• Tel: 858.663.9055
  • SeparatorEmail: info@nsjbio.com
  • Tel: 858.663.9055
  • Email: info@nsjbio.com
Home >> Antibodies >> Elastase 3B Antibody Mouse Monoclonal / CELA3B

Elastase 3B Antibody Mouse Monoclonal / CELA3B [clone ELTS3B-2] (V7213)

  Catalog No Formulation Size Price (USD)  
Image V7213-100UG 0.2 mg/ml in 1X PBS with 0.1 mg/ml BSA (US sourced) and 0.05% sodium azide 100 ug 559
Image
V7213-20UG 0.2 mg/ml in 1X PBS with 0.1 mg/ml BSA (US sourced) and 0.05% sodium azide 20 ug 259
Image
V7213SAF-100UG 1 mg/ml in 1X PBS; BSA free, sodium azide free 100 ug 559
Bulk quote request
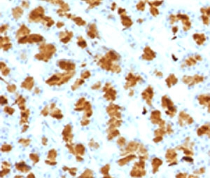
Immunohistochemistry of Elastase 3B antibody mouse monoclonal (clone ELTS3B-2) in FFPE rat pancreas. Formalin-fixed, paraffin-embedded rat pancreatic tissue shows strong granular cytoplasmic staining in acinar cells, consistent with the secretory localization of Chymotrypsin-like elastase family member 3B, while surrounding stromal elements are largely negative. FFPE staining requires boiling tissue sections in 10mM Tris with 1mM EDTA, pH 9, for 10-20 min followed by cooling at RT for 20 min.
Immunohistochemistry of Elastase 3B antibody (clone ELTS3B-2) in FFPE mouse pancreas. Formalin-fixed, paraffin-embedded mouse pancreatic tissue demonstrates strong granular cytoplasmic staining in acinar cells, consistent with the secretory localization of Chymotrypsin-like elastase family member 3B, while surrounding non-acinar cells show minimal staining. FFPE staining requires boiling tissue sections in 10mM Tris with 1mM EDTA, pH 9, for 10-20 min followed by cooling at RT for 20 min.
Immunohistochemistry of mouse monoclonal Elastase 3B antibody (clone ELTS3B-2) in FFPE human pancreas. Formalin-fixed, paraffin-embedded human pancreatic tissue shows strong granular cytoplasmic staining in acinar cells, consistent with the secretory localization of Chymotrypsin-like elastase family member 3B, while surrounding stromal and ductal structures are largely negative. FFPE staining requires boiling tissue sections in 10mM Tris with 1mM EDTA, pH 9, for 10-20 min followed by cooling at RT for 20 min.
Species Reactivity Human, Mouse, Rat
Format Purified
Host Mouse
Clonality Monoclonal (mouse origin)
Isotype Mouse IgG1, kappa
Clone Name ELTS3B-2
Purity Protein G
UniProt P08861
Applications Immunohistochemistry (FFPE) : 1-2ug/ml
Limitations This Elastase 3B antibody is available for research use only.
Review this product on BioCompare and get a $20 Amazon gift card

Related Products

Description

Elastase 3B Antibody Mouse Monoclonal clone ELTS3B-2 targets Chymotrypsin-like elastase family member 3B, a secreted digestive serine protease commonly referred to as pancreatic elastase 3B. The CELA3B gene is located on chromosome 1p36.12 and encodes an enzyme that is highly enriched in pancreatic acinar cells, where it contributes to exocrine pancreatic function and regulated protein digestion. As a member of the chymotrypsin-like serine protease family, CELA3B plays a defined role in the controlled hydrolysis of dietary proteins within the small intestine.

CELA3B is synthesized as a preproenzyme containing an N-terminal signal peptide that directs the nascent protein into the endoplasmic reticulum, followed by an activation peptide that maintains the enzyme in an inactive zymogen state. After processing in the Golgi apparatus, it is packaged into cytoplasmic zymogen granules within pancreatic acinar cells. Upon physiologic stimulation, these granules undergo regulated exocytosis, releasing elastase 3B into the duodenum where proteolytic activation enables substrate cleavage. The mature enzyme adopts the conserved serine protease fold with a catalytic triad typical of trypsin-like endopeptidases.

Elastase 3B shares strong sequence homology with CELA3A, and both enzymes are often discussed in the context of fecal elastase 1 testing because of their stability in pancreatic secretions. In tissue-based research, CELA3B expression is largely restricted to pancreatic acinar cells and demonstrates strong cytoplasmic localization consistent with secretory granules. This lineage-associated expression supports its use in studies of acinar differentiation and in evaluation of pancreatic acinar cell carcinoma and related exocrine tumors.

Genetic investigations have linked certain CELA3B variants to hereditary pancreatitis syndromes, emphasizing the importance of tightly regulated protease activation in maintaining pancreatic homeostasis. Dysregulated digestive enzyme activity is a recognized contributor to pancreatitis pathogenesis. Clone ELTS3B-2 is developed to support research applications focused on pancreatic acinar biology, digestive enzyme regulation, and elastase family protein expression.

Application Notes

Optimal dilution of the Elastase 3B antibody should be determined by the researcher.

Immunogen

A partial recombinant protein (aa 82-238) was used as the immunogen for the Elastase 3B antibody mouse monoclonal.

Storage

Store the Elastase 3B antibody at 2-8oC (with azide) or aliquot and store at -20oC or colder (without azide).

Cross
Bulk Quote Request Form
Name*:
Organization*:
Email*:
Phone Number*:
Catalog No.*:
Comments and Specifics(amount, formulation, etc.)*:
Validation code: Captchapackage Image


Can't read the image? click here to refresh.
    *required field

Your bulk quote request has been submitted successfully!

Please contact us if you have any questions.