• Tel: 858.663.9055
  • SeparatorEmail: info@nsjbio.com
  • Tel: 858.663.9055
  • Email: info@nsjbio.com
Home >> Antibodies >> EIF4A3 Antibody / Eukaryotic initiation factor 4A-III

EIF4A3 Antibody / Eukaryotic initiation factor 4A-III (FY13354)

  Catalog No Formulation Size Price (USD)  
Image FY13354 Adding 0.2 ml of distilled water will yield a concentration of 500 ug/ml 100 ug 449
Bulk quote request
Immunofluorescent staining of EIF4A3 using anti-EIF4A3 antibody (green) and anti-Beta Tubulin antibody (red). EIF4A3 was detected in an immunocytochemical section of human A549 cells. Enzyme antigen retrieval was performed using IHC enzyme antigen retrieval reagent for 15 mins. The cells were blocked with 10% goat serum. And then incubated with 5 ug/ml rabbit anti-EIF4A3 antibody and mouse anti-Beta Tubulin antibody overnight at 4oC. DyLight 488 Conjugated Goat Anti-Rabbit IgG and Cy3 Conjugated Goat Anti-Mouse IgG were used as secondary antibody at 1:500 dilution and incubated for 30 minutes at 37oC. Visualize using a fluorescence microscope and filter sets appropriate for the label used.
Western blot analysis of EIF4A3 using anti-EIF4A3 antibody. Electrophoresis was performed on a 10% SDS-PAGE gel at 80V (Stacking gel) / 120V (Resolving gel) for 2 hours. Lane 1: human whole cell lysates, Lane 2: human 293T whole cell lysates, Lane 3: human Hela whole cell lysates, Lane 4: human MCF-7 whole cell lysates, Lane 5: rat liver tissue lysates, Lane 6: rat lung tissue lysates, Lane 7: mouse liver tissue lysates, Lane 8: mouse lung tissue lysates. After electrophoresis, proteins were transferred to a nitrocellulose membrane at 150 mA for 50-90 minutes. Blocked the membrane with 5% non-fat milk/TBS for 1.5 hour at RT. The membrane was incubated with rabbit anti-EIF4A3 antibody at 0.5 ug/ml overnight at 4oC, then washed with TBS-0.1%Tween 3 times with 5 minutes each and probed with a goat anti-rabbit IgG-HRP secondary antibody at a dilution of 1:5000 for 1.5 hour at RT. The signal was developed using an ECL Plus Western Blotting Substrate. A specific band was detected for EIF4A3 at approximately 47 kDa. The expected molecular weight of EIF4A3 is ~47 kDa.
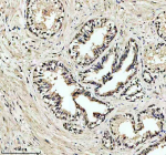
Immunohistochemical staining of EIF4A3 using anti-EIF4A3 antibody. EIF4A3 was detected in a paraffin-embedded section of human prostate cancer tissue. Heat mediated antigen retrieval was performed in EDTA buffer (pH 8.0, epitope retrieval solution). The tissue section was blocked with 10% goat serum. The tissue section was then incubated with 2 ug/ml rabbit anti-EIF4A3 antibody overnight at 4oC. Peroxidase Conjugated Goat Anti-rabbit IgG was used as secondary antibody and incubated for 30 minutes at 37oC. The tissue section was developed using an HRP secondary and DAB substrate.
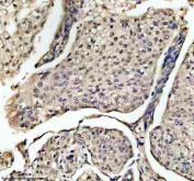
Immunohistochemical staining of EIF4A3 using anti-EIF4A3 antibody. EIF4A3 was detected in a paraffin-embedded section of human cervical cancer tissue. Heat mediated antigen retrieval was performed in EDTA buffer (pH 8.0, epitope retrieval solution). The tissue section was blocked with 10% goat serum. The tissue section was then incubated with 2 ug/ml rabbit anti-EIF4A3 antibody overnight at 4oC. Peroxidase Conjugated Goat Anti-rabbit IgG was used as secondary antibody and incubated for 30 minutes at 37oC. The tissue section was developed using an HRP secondary and DAB substrate.
Immunoprecipitating EIF4A3 in 293T whole cell lysate. Western blot analysis of EIF4A3 using anti-EIF4A3 antibody. Lane 1: 293T whole cell lysates (30ug), Lane 2: Rabbit control IgG instead of anti-EIF4A3 antibody in 293T whole cell lysate, Lane 3: anti-EIF4A3 antibody (2ug) + 293T whole cell lysate (500ug). After electrophoresis, proteins were transferred to a membrane. Then the membrane was incubated with rabbit anti-EIF4A3 antibody at a dilution of 0.5 ug/ml and probed with a mouse anti-rabbit IgG-HRP secondary antibody. The signal is developed using ECL Plus Western Blotting Substrate. A specific band was detected for EIF4A3 at approximately 47 kDa. The expected molecular weight of EIF4A3 is at 47 kDa.
Flow Cytometry analysis of 293T cells using anti-EIF4A3 antibody. Overlay histogram showing 293T cells stained with (Blue line). To facilitate intracellular staining, cells were fixed with 4% paraformaldehyde and permeabilized with permeabilization buffer. The cells were blocked with 10% normal goat serum. And then incubated with rabbit anti-EIF4A3 antibody (1 ug/million cells) for 30 min at 20oC. DyLight 488 conjugated goat anti-rabbit IgG (5-10 ug/million cells) was used as secondary antibody for 30 minutes at 20oC. Isotype control antibody (Green line) was rabbit IgG (1 ug/million cells) used under the same conditions. Unlabelled sample without incubation with primary antibody and secondary antibody (Red line) was used as a blank control.
Availability 1-2 days
Species Reactivity Human, Mouse, Rat
Format Lyophilized
Host Rabbit
Clonality Polyclonal (rabbit origin)
Isotype Rabbit IgG
Purity Immunogen affinity purified
Buffer Each vial contains 4 mg Trehalose, 0.9 mg NaCl, 0.2 mg Na2HPO4.
UniProt P38919
Localization Nuclear, cytoplasmic
Applications Western Blot : 0.25-0.5ug/ml
Immunohistochemistry : 2-5ug/ml
Immunocytochemistry/Immunofluorescence : 5ug/ml
Immunoprecipitation : 2-4ug/500ug of lysate
Flow Cytometry : 1-3ug/million cells
ELISA : 0.1-0.5ug/ml
Limitations This EIF4A3 antibody is available for research use only.
Review this product on BioCompare and get a $20 Amazon gift card

