• Tel: 858.663.9055
  • SeparatorEmail: info@nsjbio.com
  • Tel: 858.663.9055
  • Email: info@nsjbio.com
Home >> Antibodies >> EIF3H Antibody / Eukaryotic translation initiation factor 3 subunit H

EIF3H Antibody / Eukaryotic translation initiation factor 3 subunit H (FY12328)

  Catalog No Formulation Size Price (USD)  
Image FY12328 Adding 0.2 ml of distilled water will yield a concentration of 500 ug/ml 100 ug 449
Bulk quote request
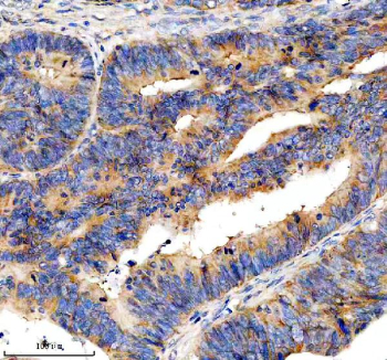
Immunohistochemical staining of EIF3H using anti-EIF3H antibody. EIF3H was detected in a paraffin-embedded section of human colon cancer tissue. Heat mediated antigen retrieval was performed in EDTA buffer (pH 8.0, epitope retrieval solution). The tissue section was blocked with 10% goat serum. The tissue section was then incubated with 2 ug/ml rabbit anti-EIF3H antibody overnight at 4oC. Peroxidase Conjugated Goat Anti-rabbit IgG was used as secondary antibody and incubated for 30 minutes at 37oC. The tissue section was developed using an HRP secondary and DAB substrate.
Western blot analysis of EIF3H using anti-EIF3H antibody. Electrophoresis was performed on a 10% SDS-PAGE gel at 80V (Stacking gel) / 120V (Resolving gel) for 2 hours. Lane 1: human HEL whole cell lysates, Lane 2: human K562 whole cell lysates, Lane 3: human THP-1 whole cell lysates, Lane 4: human PC-3 whole cell lysates, Lane 5: rat brain tissue lysates, Lane 6: mouse brain tissue lysates. After electrophoresis, proteins were transferred to a nitrocellulose membrane at 150 mA for 50-90 minutes. Blocked the membrane with 5% non-fat milk/TBS for 1.5 hour at RT. The membrane was incubated with rabbit anti-EIF3H antibody at 0.5 ug/ml overnight at 4oC, then washed with TBS-0.1%Tween 3 times with 5 minutes each and probed with a goat anti-rabbit IgG-HRP secondary antibody at a dilution of 1:5000 for 1.5 hour at RT. The signal was developed using an ECL Plus Western Blotting Substrate. The expected molecular weight of EIF3H is ~40 kDa.
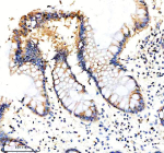
Immunohistochemical staining of EIF3H using anti-EIF3H antibody. EIF3H was detected in a paraffin-embedded section of human colon tissue. Heat mediated antigen retrieval was performed in EDTA buffer (pH 8.0, epitope retrieval solution). The tissue section was blocked with 10% goat serum. The tissue section was then incubated with 2 ug/ml rabbit anti-EIF3H antibody overnight at 4oC. Peroxidase Conjugated Goat Anti-rabbit IgG was used as secondary antibody and incubated for 30 minutes at 37oC. The tissue section was developed using an HRP secondary and DAB substrate.
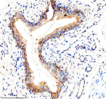
Immunohistochemical staining of EIF3H using anti-EIF3H antibody. EIF3H was detected in a paraffin-embedded section of rat bladder tissue. Heat mediated antigen retrieval was performed in EDTA buffer (pH 8.0, epitope retrieval solution). The tissue section was blocked with 10% goat serum. The tissue section was then incubated with 2 ug/ml rabbit anti-EIF3H antibody overnight at 4oC. Peroxidase Conjugated Goat Anti-rabbit IgG was used as secondary antibody and incubated for 30 minutes at 37oC. The tissue section was developed using an HRP secondary and DAB substrate.
Flow Cytometry analysis of PC-3 cells using anti-EIF3H antibody. Overlay histogram showing PC-3 cells stained with (Blue line). To facilitate intracellular staining, cells were fixed with 4% paraformaldehyde and permeabilized with permeabilization buffer. The cells were blocked with 10% normal goat serum. And then incubated with rabbit anti-EIF3H antibody (1 ug/million cells) for 30 min at 20oC. DyLight 488 conjugated goat anti-rabbit IgG (5-10 ug/million cells) was used as secondary antibody for 30 minutes at 20oC. Isotype control antibody (Green line) was rabbit IgG (1 ug/million cells) used under the same conditions. Unlabelled sample without incubation with primary antibody and secondary antibody (Red line) was used as a blank control.
Availability 1-2 days
Species Reactivity Human, Mouse, Rat
Format Lyophilized
Host Rabbit
Clonality Polyclonal (rabbit origin)
Isotype Rabbit IgG
Purity Immunogen affinity purified
Buffer Each vial contains 4 mg Trehalose, 0.9 mg NaCl, 0.2 mg Na2HPO4.
UniProt O15372
Localization Cytoplasmic
Applications Western Blot : 0.25-0.5ug/ml
Immunohistochemistry : 2-5ug/ml
Flow Cytometry : 1-3ug/million cells
ELISA : 0.1-0.5ug/ml
Limitations This EIF3H antibody is available for research use only.
Review this product on BioCompare and get a $20 Amazon gift card

