• Tel: 858.663.9055
  • SeparatorEmail: info@nsjbio.com
  • Tel: 858.663.9055
  • Email: info@nsjbio.com
Home >> Antibodies >> EIF2AK4 Antibody

EIF2AK4 Antibody (RQ5721)

  Catalog No Formulation Size Price (USD)  
Image RQ5721 0.5mg/ml if reconstituted with 0.2ml sterile DI water 100 ug 449
Bulk quote request
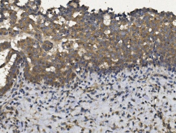
IHC staining of FFPE human breast cancer with EIF2AK4 antibody. HIER: boil tissue sections in pH8 EDTA for 20 min and allow to cool before testing.
Flow cytometry testing of human ThP-1 cells with EIF2AK4 antibody at 1ug/million cells (blocked with goat sera); Red=cells alone, Green=isotype control, Blue= EIF2AK4 antibody.
Western blot testing of 1) human U-87 MG, 2) human HepG2, 3) monkey COS-7, 4) mouse brain, 5) mouse lung and 6) mouse ANA-1 lysate with EIF2AK4 antibody. Predicted molecular weight ~186 kDa.
Availability 1-3 business days
Species Reactivity Human, Mouse, Rat
Format Antigen affinity purified
Host Rabbit
Clonality Polyclonal
Isotype Rabbit IgG
Purity Affinity purified
Buffer Lyophilized from 1X PBS with 2% Trehalose and 0.025% sodium azide
UniProt Q9P2K8
Applications Western Blot : 0.5-1ug/ml
Immunohistochemistry : 1-2ug/ml
Flow Cytometry : 1-3ug/million cells
Direct ELISA : 0.1-0.5ug/ml
Limitations This EIF2AK4 antibody is available for research use only.
Review this product on BioCompare and get a $20 Amazon gift card

Related Products

  • Applications : WB
    Reactivity : Mouse, Rat
  • Applications : WB, IHC, ELISA
    Reactivity : Human

Description

EIF2AK4 (Eukaryotic Translation Initiation Factor 2-Alpha Kinase 4), also called GCN2, is an enzyme that in humans is encoded by the EIF2AK4 gene. EIF2AK4 belongs to a family of kinases that phosphorylate the alpha subunit of eukaryotic translation initiation factor-2 to downregulate protein synthesis in response to varied cellular stresses. Hartz(2005) mapped the EIF2AK4 gene to chromosome 15q15.1 based on an alignment of the EIF2AK4 sequence with the genomic sequence. Berlanga et al.(1999) demonstrated that Gcn2 immunopurified from mouse liver extracts could phosphorylate rabbit Eif2 in vitro. Serum starvation increased the level of phosphorylated EIF2-alpha more than 2-fold in human embryonic kidney cells transfected with mouse Eif2ak4. Costa-Mattioli et al.(2005) reported a unique feature of hippocampal slices from Gcn2-null mice: in CA1, a single 100-Hz train induced a strong and sustained long-term potentiation(late LTP or L-LTP), which was dependent on transcription and translation.

Application Notes

Optimal dilution of the EIF2AK4 antibody should be determined by the researcher.

Immunogen

Recombinant human protein (amino acids Q23-K440) was used as the immunogen for the EIF2AK4 antibody.

Storage

After reconstitution, the EIF2AK4 antibody can be stored for up to one month at 4oC. For long-term, aliquot and store at -20oC. Avoid repeated freezing and thawing.

Cross
Bulk Quote Request Form
Name*:
Organization*:
Email*:
Phone Number*:
Catalog No.*:
Comments and Specifics(amount, formulation, etc.)*:
Validation code: Captchapackage Image


Can't read the image? click here to refresh.
    *required field

Your bulk quote request has been submitted successfully!

Please contact us if you have any questions.