• Tel: 858.663.9055
  • SeparatorEmail: info@nsjbio.com
  • Tel: 858.663.9055
  • Email: info@nsjbio.com
Home >> Antibodies >> EFEMP1 Antibody / Fibulin 3

EFEMP1 Antibody / Fibulin 3 (F55016)

  Catalog No Formulation Size Price (USD)  
Image F55016-0.4ML In 1X PBS, pH 7.4, with 0.09% sodium azide 0.4 ml 439
Image
F55016-0.08ML In 1X PBS, pH 7.4, with 0.09% sodium azide 0.08 ml 205
Bulk quote request
Western blot testing of human 1) A431 and 2) HUVEC lysate with EFEMP1 antibody. Predicted molecular weight ~54 kDa.
Western blot testing of mouse lung tissue lysate with EFEMP1 antibody. Predicted molecular weight ~54 kDa.
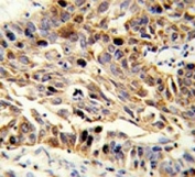
IHC testing of FFPE human lung carcinoma tissue with EFEMP1 antibody. HIER: steam section in pH6 citrate buffer for 20 min and allow to cool prior to staining.
Flow cytometry testing of human NCI-H460 cells with EFEMP1 antibody; Blue=isotype control, Green= EFEMP1 antibody.
Availability 1-3 business days
Species Reactivity Human, Mouse
Format Purified
Host Rabbit
Clonality Polyclonal (rabbit origin)
Isotype Rabbit Ig
Purity Antigen affinity purified
UniProt Q12805
Applications Flow Cytometry : 1:10-1:50 (1x10e6 cells)
Immunohistochemistry (FFPE) : 1:50-1:100
Western Blot : 1:500-1:1000
Limitations This EFEMP1 antibody is available for research use only.
Review this product on BioCompare and get a $20 Amazon gift card

Description

EFEMP1 encodes a member of the fibulin family of extracellular matrix glycoproteins. Like all members of this family, EGF-containing fibulin-like extracellular matrix protein 1 contains tandemly repeated epidermal growth factor-like repeats followed by a C-terminus fibulin-type domain. This gene is upregulated in malignant gliomas and may play a role in the aggressive nature of these tumors.

Application Notes

The stated application concentrations are suggested starting points. Titration of the EFEMP1 antibody may be required due to differences in protocols and secondary/substrate sensitivity.

Immunogen

A portion of amino acids 119-148 from the human protein was used as the immunogen for the EFEMP1 antibody.

Storage

Aliquot the EFEMP1 antibody and store frozen at -20oC or colder. Avoid repeated freeze-thaw cycles.

Cross
Bulk Quote Request Form
Name*:
Organization*:
Email*:
Phone Number*:
Catalog No.*:
Comments and Specifics(amount, formulation, etc.)*:
Validation code: Captchapackage Image


Can't read the image? click here to refresh.
    *required field

Your bulk quote request has been submitted successfully!

Please contact us if you have any questions.