• Tel: 858.663.9055
  • SeparatorEmail: info@nsjbio.com
  • Tel: 858.663.9055
  • Email: info@nsjbio.com
Home >> Antibodies >> EFHD2 Antibody

EFHD2 Antibody (R33202)

  Catalog No Formulation Size Price (USD)  
Image R33202-100UG 0.5 mg/ml in 1X TBS, pH7.3, with 0.5% BSA (US sourced) and 0.02% sodium azide 100 ug 475
Bulk quote request
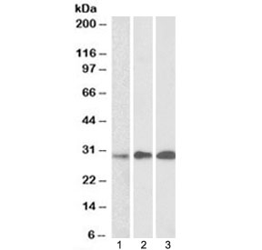
Western blot testing of human 1) thymus, 2) lymph node and 3) tonsil lysates with EFHD2 antibody at 0.5ug/ml. Predicted molecular weight: ~27 kDa.
Availability 1-3 business days
Species Reactivity Human
Predicted Reactivity Mouse, Rat, Dog, Cow
Format Antigen affinity purified
Host Goat
Clonality Polyclonal (goat origin)
Isotype Goat Ig
Purity Antigen affinity
Gene ID 79180
Applications Western Blot : 0.5-1.5ug/ml
ELISA (peptide) LOD : 1:128000
Limitations This EFHD2 antibody is available for research use only.
Review this product on BioCompare and get a $20 Amazon gift card

Description

Additional name(s) for this target protein: EF hand domain containing 2

Application Notes

Optimal dilution of the EFHD2 antibody should be determined by the researcher.

1. This EFHD2 antibody will not cross-react with mouse EFHD1.

Immunogen

Amino acids CAAFKELQSTFK were used as the immunogen for this EFHD2 antibody.

Storage

Aliquot and store the EFHD2 antibody at -20oC.

Cross
Bulk Quote Request Form
Name*:
Organization*:
Email*:
Phone Number*:
Catalog No.*:
Comments and Specifics(amount, formulation, etc.)*:
Validation code: Captchapackage Image


Can't read the image? click here to refresh.
    *required field

Your bulk quote request has been submitted successfully!

Please contact us if you have any questions.