Description

EIF3H Antibody is used to study Eukaryotic translation initiation factor 3 subunit H, a core component of the eIF3 complex that orchestrates early steps of protein synthesis. As part of the multi-subunit eIF3 scaffold, Eukaryotic translation initiation factor 3 subunit H helps recruit the 40S ribosomal subunit, stabilizes the ternary complex, and promotes mRNA attachment and scanning to locate the start codon. By coordinating factor exchange and ribosome positioning, Eukaryotic translation initiation factor 3 subunit H contributes to the efficiency and selectivity of translation initiation, a checkpoint that powerfully shapes proteome output and cellular phenotype.

Functionally, Eukaryotic translation initiation factor 3 subunit H supports assembly of the 43S pre-initiation complex and helps maintain interactions with eIF4F-bound mRNAs. Perturbations in subunit stoichiometry can shift translation of specific mRNA cohorts, including transcripts with structured 5' UTRs or upstream open reading frames. In cancer models, amplification or overexpression of Eukaryotic translation initiation factor 3 subunit H correlates with elevated global translation and selective enhancement of growth-promoting messages. These properties make EIF3H Antibody valuable for charting how initiation control intersects with oncogenic signaling and stress adaptation.

In the laboratory, EIF3H Antibody enables detection of the native subunit in immunoblotting, monitors changes during serum starvation or mTOR pathway modulation, and supports co-immunoprecipitation to define interactions within the eIF3 complex. In immunofluorescence, the antibody reveals cytoplasmic distribution patterns that can be aligned with ribosomal markers or stress granule components. Researchers coupling EIF3H Antibody with polysome profiling, ribosome footprinting, or cap-binding assays can connect subunit abundance to translational throughput and transcript selectivity. Because initiation control influences cell growth, differentiation, and stress resilience, accurate measurement of this subunit helps interpret the translational state of diverse cell types.

The EIF3H Antibody from NSJ Bioreagents is optimized for robust detection across common cell lines and tissues, integrating cleanly into workflows that probe translation factor dynamics, response to kinase inhibitors, or adaptive reprogramming under hypoxia and nutrient limitation. In biomarker studies, it can help assess whether elevated Eukaryotic translation initiation factor 3 subunit H accompanies genomic gains at the EIF3H locus and whether this associates with proliferative phenotypes. In mechanistic projects, the antibody supports mapping of subunit-subunit interactions and evaluation of how initiation factor balance governs selective translation under stress or therapy.

As translation control emerges as a central driver of cell behavior, EIF3H Antibody provides a dependable means to quantify and localize a key eIF3 subunit, enabling researchers to connect molecular initiation events to system-level outcomes in development, cancer, and stress biology.

Application Notes

Optimal dilution of the EIF3H antibody should be determined by the researcher.

Immunogen

E.coli-derived human EIF3H recombinant protein (Position: K37-N352) was used as the immunogen for the EIF3H antibody.

Storage

After reconstitution, the EIF3H antibody can be stored for up to one month at 4oC. For long-term, aliquot and store at -20oC. Avoid repeated freezing and thawing.

Cross
Bulk Quote Request Form
Name*:
Organization*:
Email*:
Phone Number*:
Catalog No.*:
Comments and Specifics(amount, formulation, etc.)*:
Validation code: Captchapackage Image


Can't read the image? click here to refresh.
    *required field

Your bulk quote request has been submitted successfully!

Please contact us if you have any questions.