• Tel: 858.663.9055
  • SeparatorEmail: info@nsjbio.com
  • Tel: 858.663.9055
  • Email: info@nsjbio.com
Home >> Antibodies >> ELOVL6 Antibody

ELOVL6 Antibody (F54857)

  Catalog No Formulation Size Price (USD)  
Image F54857-0.4ML In 1X PBS, pH 7.4, with 0.09% sodium azide 0.4 ml 439
Image
F54857-0.08ML In 1X PBS, pH 7.4, with 0.09% sodium azide 0.08 ml 205
Bulk quote request
Western blot testing of human lung tissue lysate with ELOVL6 antibody. Predicted molecular weight ~31 kDa.
Western blot testing of mouse liver tissue lysate with ELOVL6 antibody. Predicted molecular weight ~31 kDa.
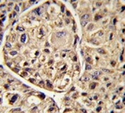
IHC testing of FFPE human hepatocellular carcinoma tissue with ELOVL6 antibody. HIER: steam section in pH6 citrate buffer for 20 min and allow to cool prior to staining.
Flow cytometry testing of human HepG2 cells with ELOVL6 antibody; Blue=isotype control, Green= ELOVL6 antibody.
Availability 1-3 business days
Species Reactivity Human, Mouse
Format Purified
Host Rabbit
Clonality Polyclonal (rabbit origin)
Isotype Rabbit Ig
Purity Purified
UniProt Q9H5J4
Localization Cytoplasmic
Applications Flow Cytometry : 1:10-1:50 (1x10e6 cells)
Immunohistochemistry (FFPE) : 1:50-1:100
Western Blot : 1:500-1:1000
Limitations This ELOVL6 antibody is available for research use only.
Review this product on BioCompare and get a $20 Amazon gift card

Description

Fatty acid elongases (EC 6.2.1.3), such as ELOVL6, use malonyl-CoA as a 2-carbon donor in the first and rate-limiting step of fatty acid elongation.

Application Notes

The stated application concentrations are suggested starting points. Titration of the ELOVL6 antibody may be required due to differences in protocols and secondary/substrate sensitivity.

Immunogen

A portion of amino acids 32-58 from the human protein was used as the immunogen for the ELOVL6 antibody.

Storage

Aliquot the ELOVL6 antibody and store frozen at -20oC or colder. Avoid repeated freeze-thaw cycles.

Cross
Bulk Quote Request Form
Name*:
Organization*:
Email*:
Phone Number*:
Catalog No.*:
Comments and Specifics(amount, formulation, etc.)*:
Validation code: Captchapackage Image


Can't read the image? click here to refresh.
    *required field

Your bulk quote request has been submitted successfully!

Please contact us if you have any questions.