• Tel: 858.663.9055
  • SeparatorEmail: info@nsjbio.com
  • Tel: 858.663.9055
  • Email: info@nsjbio.com
Home >> Antibodies >> EHHADH Antibody / L-bifunctional protein / LBP

EHHADH Antibody / L-bifunctional protein / LBP (F54986)

  Catalog No Formulation Size Price (USD)  
Image F54986-0.4ML In 1X PBS, pH 7.4, with 0.09% sodium azide 0.4 ml 439
Image
F54986-0.08ML In 1X PBS, pH 7.4, with 0.09% sodium azide 0.08 ml 205
Bulk quote request
Western blot testing of 1) mouse kidney, 2) rat kidney and 3) rat liver tissue lysate with EHHADH antibody. Predicted molecular weight ~79 kDa.
Western blot testing of mouse 1) liver and 2) kidney tissue lysate with EHHADH antibody. Predicted molecular weight ~79 kDa.
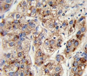
IHC testing of FFPE human hepatocellular carcinoma tissue with EHHADH antibody. HIER: steam section in pH6 citrate buffer for 20 min and allow to cool prior to staining.
Flow cytometry testing of human HepG2 cells with EHHADH antibody; Blue=isotype control, Green= EHHADH antibody.
Availability 1-3 business days
Species Reactivity Human, Mouse, Rat
Format Purified
Host Rabbit
Clonality Polyclonal (rabbit origin)
Isotype Rabbit Ig
Purity Antigen affinity purified
UniProt Q08426
Localization Cytoplasmic (peroxisome)
Applications Western Blot : 1:500-1:1000
Flow Cytometry : 1:10-1:50 (1x10e6 cells)
Immunohistochemistry (FFPE) : 1:10-1:50
Limitations This EHHADH antibody is available for research use only.
Review this product on BioCompare and get a $20 Amazon gift card

Related Products

Description

EHHADH is a bifunctional enzyme and is one of the four enzymes of the peroxisomal beta-oxidation pathway. The N-terminal region of the encoded protein contains enoyl-CoA hydratase activity while the C-terminal region contains 3-hydroxyacyl-CoA dehydrogenase activity.

Application Notes

The stated application concentrations are suggested starting points. Titration of the EHHADH antibody may be required due to differences in protocols and secondary/substrate sensitivity.

Immunogen

A portion of amino acids 662-690 from the human protein was used as the immunogen for the EHHADH protein antibody.

Storage

Aliquot the EHHADH antibody and store frozen at -20oC or colder. Avoid repeated freeze-thaw cycles.

Cross
Bulk Quote Request Form
Name*:
Organization*:
Email*:
Phone Number*:
Catalog No.*:
Comments and Specifics(amount, formulation, etc.)*:
Validation code: Captchapackage Image


Can't read the image? click here to refresh.
    *required field

Your bulk quote request has been submitted successfully!

Please contact us if you have any questions.