml 559
Bulk quote request
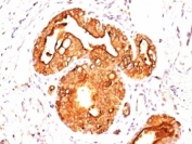
Formalin-fixed, paraffin-embedded human ovarian carcinoma stained with EMA antibody (MUC1/845).
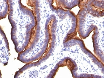
Formalin-fixed, paraffin-embedded human colon carcinoma stained with EMA antibody (MUC1/845).
Formalin-fixed, paraffin-embedded human endometrial carcinoma stained with EMA antibody (MUC1/845).
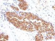
Formalin-fixed, paraffin-embedded human breast carcinoma stained with MUC1 / EMA antibody (MUC1/845).
Formalin-fixed, paraffin-embedded human breast carcinoma stained with EMA antibody (MUC1/845).
Formalin-fixed, paraffin-embedded human breast carcinoma stained with EMA antibody (MUC1/845).
SDS-PAGE Analysis of Purified, BSA-Free EMA Antibody (clone MUC1/845). Confirmation of Integrity and Purity of the Antibody.
Species Reactivity Human
Format Purified
Host Mouse
Clonality Monoclonal (mouse origin)
Isotype Mouse IgG1, kappa
Clone Name MUC1/845
Purity Protein G affinity chromatography
Buffer 1X PBS, pH 7.4
Gene ID 4582
Localization Cytoplasmic and cell surface
Applications Immunohistochemistry (FFPE) : 1-2ug/ml for 30 min at RT
Limitations This EMA antibody is available for research use only.
Review this product on BioCompare and get a $20 Amazon gift card

Related Products

Description

This antibody recognizes proteins in MW range of 265-400 kDa, identified as different glycoforms of MUC1 (Mucin-1) or EMA (epithelial membrane antigen). The alpha subunit has cell adhesive properties. It can act both as an adhesion and an anti-adhesion protein. MUC1 / Mucin-1 may provide a protective layer on epithelial cells against bacterial and enzyme attack. The beta subunit contains a C-terminal domain, which is involved in cell signaling through phosphorylations and protein-protein interactions. In immunohistochemical assays, the MUC1 / EMA antibody superbly stains routine formalin/paraffin carcinoma tissues. MUC1 antibody is useful as a pan-epithelial marker for detecting early metastatic loci of carcinoma in bone marrow or liver.

Application Notes

The concentration stated for each application is a general starting point. Variations in protocols, secondaries and substrates may require the EMA antibody to be titered up or down for optimal performance.

1. HIER: boil sections in pH 9 10mM Tris with 1mM EDTA for 10-20 min followed by cooling at RT for 10-20 min.
2. The prediluted format is supplied in a dropper bottle and is optimized for use in IHC. After epitope retrieval step (if required), drip mAb solution onto the tissue section and incubate at RT for 30 min.

Immunogen

Human milk fat globule membranes were used as the immunogen for this EMA antibody.

Storage

Store the EMA antibody at 2-8oC (with azide) or aliquot and store at -20oC or colder (without azide).

Cross
Bulk Quote Request Form
Name*:
Organization*:
Email*:
Phone Number*:
Catalog No.*:
Comments and Specifics(amount, formulation, etc.)*:
Validation code: Captchapackage Image


Can't read the image? click here to refresh.
    *required field

Your bulk quote request has been submitted successfully!

Please contact us if you have any questions.