• Tel: 858.663.9055
  • SeparatorEmail: info@nsjbio.com
  • Tel: 858.663.9055
  • Email: info@nsjbio.com
Home >> Antibodies >> EF-Tu Antibody / TUFM

EF-Tu Antibody / TUFM (RQ7597)

  Catalog No Formulation Size Price (USD)  
Image RQ7597 0.5mg/ml if reconstituted with 0.2ml sterile DI water 100 ug 449
Bulk quote request
Immunofluorescent staining of FFPE human HeLa cells with EF-Tu antibody (red) and DAPI nuclear stain (blue). HIER: steam section in pH6 citrate buffer for 20 min.
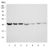
Western blot testing of 1) human HepG2, 2) human Daudi, 3) human 293T, 4) human MCF7, 5) rat brain, 6) mouse brain and 7) mouse spleen tissue lysate with EF-Tu antibody. Expected molecular weight: 43-46 kDa.
Availability 1-3 business days
Species Reactivity Human, Mouse, Rat
Format Antigen affinity purified
Host Rabbit
Clonality Polyclonal (rabbit origin)
Isotype Rabbit IgG
Purity Antigen affinity purified
Buffer Lyophilized from 1X PBS with 2% Trehalose
UniProt P49411
Applications Western Blot : 0.5-1ug/ml
Immunofluorescence : 5ug/ml
Direct ELISA : 0.1-0.5ug/ml
Limitations This EF-Tu antibody is available for research use only.
Review this product on BioCompare and get a $20 Amazon gift card

Related Products

  • Applications : WB, FACS, IHC-P
    Reactivity : Human

Description

Elongation factor Tu, mitochondrial is a protein that in humans is encoded by the TUFM gene. It is an EF-Tu homolog. This gene encodes a protein which participates in protein translation in mitochondria. Mutations in this gene have been associated with combined oxidative phosphorylation deficiency resulting in lactic acidosis and fatal encephalopathy. A pseudogene has been identified on chromosome 17.

Application Notes

Optimal dilution of the EF-Tu antibody should be determined by the researcher.

Immunogen

E. coli-derived recombinant human protein (amino acids R8-R271) was used as the immunogen for the EF-Tu antibody.

Storage

After reconstitution, the EF-Tu antibody can be stored for up to one month at 4oC. For long-term, aliquot and store at -20oC. Avoid repeated freezing and thawing.

Cross
Bulk Quote Request Form
Name*:
Organization*:
Email*:
Phone Number*:
Catalog No.*:
Comments and Specifics(amount, formulation, etc.)*:
Validation code: Captchapackage Image


Can't read the image? click here to refresh.
    *required field

Your bulk quote request has been submitted successfully!

Please contact us if you have any questions.