• Tel: 858.663.9055
  • SeparatorEmail: info@nsjbio.com
  • Tel: 858.663.9055
  • Email: info@nsjbio.com
Home >> Antibodies >> ELAVL2 Antibody / HUB

ELAVL2 Antibody / HUB (RQ4564)

  Catalog No Formulation Size Price (USD)  
Image RQ4564 0.5mg/ml if reconstituted with 0.2ml sterile DI water 100 ug 449
Bulk quote request
Western blot testing of human 1) T-47D, 2) A549 and 3) Caco-2 lysate with ELAVL2 antibody at 0.5ug/ml. Predicted molecular weight ~40 kDa.
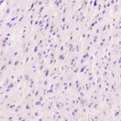
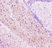
IHC staining of FFPE mouse brain tissue with ELAVL2 antibody at 1ug/ml. HIER: boil tissue sections in pH6, 10mM citrate buffer, for 10-20 min followed by cooling at RT for 20 min.
IHC staining of FFPE mouse brain tissue with ELAVL2 antibody at 1ug/ml. HIER: boil tissue sections in pH6, 10mM citrate buffer, for 10-20 min followed by cooling at RT for 20 min.
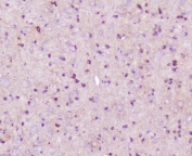
IHC staining of FFPE human glioma with ELAVL2 antibody at 1ug/ml. HIER: boil tissue sections in pH6, 10mM citrate buffer, for 10-20 min followed by cooling at RT for 20 min.
Availability 1-3 business days
Species Reactivity Human, Mouse
Format Antigen affinity purified
Host Rabbit
Clonality Polyclonal (rabbit origin)
Isotype Rabbit IgG
Purity Antigen affinity purified
Buffer Lyophilized from 1X PBS with 2% Trehalose and 0.025% sodium azide
UniProt Q12926
Localization Nuclear, cytoplasmic
Applications Western Blot : 0.5-1ug/ml
IHC (FFPE) : 1-2ug/ml
Review this product on BioCompare and get a $20 Amazon gift card

Related Products

Description

ELAV-like protein 2 is a protein that in humans is encoded by the ELAVL2 gene. This gene encodes a member of the cytochrome P450 superfamily of enzymes, and is commonly known as sterol 27-hydroxylase. The cytochrome P450 proteins are monooxygenases which catalyze many reactions involved in drug metabolism and synthesis of cholesterol, steroids and other lipids. This mitochondrial protein oxidizes cholesterol intermediates as part of the bile synthesis pathway. Since the conversion of cholesterol to bile acids is the major route for removing cholesterol from the body, this protein is important for overall cholesterol homeostasis. Mutations in this gene cause cerebrotendinous xanthomatosis, a rare autosomal recessive lipid storage disease.

Application Notes

Optimal dilution of the ELAVL2 antibody should be determined by the researcher.

Immunogen

Amino acids METQLSNGPTCNNTANGPTTINNNCSSPVDSGNTEDSK were used as the immunogen for the ELAVL2 antibody.

Storage

After reconstitution, the ELAVL2 antibody can be stored for up to one month at 4oC. For long-term, aliquot and store at -20oC. Avoid repeated freezing and thawing.

Cross
Bulk Quote Request Form
Name*:
Organization*:
Email*:
Phone Number*:
Catalog No.*:
Comments and Specifics(amount, formulation, etc.)*:
Validation code: Captchapackage Image


Can't read the image? click here to refresh.
    *required field

Your bulk quote request has been submitted successfully!

Please contact us if you have any questions.