• Tel: 858.663.9055
  • SeparatorEmail: info@nsjbio.com
  • Tel: 858.663.9055
  • Email: info@nsjbio.com
Home >> Antibodies >> EGFR Antibody

EGFR Antibody [clone AEF-5] (RQ4838)

  Catalog No Formulation Size Price (USD)  
Image RQ4838 Antibody in PBS with 0.02% sodium azide, 50% glycerol and 0.4-0.5mg/ml BSA 100 ul 449
Microvalidated Rab Mono Image
Bulk quote request
EGFR Antibody WB. Western blot testing of human HeLa cell lysate with EGFR antibody. Expected molecular weight: 134-170 kDa depending on glycosylation level.
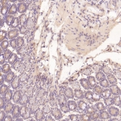
EGFR Antibody Stomach Cancer IHC. Immunohistochemistry staining of FFPE human stomach cancer with EGFR antibody. HIER: boil tissue sections in pH6, 10mM citrate buffer, for 10-20 min and allow to cool before testing.
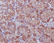
EGFR Antibody Thyroid Cancer IHC. Immunohistochemistry staining of FFPE human thyroid cancer with EGFR antibody. HIER: boil tissue sections in pH6, 10mM citrate buffer, for 10-20 min and allow to cool before testing.
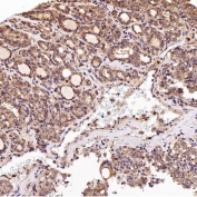
EGFR Antibody Rat Stomach IHC. Immunohistochemistry staining of FFPE rat stomach tissue with EGFR antibody. HIER: boil tissue sections in pH6, 10mM citrate buffer, for 10-20 min and allow to cool before testing.
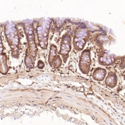
EGFR Antibody Mouse Intestine IHC. Immunohistochemistry staining of FFPE mouse intestine tissue with EGFR antibody. HIER: boil tissue sections in pH6, 10mM citrate buffer, for 10-20 min and allow to cool before testing.
EGFR Antibody HeLa IF. Immunofluorescent staining of FFPE human HeLa cells with EGFR antibody at 1:50 dilution (green) and DAPI nuclear stain (blue). HIER: steam section in pH6 citrate buffer for 20 min.
EGFR Antibody FFPE HeLa Cell IF. Immunofluorescent staining of FFPE human HeLa cells with EGFR antibody at 1:150 dilution (green) and DAPI nuclear stain (blue). HIER: steam section in pH6 citrate buffer for 20 min.
EGFR Antibody Human HeLa Cell IF. Immunofluorescent staining of FFPE human HeLa cells with EGFR antibody at 1:1500 dilution (green) and DAPI nuclear stain (blue). HIER: steam section in pH6 citrate buffer for 20 min.
EGFR Antibody Multi-Sample WB. Western blot analysis of human and rodent lysates using EGFR antibody detecting Epidermal growth factor receptor. Lane 1: HeLa, Lane 2: A431, Lane 3: A549, Lane 4: U-87 MG, Lane 5: rat liver, Lane 6: mouse liver. A prominent band is observed at approximately 140-170 kDa, consistent with the predicted molecular weight of EGFR and its known glycosylation. Signal intensity is highest in A431 cells, reflecting elevated EGFR expression. Additional lower molecular weight bands and background signal are present, which may represent degradation products or non-specific binding.
Availability 1-2 weeks
Species Reactivity Human, Mouse, Rat
Format Purified
Host Rabbit
Clonality Rabbit Monoclonal
Isotype Rabbit IgG
Clone Name AEF-5
Purity Affinity purified
UniProt P00533
Localization Cytoplasmic
Applications Western Blot : 1:5000-1:10000
Immunohistochemistry (FFPE) : 1:50-1:200
Immunofluorescence : 1:50-1:200
Limitations This EGFR antibody is available for research use only.
Review this product on BioCompare and get a $20 Amazon gift card

Description

EGFR Antibody detects EGF Receptor protein, a receptor tyrosine kinase. It is a receptor for epidermal growth factor (EGF) and related growth factors including TGF-alpha, amphiregulin, betacellulin, heparin-binding EGF-like growth factor, GP30 and vaccinia virus growth factor. EGFR is involved in the control of cell growth and differentiation.

Explore our EGFR Antibody (31G7) page for a broader view of EGFR expression and extensively validated antibody performance across applications.

Application Notes

Optimal dilution of the EGFR antibody should be determined by the researcher.

Immunogen

A synthetic peptide specific to human EGFR was used as the immunogen for the EGFR antibody.

Storage

Store the EGFR antibody at -20oC.

Cross
Bulk Quote Request Form
Name*:
Organization*:
Email*:
Phone Number*:
Catalog No.*:
Comments and Specifics(amount, formulation, etc.)*:
Validation code: Captchapackage Image


Can't read the image? click here to refresh.
    *required field

Your bulk quote request has been submitted successfully!

Please contact us if you have any questions.