• Tel: 858.663.9055
  • SeparatorEmail: info@nsjbio.com
  • Tel: 858.663.9055
  • Email: info@nsjbio.com
Home >> Antibodies >> EIF2A Antibody / Non-Canonical Translation Initiation and Stress Adaptation Marker

EIF2A Antibody / Non-Canonical Translation Initiation and Stress Adaptation Marker (FY13068)

  Catalog No Formulation Size Price (USD)  
Image FY13068 Adding 0.2 ml of distilled water will yield a concentration of 500 ug/ml 100 ug 449
Bulk quote request
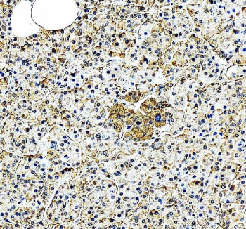
EIF2A Antibody Pancreas IHC. Immunohistochemistry analysis of FFPE human pancreas tissue stained with EIF2A antibody detecting Eukaryotic initiation factor 2A. Cytoplasmic staining is observed in pancreatic cells with moderate intensity and a granular distribution, consistent with EIF2A localization in ribosome-associated translation machinery and involvement in non-canonical protein synthesis. The staining highlights both exocrine and endocrine cellular compartments, with nuclei counterstained blue. HIER: heat-mediated antigen retrieval in pH 8 EDTA buffer.
EIF2A Antibody Multi-Sample WB. Western blot analysis of human and rat samples using EIF2A antibody detecting Eukaryotic initiation factor 2A. Lane 1: human Caco-2 whole cell lysate, Lane 2: human K562 whole cell lysate, Lane 3: human U251 whole cell lysate, Lane 4: rat PC-12 cell lysate. A band is detected at approximately 65 kDa in all samples, consistent with the predicted molecular weight of EIF2A. Signal intensity is relatively consistent across cell lines, supporting broad expression of this non-canonical translation initiation factor.
EIF2A Antibody Caco-2 FACS. Flow cytometry analysis of human Caco-2 cells stained with EIF2A antibody detecting Eukaryotic initiation factor 2A. The antibody signal (blue) shows a clear rightward shift compared to the isotype control (green) and blank control (red), indicating positive intracellular detection of EIF2A following fixation and permeabilization. This pattern is consistent with EIF2A as a cytoplasmic translation initiation factor involved in non-canonical protein synthesis and stress adaptation pathways.
Availability 1-2 days
Species Reactivity Human, Rat
Format Lyophilized
Host Rabbit
Clonality Polyclonal (rabbit origin)
Isotype Rabbit IgG
Purity Immunogen affinity purified
Buffer Each vial contains 4 mg Trehalose, 0.9 mg NaCl, 0.2 mg Na2HPO4.
UniProt Q9BY44
Localization Cytoplasm
Applications Western Blot : 0.25-0.5ug/ml
Immunohistochemistry : 2-5ug/ml
Flow Cytometry : 1-3ug/million cells
ELISA : 0.1-0.5ug/ml
Limitations This EIF2A Antibody / Non-Canonical Translation Initiation and Stress Adaptation Marker is available for research use only.
Review this product on BioCompare and get a $20 Amazon gift card

Related Products

Description

Eukaryotic initiation factor 2A (EIF2A) is a specialized translation initiation factor that functions in non-canonical protein synthesis pathways, particularly under conditions where classical cap-dependent translation is impaired. EIF2A Antibody is used to detect this protein, which supports alternative mechanisms of translation initiation and contributes to cellular adaptation during stress. Importantly, EIF2A is distinct from EIF2S1 (eIF2 alpha), a component of the canonical eIF2 complex, and operates through separate molecular mechanisms.

Under normal conditions, protein synthesis is primarily mediated by the eIF2 complex, which delivers initiator methionyl-tRNA to the ribosome in a GTP-dependent manner. During cellular stress, EIF2S1 is phosphorylated, leading to inhibition of this pathway and a reduction in global protein synthesis. EIF2A provides an alternative mechanism that bypasses this inhibition, allowing selective translation of specific mRNAs even when canonical initiation is suppressed. This function is critical for maintaining expression of proteins required for stress response, survival, and adaptation.

EIF2A has been shown to facilitate translation initiation at non-AUG start codons and to support synthesis of proteins involved in regulatory and stress-related pathways. Its activity is particularly relevant in conditions such as endoplasmic reticulum stress, viral infection, and nutrient deprivation, where cells must reprogram protein synthesis to adapt to environmental challenges. Through these mechanisms, EIF2A contributes to fine-tuning of gene expression under conditions where global translation is restricted.

Subcellularly, EIF2A is predominantly localized in the cytoplasm, where it associates with ribosomes and translation machinery. Immunofluorescence studies typically reveal diffuse cytoplasmic staining, sometimes with enrichment in perinuclear regions or areas of active protein synthesis. Its localization may shift under stress conditions, reflecting its involvement in selective translation and adaptive cellular responses.

Unlike EIF2S1, which regulates global translation rates through phosphorylation-dependent inhibition, EIF2A functions as a complementary factor that sustains protein synthesis under restrictive conditions. Detection of EIF2A therefore provides insight into alternative translation pathways and cellular resilience mechanisms. This distinction is important for interpreting experimental results, particularly in studies examining stress signaling and translational control.

EIF2A expression has been observed across a range of tissues and cell types, consistent with its role in maintaining adaptive protein synthesis. Dysregulation of EIF2A-mediated translation has been implicated in cancer and stress-associated signaling pathways, where selective protein production can support tumor survival and progression. These features support the use of an EIF2A Antibody in studies of non-canonical translation initiation, stress adaptation, and regulation of protein synthesis under challenging cellular conditions.

The use of an EIF2A Antibody enables investigation of alternative translation initiation mechanisms that operate independently of the canonical eIF2 complex. Its detection provides valuable insight into translational reprogramming, cellular stress responses, and the balance between global translational repression and selective protein synthesis.

This antibody is part of a broader antibody panel offered by NSJ Bioreagents.

Application Notes

Optimal dilution of the EIF2A Antibody / Non-Canonical Translation Initiation and Stress Adaptation Markery should be determined by the researcher.

Immunogen

E.coli-derived human EIF2A recombinant protein (Position: H24-I585) was used as the immunogen for the EIF2A antibody.

Storage

After reconstitution, the EIF2A antibody can be stored for up to one month at 4oC. For long-term, aliquot and store at -20oC. Avoid repeated freezing and thawing.

Alternate Names

EIF2A antibody, Eukaryotic initiation factor 2A antibody, eIF2A protein antibody, Alternative initiation factor EIF2A antibody, EIF2A translation factor antibody

Cross
Bulk Quote Request Form
Name*:
Organization*:
Email*:
Phone Number*:
Catalog No.*:
Comments and Specifics(amount, formulation, etc.)*:
Validation code: Captchapackage Image


Can't read the image? click here to refresh.
    *required field

Your bulk quote request has been submitted successfully!

Please contact us if you have any questions.