• Tel: 858.663.9055
  • SeparatorEmail: info@nsjbio.com
  • Tel: 858.663.9055
  • Email: info@nsjbio.com
Home >> Antibodies >> Elastin Antibody / ELN

Elastin Antibody / ELN [clone ELN/2069] (V8464)

  Catalog No Formulation Size Price (USD)  
Image V8464-100UG 0.2 mg/ml in 1X PBS with 0.1 mg/ml BSA (US sourced) and 0.05% sodium azide 100 ug 559
Image
V8464-20UG 0.2 mg/ml in 1X PBS with 0.1 mg/ml BSA (US sourced) and 0.05% sodium azide 20 ug 259
Image
V8464SAF-100UG 1 mg/ml in 1X PBS; BSA free, sodium azide free 100 ug 559
Bulk quote request
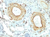
Elastin Antibody IHC Angiosarcoma. Immunohistochemistry analysis of Elastin in human angiosarcoma tissue. Formalin-fixed, paraffin-embedded human angiosarcoma tissue was stained using Elastin antibody (clone ELN/2069), showing prominent extracellular matrix and vessel-associated staining consistent with elastic fiber deposition in tumor-associated vascular structures. Heat-induced epitope retrieval was performed by boiling tissue sections in 10 mM Tris with 1 mM EDTA, pH 9.0, for 20 minutes, followed by cooling prior to immunostaining.
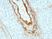
Elastin Antibody IHC Human Small Intestine. Immunohistochemistry staining of FFPE human small intestine with Elastin antibody (clone ELN/2069). HIER: boil tissue sections in pH 9 10mM Tris with 1mM EDTA for 20 min and allow to cool before testing.
Elastin Antibody IHC Human Pancreas. Immunohistochemistry staining of FFPE human pancreas with Elastin antibody (clone ELN/2069). HIER: boil tissue sections in pH 9 10mM Tris with 1mM EDTA for 20 min and allow to cool before testing.
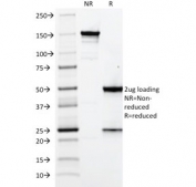
SDS-PAGE analysis of purified, BSA-free Elastin antibody (clone ELN/2069) as confirmation of integrity and purity.
Availability 1-3 business days
Species Reactivity Human
Format Purified
Host Mouse
Clonality Monoclonal (mouse origin)
Isotype Mouse IgG1, kappa
Clone Name ELN/2069
Purity Protein G affinity chromatography
UniProt P15502
Localization Secreted
Applications ELISA : order Ab without BSA for coating
Immunohistochemistry (FFPE) : 1-2ug/ml for 30 min at RT
Limitations This Elastin antibody is available for research use only.
Review this product on BioCompare and get a $20 Amazon gift card

Related Products

Description

Elastin antibody targets Elastin, an insoluble extracellular matrix protein encoded by the ELN gene that forms the core of elastic fibers in connective tissues. Elastin is essential for providing reversible elasticity to tissues subjected to repeated mechanical strain, such as large arteries, lung parenchyma, dermis, and ligamentous structures. Unlike many structural proteins, Elastin is highly stable and persists for decades in mature tissues, underscoring its importance in long-term tissue mechanics.

Elastin is produced as the soluble monomer tropoelastin, which is secreted by fibroblasts, smooth muscle cells, and other mesenchymal cells before undergoing extensive cross-linking in the extracellular space. This cross-linking process generates a durable elastic network integrated with microfibrillar scaffolds composed of fibrillins and associated proteins. ELN antibody detection is therefore valuable for examining elastic fiber assembly, extracellular matrix architecture, and connective tissue organization.

From a functional perspective, Elastin enables tissues to store and release mechanical energy efficiently, allowing blood vessels to buffer pulsatile flow and lungs to recoil during respiration. Disruption of elastin fiber formation or accelerated elastin degradation compromises tissue compliance and contributes to progressive structural damage. ELN antibody reagents support studies focused on tissue biomechanics, extracellular matrix turnover, and age-related structural changes.

Alterations in Elastin distribution and integrity are implicated in a wide range of pathological processes. Reduced or fragmented elastin is characteristic of emphysema, vascular aneurysms, and fibrotic remodeling, while inherited ELN mutations cause connective tissue disorders such as supravalvular aortic stenosis and Williams syndrome. In oncology, elastin remodeling within the tumor stroma reflects changes in vascular architecture and stromal composition. These features make Elastin antibody-based detection relevant for cardiovascular, pulmonary, developmental, and cancer research.

Clone ELN/2069 is designed to recognize Elastin in research applications. Elastin antibody reagents are suitable for detecting elastic fiber distribution and extracellular matrix patterns in normal and diseased tissues, supporting investigations into connective tissue development, vascular remodeling, and disease-associated alterations in tissue elasticity.

This antibody is part of the Elastin antibody collection, where additional ELN antibodies can be explored.

Application Notes

Optimal dilution of the Elastin antibody should be determined by the researcher.

Immunogen

Recombinant full-length human Elastin protein was used as the immunogen for the Elastin antibody.

Storage

Store the Elastin antibody at 2-8oC (with azide) or aliquot and store at -20oC or colder (without azide).

Cross
Bulk Quote Request Form
Name*:
Organization*:
Email*:
Phone Number*:
Catalog No.*:
Comments and Specifics(amount, formulation, etc.)*:
Validation code: Captchapackage Image


Can't read the image? click here to refresh.
    *required field

Your bulk quote request has been submitted successfully!

Please contact us if you have any questions.