• Tel: 858.663.9055
  • SeparatorEmail: info@nsjbio.com
  • Tel: 858.663.9055
  • Email: info@nsjbio.com
Home >> Antibodies >> ELAVL2 Antibody

ELAVL2 Antibody (F54281)

  Catalog No Formulation Size Price (USD)  
Image F54281-0.4ML In 1X PBS, pH 7.4, with 0.09% sodium azide 0.4 ml 439
Image
F54281-0.08ML In 1X PBS, pH 7.4, with 0.09% sodium azide 0.08 ml 205
Bulk quote request
IHC testing of FFPE human brain tissue with ELAVL2 antibody. HIER: steam section in pH6 citrate buffer for 20 min and allow to cool prior to staining.
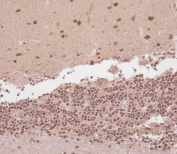
IHC testing of FFPE human cerebellum tissue with ELAVL2 antibody. HIER: steam section in pH6 citrate buffer for 20 min and allow to cool prior to staining.
Western blot testing of human brain lysate with ELAVL2 antibody. Predicted molecular weight ~40 kDa.
Western blot testing of mouse brain lysate with ELAVL2 antibody. Predicted molecular weight ~40 kDa.
Flow cytometry testing of fixed and permeabilized human K562 cells with ELAVL2 antibody; Blue=isotype control, Green= ELAVL2 antibody.
Availability 1-3 business days
Species Reactivity Human, Mouse
Format Purified
Host Rabbit
Clonality Polyclonal (rabbit origin)
Isotype Rabbit Ig
Purity Antigen affinity purified
UniProt Q12926
Localization Nuclear, cytoplasmic
Applications Western Blot : 1:500-1:2000
Immunohistochemistry (FFPE) : 1:25
Flow Cytometry : 1:25 (1x10e6 cells)
Limitations This ELAVL2 antibody is available for research use only.
Review this product on BioCompare and get a $20 Amazon gift card

Related Products

Description

The protein encoded by this gene is a neural-specific RNA-binding protein that is known to bind to several 3' UTRs, including its own and also that of FOS and ID. The encoded protein may recognize a GAAA motif in the RNA. Three transcript variants encoding two different isoforms have been found for this gene.

Application Notes

The stated application concentrations are suggested starting points. Titration of the ELAVL2 antibody may be required due to differences in protocols and secondary/substrate sensitivity.

Immunogen

A portion of amino acids 156-184 from the human protein were used as the immunogen for the ELAVL2 antibody.

Storage

Aliquot the ELAVL2 antibody and store frozen at -20oC or colder. Avoid repeated freeze-thaw cycles.

Cross
Bulk Quote Request Form
Name*:
Organization*:
Email*:
Phone Number*:
Catalog No.*:
Comments and Specifics(amount, formulation, etc.)*:
Validation code: Captchapackage Image


Can't read the image? click here to refresh.
    *required field

Your bulk quote request has been submitted successfully!

Please contact us if you have any questions.