• Tel: 858.663.9055
  • SeparatorEmail: info@nsjbio.com
  • Tel: 858.663.9055
  • Email: info@nsjbio.com
Home >> Antibodies >> EEF1A1/2 Antibody

EEF1A1/2 Antibody (F54865)

  Catalog No Formulation Size Price (USD)  
Image F54865-0.4ML In 1X PBS, pH 7.4, with 0.09% sodium azide 0.4 ml 439
Image
F54865-0.08ML In 1X PBS, pH 7.4, with 0.09% sodium azide 0.08 ml 205
Bulk quote request
Western blot testing of human MCF7 cell lysate with EEF1A1/2 antibody. Predicted molecular weight ~50 kDa.
Immunofluorescent staining of human MCF7 cells with EEF1A1/2 antibody (green) and DAPI nuclear stain (blue).
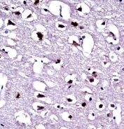
IHC testing of FFPE human brain tissue with EEF1A1/2 antibody. HIER: steam section in pH6 citrate buffer for 20 min and allow to cool prior to staining.
Flow cytometry testing of human NCI-H292 cells with EEF1A1/2 antibody; Blue=isotype control, Green= EEF1A1/2 antibody.
Availability 1-3 business days
Species Reactivity Human
Format Purified
Host Rabbit
Clonality Polyclonal (rabbit origin)
Isotype Rabbit Ig
Purity Purified
UniProt P68104
Localization Cytoplasmic, nuclear
Applications Flow Cytometry : 1:10-1:50 (1x10e6 cells)
Immunofluorescence : 1:10-1:50
Immunohistochemistry (FFPE) : 1:10-1:50
Western Blot : 1:500-1:1000
Limitations This EEF1A1/2 antibody is available for research use only.
Review this product on BioCompare and get a $20 Amazon gift card

Related Products

  • Applications : FACS, WB, IHC-P
    Reactivity : Human

Description

EEF1A1 is an isoform of the alpha subunit of the elongation factor-1 complex, which is responsible for the enzymatic delivery of aminoacyl tRNAs to the ribosome. This isoform (alpha 1) is expressed in brain, placenta, lung, liver, kidney, and pancreas, and the other isoform (alpha 2) is expressed in brain, heart and skeletal muscle. This isoform is identified as an autoantigen in 66% of patients with Felty syndrome.

Application Notes

The stated application concentrations are suggested starting points. Titration of the EEF1A1/2 antibody may be required due to differences in protocols and secondary/substrate sensitivity.

Immunogen

A portion of amino acids 361-389 from the human EEF1A1 protein was used as the immunogen for the EEF1A1/2 antibody.

Storage

Aliquot the EEF1A1/2 antibody and store frozen at -20oC or colder. Avoid repeated freeze-thaw cycles.

Cross
Bulk Quote Request Form
Name*:
Organization*:
Email*:
Phone Number*:
Catalog No.*:
Comments and Specifics(amount, formulation, etc.)*:
Validation code: Captchapackage Image


Can't read the image? click here to refresh.
    *required field

Your bulk quote request has been submitted successfully!

Please contact us if you have any questions.