• Tel: 858.663.9055
  • SeparatorEmail: info@nsjbio.com
  • Tel: 858.663.9055
  • Email: info@nsjbio.com
Home >> Antibodies >> EGF Receptor Antibody

EGF Receptor Antibody [clone 688CT33.1.3] (F40405)

  Catalog No Formulation Size Price (USD)  
Image F40405-0.4ML In 1X PBS, pH 7.4, with 0.09% sodium azide 0.4 ml 439
Image
F40405-0.08ML In 1X PBS, pH 7.4, with 0.09% sodium azide 0.08 ml 205
Bulk quote request
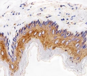
EGF Receptor Antibody Esophagus IHC. Immunohistochemical analysis of paraffin-embedded human esophagus using EGF Receptor antibody at 1:25 dilution.
EGF Receptor Antibody Stomach IHC. Immunohistochemical analysis of paraffin-embedded human stomach using EGF Receptor antibody at 1:25 dilution.
EGF Receptor Antibody Mouse Esophagus IHC. Immunohistochemical analysis of paraffin-embedded mouse esophagus using EGF Receptor antibody at 1:25 dilution.
EGF Receptor Antibody Rat Esophagus IHC. Immunohistochemical analysis of paraffin-embedded rat esophagus using EGF Receptor antibody at 1:25 dilution.
Western blot analysis of lysate from A431, MCF-7 cell line (left to right) using EGF Receptor antibody at 1:1000 for each lane. Expected molecular weight: ~134/170 kDa (unmodified/glycosylated).
EGF Receptor antibody western blot analysis in HeLa lysate. Expected molecular weight: ~134/170 kDa (unmodified/glycosylated).
Availability 1-3 business days
Species Reactivity Human
Format Purified
Host Mouse
Clonality Monoclonal (mouse origin)
Isotype Mouse IgG1
Clone Name 688CT33.1.3
Purity Purified
UniProt P00533
Localization Cytoplasmic, membranous
Applications IHC (Paraffin) : 1:25
Western Blot : 1:1000
Limitations This EGF Receptor antibody is available for research use only.
Review this product on BioCompare and get a $20 Amazon gift card

Related Products

Description

The protein encoded by this gene is a transmembrane glycoprotein that is a member of the protein kinase superfamily. This protein is a receptor for members of the epidermal growth factor family. EGFR is a cell surface protein that binds to epidermal growth factor. Binding of the protein to a ligand induces receptor dimerization and tyrosine autophosphorylation and leads to cell proliferation. Mutations in this gene are associated with lung cancer. Multiple alternatively spliced transcript variants that encode different protein isoforms have been found for this gene.

Explore our EGFR Antibody (31G7) page for a broader view of EGFR expression and extensively validated antibody performance across applications.

Application Notes

Titration of the EGF Receptor antibody may be required due to differences in protocols and secondary/substrate sensitivity.

Immunogen

A portion of amino acids 1163-1191 from the human protein was used as the immunogen for this EGF Receptor antibody.

Storage

Aliquot the EGF Receptor antibody and store frozen at -20oC or colder. Avoid repeated freeze-thaw cycles.

Cross
Bulk Quote Request Form
Name*:
Organization*:
Email*:
Phone Number*:
Catalog No.*:
Comments and Specifics(amount, formulation, etc.)*:
Validation code: Captchapackage Image


Can't read the image? click here to refresh.
    *required field

Your bulk quote request has been submitted successfully!

Please contact us if you have any questions.