• Tel: 858.663.9055
  • SeparatorEmail: info@nsjbio.com
  • Tel: 858.663.9055
  • Email: info@nsjbio.com
Home >> Antibodies >> EIF3D Antibody / Eukaryotic translation initiation factor 3 subunit D

EIF3D Antibody / Eukaryotic translation initiation factor 3 subunit D (FY13432)

  Catalog No Formulation Size Price (USD)  
Image FY13432 Adding 0.2 ml of distilled water will yield a concentration of 500 ug/ml 100 ug 449
Bulk quote request
Immunohistochemical staining using EIF3D antibody on paraffin-embedded human placenta tissue sections. Heat-induced epitope retrieval was performed using EDTA buffer (pH 8.0) prior to antibody incubation. Sections were blocked and incubated with EIF3D antibody overnight at 4C. Detection was carried out using an HRP-based secondary antibody with DAB as the chromogen. Staining demonstrates cytoplasmic immunoreactivity in placental tissue. Nuclei were counterstained with hematoxylin.
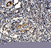
Immunohistochemical staining using EIF3D antibody on paraffin-embedded human testicular cancer tissue sections. Heat-induced epitope retrieval was performed using EDTA buffer (pH 8.0) prior to antibody incubation. Sections were blocked and incubated with EIF3D antibody overnight at 4C. Detection was carried out using an HRP-based secondary antibody with DAB as the chromogen. Staining shows cytoplasmic immunoreactivity in tumor cells. Nuclei were counterstained with hematoxylin.
Western blot analysis using EIF3D antibody. Lane 1: human THP-1 whole cell lysate; Lane 2: human HEL whole cell lysate; Lane 3: rat RH35 whole cell lysate. The predicted molecular weight of EIF3D is ~64 kDa, while EIF3D antibody detects a dominant band at approximately 55-60 kDa on SDS-PAGE, with an additional weaker band in the low 60 kDa range. These bands are consistent with regulated forms of Eukaryotic translation initiation factor 3 subunit D.
Availability 1-2 days
Species Reactivity Human, Rat
Format Lyophilized
Host Rabbit
Clonality Polyclonal (rabbit origin)
Isotype Rabbit IgG
Purity Immunogen affinity purified
Buffer Each vial contains 4 mg Trehalose, 0.9 mg NaCl and 0.2 mg Na2HPO4.
UniProt O15371
Applications Western Blot : 0.25-0.5ug/ml
Immunohistochemistry (FFPE) : 2-5ug/ml
ELISA : 0.1-0.5ug/ml
Limitations This EIF3D antibody is available for research use only.
Review this product on BioCompare and get a $20 Amazon gift card

Description

EIF3D antibody targets Eukaryotic translation initiation factor 3 subunit D, encoded by the EIF3D gene. EIF3D is a cytoplasmic protein that functions as a component of the eukaryotic translation initiation factor 3 (eIF3) complex, a central regulator of translation initiation. The eIF3 complex associates with the 40S ribosomal subunit and coordinates recruitment of mRNA and initiator tRNA during early steps of protein synthesis. EIF3D contributes to assembly and stability of this multiprotein complex and supports efficient translation initiation in eukaryotic cells.

Functionally, Eukaryotic translation initiation factor 3 subunit D plays a role in regulating mRNA translation rather than acting as a general enzymatic factor. EIF3D has been implicated in selective translation of specific mRNA subsets, linking translational control to cellular growth, stress responses, and differentiation. Through its participation in the eIF3 complex, EIF3D influences translation efficiency and fidelity, allowing cells to adapt protein synthesis programs to changing physiological conditions. An EIF3D antibody supports studies focused on translational regulation and ribosome-associated signaling.

EIF3D is broadly expressed across tissues and cell types, reflecting the universal requirement for regulated protein synthesis. Its activity is particularly relevant in proliferative cells, where tight control of translation initiation is essential for growth and cell cycle progression. EIF3D can interact with other eIF3 subunits and translation-associated factors, positioning it as part of a dynamic network that integrates signaling pathways with translational output.

From a disease-relevance perspective, altered EIF3D expression or function has been investigated in cancer and other disorders characterized by dysregulated protein synthesis. Changes in translation initiation factor activity can contribute to abnormal cell growth, survival, and stress adaptation. EIF3D has therefore emerged as a protein of interest in studies examining how translational control mechanisms influence disease-associated cellular behavior.

At the molecular level, Eukaryotic translation initiation factor 3 subunit D contains conserved regions required for interaction with ribosomal subunits and other components of the eIF3 complex. Post-translational modifications and complex assembly state - without altering the primary amino acid sequence - can influence its apparent behavior in biochemical assays. EIF3D antibody reagents support research applications focused on translation initiation, ribosome biology, and disease-associated alterations in protein synthesis, with NSJ Bioreagents providing reagents intended for research use.

Application Notes

Optimal dilution of the EIF3D antibody should be determined by the researcher.

Immunogen

E.coli-derived human Eukaryotic translation initiation factor 3 subunit D recombinant protein (amino acids I319-D532) was used as the immunogen for the EIF3D antibody.

Storage

After reconstitution, the EIF3D antibody can be stored for up to one month at 4oC. For long-term, aliquot and store at -20oC. Avoid repeated freezing and thawing.

Cross
Bulk Quote Request Form
Name*:
Organization*:
Email*:
Phone Number*:
Catalog No.*:
Comments and Specifics(amount, formulation, etc.)*:
Validation code: Captchapackage Image


Can't read the image? click here to refresh.
    *required field

Your bulk quote request has been submitted successfully!

Please contact us if you have any questions.