Description

EIF4A3 antibody detects Eukaryotic initiation factor 4A-III, an RNA helicase encoded by the EIF4A3 gene located on chromosome 17q25.3. EIF4A3 is a nuclear and cytoplasmic ATP-dependent RNA helicase belonging to the DEAD-box family and serves as a core component of the exon junction complex (EJC). The protein is essential for mRNA splicing, export, surveillance, and translation regulation. EIF4A3 is ubiquitously expressed but shows particularly high levels in brain, testis, and proliferating tissues where mRNA metabolism is active.

EIF4A3 functions as an mRNA quality control factor by binding to spliced mRNAs upstream of exon-exon junctions as part of the EJC, together with MAGOH, RBM8A (Y14), and MLN51. This complex regulates nonsense-mediated mRNA decay and translation efficiency, ensuring that defective transcripts are degraded. EIF4A3 also acts independently as an RNA helicase that unwinds RNA secondary structures to facilitate ribosome scanning during translation initiation. Co-localization studies show EIF4A3 concentrated in nuclear speckles and cytoplasmic ribonucleoprotein granules, reflecting its dual role in RNA processing and translation.

Structurally, EIF4A3 contains two RecA-like domains forming an ATP-binding cleft and conserved motifs such as the DEAD (Asp-Glu-Ala-Asp) box essential for helicase activity. It belongs to the DEAD-box helicase subfamily of eukaryotic initiation factors, which also includes EIF4A1 and EIF4A2. Unlike these cytoplasmic isoforms, EIF4A3 primarily functions in the nucleus as part of the EJC, anchoring the complex to mRNA. Known interacting partners include MAGOH, Y14, UPF1, and CASC3.

Functionally, EIF4A3 is indispensable for mRNA stability, nonsense-mediated decay, and post-transcriptional gene regulation. It coordinates RNA splicing and surveillance with translation, maintaining proteome integrity. In neurons, EIF4A3 regulates synaptic mRNA localization and local protein synthesis critical for plasticity. During embryonic development, EIF4A3 contributes to neural differentiation and morphogenesis by regulating gene expression at the RNA level.

Mutations or depletion of EIF4A3 disrupts RNA surveillance, leading to aberrant transcript accumulation and developmental defects. Loss-of-function variants cause Richieri-Costa-Pereira syndrome, characterized by craniofacial and limb malformations. Dysregulation of EIF4A3 expression has also been associated with tumor progression, as enhanced RNA surveillance supports oncogenic growth. Pathway associations include mRNA splicing, nonsense-mediated decay, and translational control.

Immunohistochemical staining using EIF4A3 antibody demonstrates nuclear and cytoplasmic localization in neurons, epithelial cells, and germ cells. The EIF4A3 antibody from NSJ Bioreagents is a useful reagent for research into RNA metabolism, splicing regulation, and translational control mechanisms.

Application Notes

Optimal dilution of the EIF4A3 antibody should be determined by the researcher.

Immunogen

E.coli-derived human EIF4A3 recombinant protein (Position: R14-I411) was used as the immunogen for the EIF4A3 antibody.

Storage

After reconstitution, the EIF4A3 antibody can be stored for up to one month at 4oC. For long-term, aliquot and store at -20oC. Avoid repeated freezing and thawing.

Cross
Bulk Quote Request Form
Name*:
Organization*:
Email*:
Phone Number*:
Catalog No.*:
Comments and Specifics(amount, formulation, etc.)*:
Validation code: Captchapackage Image


Can't read the image? click here to refresh.
    *required field

Your bulk quote request has been submitted successfully!

Please contact us if you have any questions.