• Tel: 858.663.9055
  • SeparatorEmail: info@nsjbio.com
  • Tel: 858.663.9055
  • Email: info@nsjbio.com
Home >> Antibodies >> Elongation Factor 2 Antibody / EEF2

Elongation Factor 2 Antibody / EEF2 (RQ6172)

  Catalog No Formulation Size Price (USD)  
Image RQ6172 0.5mg/ml if reconstituted with 0.2ml sterile DI water 100 ug 449
Bulk quote request
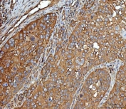
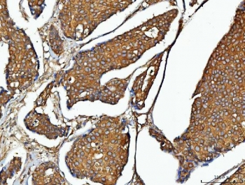
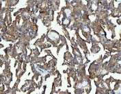
IHC staining of FFPE human breast cancer tissue with Elongation Factor 2 antibody. HIER: boil tissue sections in pH8 EDTA for 20 min and allow to cool before testing.
IHC staining of FFPE human laryngeal squamous cell carcinoma tissue with Elongation Factor 2 antibody. HIER: boil tissue sections in pH8 EDTA for 20 min and allow to cool before testing.
IHC staining of FFPE human renal cancer with Elongation Factor 2 antibody. HIER: boil tissue sections in pH8 EDTA for 20 min and allow to cool before testing.
IHC staining of FFPE human lymphoma with Elongation Factor 2 antibody. HIER: boil tissue sections in pH8 EDTA for 20 min and allow to cool before testing.
IHC staining of FFPE mouse ovary with Elongation Factor 2 antibody. HIER: boil tissue sections in pH8 EDTA for 20 min and allow to cool before testing.
IHC staining of FFPE rat ovary with Elongation Factor 2 antibody. HIER: boil tissue sections in pH8 EDTA for 20 min and allow to cool before testing.
Western blot testing of 1) human Jurkat, 2) monkey COS-7, 3) human HeLa, 4) human 293T, 5) human HepG2, 6) human Daudi, 7) human MCF7, 8) zebrafish, 9) rat stomach, 10) rat pancreas, 11) rat C6, 12) mouse pancreas and 13) mouse 3T3L1 cell lysate with Elongation Factor 2 antibody. Predicted molecular weight ~95 kDa.
Availability 1-3 business days
Species Reactivity Human, Mouse, Rat, Monkey, Zebrafish
Format Antigen affinity purified
Host Rabbit
Clonality Polyclonal (rabbit origin)
Isotype Rabbit IgG
Purity Affinity purified
Buffer Lyophilized from 1X PBS with 2% Trehalose
UniProt P13639
Localization Cytoplasmic, nuclear
Applications Western Blot : 1-2ug/ml
Immunohistochemistry (FFPE) : 2-5ug/ml
Direct ELISA : 0.1-0.5ug/ml
Limitations This Elongation Factor 2 antibody is available for research use only.
Review this product on BioCompare and get a $20 Amazon gift card

Related Products

Description

Eukaryotic elongation factor 2 is a protein that in humans is encoded by the EEF2 gene. This gene encodes a member of the GTP-binding translation elongation factor family. This protein is an essential factor for protein synthesis. It promotes the GTP-dependent translocation of the nascent protein chain from the A-site to the P-site of the ribosome. This protein is completely inactivated by EF-2 kinase phosporylation.

Application Notes

Optimal dilution of the Elongation Factor 2 antibody should be determined by the researcher.

Immunogen

A human recombinant partial protein (amino acids M1-L858) was used as the immunogen for the Elongation Factor 2 antibody.

Storage

After reconstitution, the Elongation Factor 2 antibody can be stored for up to one month at 4oC. For long-term, aliquot and store at -20oC. Avoid repeated freezing and thawing.

Cross
Bulk Quote Request Form
Name*:
Organization*:
Email*:
Phone Number*:
Catalog No.*:
Comments and Specifics(amount, formulation, etc.)*:
Validation code: Captchapackage Image


Can't read the image? click here to refresh.
    *required field

Your bulk quote request has been submitted successfully!

Please contact us if you have any questions.