• Tel: 858.663.9055
  • SeparatorEmail: info@nsjbio.com
  • Tel: 858.663.9055
  • Email: info@nsjbio.com
Home >> Antibodies >> EEA1 Antibody / Early endosome antigen 1

EEA1 Antibody / Early endosome antigen 1 [clone ECH-5] (FY13413)

  Catalog No Formulation Size Price (USD)  
Image FY13413 Rabbit IgG in phosphate buffered saline, pH 7.4, 150mM NaCl, 0.02% sodium azide and 50% glycerol, 0.4-0.5mg/ml BSA 100 ul 449
Microvalidated Recrabbitmono
Bulk quote request
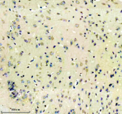
Immunohistochemical staining of FFPE rat brain tissue with EEA1 antibody, HRP-secondary and DAB substrate. HIER: boil tissue sections in pH8 EDTA for 20 min and allow to cool before testing.
Immunohistochemical staining of FFPE rat brain tissue with EEA1 antibody, HRP-secondary and DAB substrate. HIER: boil tissue sections in pH8 EDTA for 20 min and allow to cool before testing.
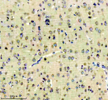
Immunohistochemical staining of FFPE mouse brain tissue with EEA1 antibody, HRP-secondary and DAB substrate. HIER: boil tissue sections in pH8 EDTA for 20 min and allow to cool before testing.
Immunohistochemical staining of FFPE mouse brain tissue with EEA1 antibody, HRP-secondary and DAB substrate. HIER: boil tissue sections in pH8 EDTA for 20 min and allow to cool before testing.
Western blot analysis of EEA1 expression in HeLa, 293T, rat brain, rat C6, mouse brain, and mouse NIH/3T3 lysates using EEA1 antibody. A specific band is detected at approximately 162 kDa, corresponding to the predicted molecular weight of Early endosome antigen 1.
Availability 1-2 days
Species Reactivity Human, Mouse, Rat
Format Liquid
Host Rabbit
Clonality Recombinant Rabbit Monoclonal
Isotype Rabbit IgG
Clone Name ECH-5
Purity Affinity chromatography
Buffer Rabbit IgG in phosphate buffered saline, pH 7.4, 150mM NaCl, 0.02% sodium azide and 50% glycerol, 0.4-0.5mg/ml BSA.
UniProt Q15075
Localization Cytoplasm
Applications Western Blot : 1:500-1:2000
Immunohistochemistry : 1:50-1:200
Limitations This EEA1 antibody is available for research use only.
Review this product on BioCompare and get a $20 Amazon gift card

Related Products

Description

EEA1 antibody targets Early endosome antigen 1 (EEA1), a cytoplasmic protein that serves as a key marker and functional regulator of early endosomes within the endocytic pathway. EEA1 localizes predominantly to early endosomal membranes, where it participates in vesicle tethering and fusion events that govern intracellular trafficking. The protein contains characteristic domains, including a FYVE zinc finger domain that binds phosphatidylinositol 3-phosphate, enabling selective association with early endosome membranes enriched in this lipid. Through this localization, EEA1 helps define early endosomal identity and organization.

Functionally, EEA1 plays a central role in coordinating endocytic vesicle docking and homotypic fusion of early endosomes. By interacting with Rab5 and phosphoinositide lipids, EEA1 acts as a molecular tether that brings vesicles into proximity prior to membrane fusion. This process is essential for efficient sorting of internalized receptors, ligands, and membrane components. Proper EEA1 function ensures that cargo entering the cell through endocytosis is accurately directed toward recycling pathways or downstream trafficking compartments. An EEA1 antibody supports studies examining membrane trafficking and endosomal dynamics.

EEA1 expression is broadly observed across many cell types, reflecting the universal requirement for endocytosis in cellular homeostasis. The punctate cytoplasmic staining pattern associated with EEA1 corresponds to early endosomal structures and is frequently used as a reference marker in imaging studies. Analysis of EEA1 distribution and abundance provides insight into changes in endosomal organization that occur during receptor activation, signaling events, or cellular stress. Because early endosomes function as important signaling hubs, EEA1 is also relevant in studies linking trafficking to signal transduction.

From a biological and disease-relevance perspective, alterations in endocytic trafficking have been implicated in cancer, neurodegenerative disorders, and infectious disease processes. Dysregulation of early endosome function can impact receptor signaling duration, nutrient uptake, and pathogen entry. EEA1 is therefore commonly examined in studies investigating defects in intracellular transport, endosomal maturation, and membrane organization under pathological conditions. Monitoring EEA1 helps clarify how disruptions in early endosome biology contribute to disease-associated cellular phenotypes.

At the molecular level, EEA1 is encoded by the EEA1 gene and produces a large coiled-coil protein of approximately 180 kDa. The protein architecture supports long-range tethering interactions between membranes and recruitment of additional trafficking factors. EEA1 activity is regulated by lipid composition, small GTPase interactions, and cellular signaling state. An EEA1 antibody supports research applications focused on endocytosis, vesicle trafficking, and intracellular membrane dynamics, with NSJ Bioreagents providing reagents intended for research use.

Application Notes

Optimal dilution of the EEA1 antibody should be determined by the researcher.

Immunogen

A synthesized peptide derived from human Early endosome antigen 1 protein was used as the immunogen for the EEA1 antibody.

Storage

Store the EEA1 antibody at -20oC.

Cross
Bulk Quote Request Form
Name*:
Organization*:
Email*:
Phone Number*:
Catalog No.*:
Comments and Specifics(amount, formulation, etc.)*:
Validation code: Captchapackage Image


Can't read the image? click here to refresh.
    *required field

Your bulk quote request has been submitted successfully!

Please contact us if you have any questions.