• Tel: 858.663.9055
  • SeparatorEmail: info@nsjbio.com
  • Tel: 858.663.9055
  • Email: info@nsjbio.com
Home >> Antibodies >> EIF3B Antibody / Eukaryotic translation initiation factor 3 subunit B

EIF3B Antibody / Eukaryotic translation initiation factor 3 subunit B (RQ8651)

  Catalog No Formulation Size Price (USD)  
Image RQ8651 0.5mg/ml if reconstituted with 0.2ml sterile DI water 100 ug 449
Bulk quote request
IHC staining of FFPE human colon tissue with EIF3B antibody. HIER: boil tissue sections in pH8 EDTA for 20 min and allow to cool before testing.
IHC staining of FFPE human colon adenocarcinoma tissue with EIF3B antibody. HIER: boil tissue sections in pH8 EDTA for 20 min and allow to cool before testing.
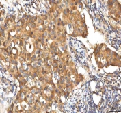
IHC staining of FFPE human thyroid papillary carcinoma tissue with EIF3B antibody. HIER: boil tissue sections in pH8 EDTA for 20 min and allow to cool before testing.
IHC staining of FFPE human breast cancer tissue with EIF3B antibody. HIER: boil tissue sections in pH8 EDTA for 20 min and allow to cool before testing.
IHC staining of FFPE human liver cancer tissue with EIF3B antibody. HIER: boil tissue sections in pH8 EDTA for 20 min and allow to cool before testing.
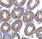
IHC staining of FFPE mouse testis tissue with EIF3B antibody. HIER: boil tissue sections in pH8 EDTA for 20 min and allow to cool before testing.
IHC staining of FFPE rat testis tissue with EIF3B antibody. HIER: boil tissue sections in pH8 EDTA for 20 min and allow to cool before testing.
Immunofluorescent staining of FFPE human SiHa cells with EIF3B antibody (green) and DAPI nuclear stain (blue). HIER: steam section in pH6 citrate buffer for 20 min.
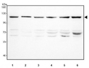
Western blot testing of human 1) 293T, 2) Jurkat, 3) HeLa, 4) Caco-2, 5) MCF7 and 6) K562 cell lysate with EIF3B antibody. Expected molecular weight ~116 kDa.
Flow cytometry testing of fixed and permeabilized human Caco-2 cells with EIF3B antibody at 1ug/million cells (blocked with goat sera); Red=cells alone, Green=isotype control, Blue= EIF3B antibody.
Availability 1-3 days
Species Reactivity Human, Mouse, Rat
Format Antigen affinity purified
Host Rabbit
Clonality Polyclonal (rabbit origin)
Isotype Rabbit IgG
Purity Antigen affinity chromatography
Buffer Lyophilized from 1X PBS with 2% Trehalose
UniProt P55884
Localization Cytoplasm
Applications Western Blot : 1-2ug/ml
Immunohistochemistry (FFPE) : 2-5ug/ml
Immunofluorescence : 5ug/ml
Flow Cytometry : 1-3ug/million cells
ELISA : 0.1-0.5ug/ml
Limitations This EIF3B antibody is available for research use only.
Review this product on BioCompare and get a $20 Amazon gift card

Related Products

Description

EIF3B (Eukaryotic Translation Initiation Factor 3, Subunit B), also called PRT1 or EIF3-p116, is a protein that in humans is encoded by the EIF3B gene. By searching an EST database, Methot et al.(1997) identified a cDNA encoding a human Prt1 homolog. Asano et al.(1997) demonstrated that the 115-kD component of HeLa cell eIF3 is actually composed of 2 proteins, p116 (PRT1) and an unrelated 110-kD protein. Chaudhuri et al.(1997) isolated cDNAs encoding PRT1, which they called p110 based on the size of the corresponding component of rabbit eIF3.

Application Notes

Optimal dilution of the EIF3B antibody should be determined by the researcher.

Immunogen

An E.coli-derived human recombinant protein (amino acids Q178-K595) was used as the immunogen for the EIF3B antibody.

Storage

After reconstitution, the EIF3B Antibody can be stored for up to one month at 4oC. For long-term, aliquot and store at -20oC. Avoid repeated freezing and thawing.

Cross
Bulk Quote Request Form
Name*:
Organization*:
Email*:
Phone Number*:
Catalog No.*:
Comments and Specifics(amount, formulation, etc.)*:
Validation code: Captchapackage Image


Can't read the image? click here to refresh.
    *required field

Your bulk quote request has been submitted successfully!

Please contact us if you have any questions.