• Tel: 858.663.9055
  • SeparatorEmail: info@nsjbio.com
  • Tel: 858.663.9055
  • Email: info@nsjbio.com
Home >> Antibodies >> EDEM3 Antibody

EDEM3 Antibody (RQ6618)

  Catalog No Formulation Size Price (USD)  
Image RQ6618 0.5mg/ml if reconstituted with 0.2ml sterile DI water 100 ug 449
Bulk quote request
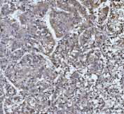
IHC staining of FFPE human appendiceal adenocarcinoma tissue with EDEM3 antibody. HIER: boil tissue sections in pH8 EDTA for 20 min and allow to cool before testing.
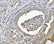
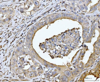
IHC staining of FFPE human liver cancer tissue with EDEM3 antibody. HIER: boil tissue sections in pH8 EDTA for 20 min and allow to cool before testing.
Western blot testing of human K562 cell lysate with EDEM3 antibody. Predicted molecular weight ~105 kDa.
Availability 1-3 business days
Species Reactivity Human
Format Antigen affinity purified
Host Rabbit
Clonality Polyclonal (rabbit origin)
Isotype Rabbit IgG
Purity Antigen affinity purified
Buffer Lyophilized from 1X PBS with 2% Trehalose
UniProt Q9BZQ6
Applications Western Blot : 1-2ug/ml
Immunohistochemistry (FFPE) : 2-5ug/ml
Direct ELISA : 0.1-0.5ug/ml
Limitations This EDEM3 antibody is available for research use only.
Review this product on BioCompare and get a $20 Amazon gift card

Description

ER degradation-enhancing alpha-mannosidase-like 3 is an enzyme that in humans is encoded by the EDEM3 gene. Quality control in the endoplasmic reticulum (ER) ensures that only properly folded proteins are retained in the cell through recognition and degradation of misfolded or unassembled proteins. EDEM3 belongs to a group of proteins that accelerate degradation of misfolded glycoproteins in the ER.

Application Notes

Optimal dilution of the EDEM3 antibody should be determined by the researcher.

Immunogen

Recombinant human protein (amino acids N54-D795) was used as the immunogen for the EDEM3 antibody.

Storage

After reconstitution, the EDEM3 antibody can be stored for up to one month at 4oC. For long-term, aliquot and store at -20oC. Avoid repeated freezing and thawing.

Cross
Bulk Quote Request Form
Name*:
Organization*:
Email*:
Phone Number*:
Catalog No.*:
Comments and Specifics(amount, formulation, etc.)*:
Validation code: Captchapackage Image


Can't read the image? click here to refresh.
    *required field

Your bulk quote request has been submitted successfully!

Please contact us if you have any questions.