• Tel: 858.663.9055
  • SeparatorEmail: info@nsjbio.com
  • Tel: 858.663.9055
  • Email: info@nsjbio.com
Home >> Antibodies >> EBV Antibody Cocktail / Epstein-Barr Virus / LMP-1

EBV Antibody Cocktail / Epstein-Barr Virus / LMP-1 [clone CS1-4] (V8335)

  Catalog No Formulation Size Price (USD)  
Image V8335-100UG 0.2 mg/ml in 1X PBS with 0.1 mg/ml BSA (US sourced) and 0.05% sodium azide 100 ug 559
Image
V8335-20UG 0.2 mg/ml in 1X PBS with 0.1 mg/ml BSA (US sourced) and 0.05% sodium azide 20 ug 259
Image
V8335SAF-100UG 1 mg/ml in 1X PBS; BSA free, sodium azide free 100 ug 559
Bulk quote request
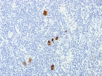
IHC staining of FFPE Hodgkin's Lymphoma with EBV antibody cocktail (clone CS1-4). HIER: boil tissue sections in pH 9 10mM Tris with 1mM EDTA for 10-20 min and allow to cool before testing.
Availability 1-3 business days
Species Reactivity EBV
Format Purified
Host Mouse
Clonality Monoclonal (mouse origin)
Isotype Mouse IgG1, kappa
Clone Name CS1-4
Purity Protein G affinity chromatography
Applications Western Blot : 1-2ug/ml
Immunohistochemistry (FFPE) : 1-2ug/ml
Limitations This EBV antibody cocktail is available for research use only.
Review this product on BioCompare and get a $20 Amazon gift card

Related Products

Description

This antibody cocktail is a mixture of four different monoclonal antibodies (CS1 + CS2 + CS3 + CS4). It is specific to 60kDa latent membrane protein (LMP-1) encoded by the BNLF1 gene of the EBV. Each clone reacts with different epitopes on the hydrophilic C-terminus of the cytoplasmic domain of LMP-1. The cocktail stains strongly with EBV-positive lymphoblastoid cell lines and EBV infected B cell immunoblasts in infectious mononucleosis. EBV, also designated human herpesvirus 4 (HHV-4), is a member of the herpesvirus family and is one of the most common human viruses. EBV infects B cells and, though often asymptomatic, it can cause infectious mononucleosis, a disease characterized by fatigue, fever, sore throat and muscle soreness.

Application Notes

Optimal dilution of the EBV antibody cocktail should be determined by the researcher.

Immunogen

Recombinant fusion protein containing the sequence of bacterial beta-galactosidase and the carboxyl half of EBV-encoded LMP was used as the immunogen for the EBV antibody cocktail.

Storage

Store the EBV antibody cocktail at 2-8oC (with azide) or aliquot and store at -20oC or colder (without azide).

Cross
Bulk Quote Request Form
Name*:
Organization*:
Email*:
Phone Number*:
Catalog No.*:
Comments and Specifics(amount, formulation, etc.)*:
Validation code: Captchapackage Image


Can't read the image? click here to refresh.
    *required field

Your bulk quote request has been submitted successfully!

Please contact us if you have any questions.