• Tel: 858.663.9055
  • SeparatorEmail: info@nsjbio.com
  • Tel: 858.663.9055
  • Email: info@nsjbio.com
Home >> Antibodies >> EBI3 Antibody / Epstein-Barr virus induced 3

EBI3 Antibody / Epstein-Barr virus induced 3 [clone EBI3/8904] (V5599)

  Catalog No Formulation Size Price (USD)  
Image V5599-100UG 0.2 mg/ml in 1X PBS with 0.1 mg/ml BSA (US sourced), 0.05% sodium azide 100 ug 559
Image
V5599-20UG 0.2 mg/ml in 1X PBS with 0.1 mg/ml BSA (US sourced), 0.05% sodium azide 20 ug 259
Image
V5599SAF-100UG 1 mg/ml in 1X PBS; BSA free, sodium azide free 100 ug 559
Bulk quote request
EBI3 Antibody Spleen and Raji WB. Western blot analysis of Epstein-Barr virus-induced gene 3 (EBI3) expression in human spleen and Raji cell lysates using EBI3 antibody clone EBI3/8904. Lane 1: human spleen lysate, Lane 2: Raji cell lysate. A band is detected at approximately 33-35 kDa, consistent with the predicted molecular weight of EBI3, a secreted glycoprotein subunit of interleukin-27 and interleukin-35. The presence of signal in both spleen tissue and B cell-derived Raji cells aligns with the known expression of EBI3 in immune cell populations.
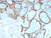
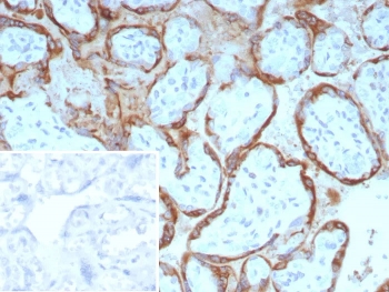
EBI3 Antibody Placental Tissue IHC. Immunohistochemistry staining of FFPE human placental tissue with EBI3 antibody (clone EBI3/8904). Inset: PBS used in place of primary Ab (secondary Ab negative control). HIER: boil tissue sections in pH 9 10mM Tris with 1mM EDTA for 20 min and allow to cool before testing.
SDS-PAGE analysis of purified, BSA-free EBI3 antibody (EBI3/8904) as confirmation of integrity and purity.
Availability 1-3 business days
Species Reactivity Human
Format Purified
Host Mouse
Clonality Monoclonal (mouse origin)
Isotype Mouse IgG2b, kappa
Clone Name EBI3/8904
Purity Protein A/G affinity
UniProt Q14213
Localization Secreted
Applications Immunohistochemistry (FFPE) : 1-2ug/ml
Western Blot : 2-4ug/ml
Limitations This EBI3 antibody is available for research use only.
Review this product on BioCompare and get a $20 Amazon gift card

Related Products

Description

Epstein-Barr virus-induced gene 3 (EBI3) is a secreted glycoprotein that belongs to the interleukin-12 cytokine family and functions as a key subunit of heterodimeric cytokines involved in immune regulation. EBI3 forms complexes with p28 to generate interleukin-27 and with p35 to form interleukin-35, both of which play important roles in modulating innate and adaptive immune responses. EBI3 is primarily expressed in antigen-presenting cells, including dendritic cells, macrophages, and B lymphocytes, as well as in lymphoid tissues such as spleen and lymph node, where it contributes to immune signaling networks.

EBI3 antibody, also referred to as IL-27 beta subunit antibody or interleukin-27 subunit beta antibody in the literature, recognizes a glycosylated protein that is typically localized to the endoplasmic reticulum and secretory pathway prior to release. Due to its role as a cytokine subunit, EBI3 is often detected intracellularly in producing cells and may also be present in extracellular or secreted forms depending on the experimental context. Its expression is induced by inflammatory stimuli and immune activation, making it a useful marker for studying immune responses and cytokine signaling pathways.

Structurally, EBI3 shares homology with the p40 subunit of interleukin-12 and contains domains characteristic of cytokine receptor-like proteins. The protein undergoes post-translational modifications, including glycosylation, which can influence its apparent molecular weight on SDS-PAGE and may result in slight variability in band migration across different cell types and conditions. These features are consistent with its role as a secreted immune mediator that participates in dynamic signaling processes.

Functionally, EBI3 contributes to both pro-inflammatory and anti-inflammatory pathways depending on its binding partner and cellular context. As part of interleukin-27, it can promote early immune activation and regulate T cell differentiation, while as part of interleukin-35 it is associated with immunosuppressive functions, including the expansion of regulatory T cell populations. This dual role highlights the importance of EBI3 in maintaining immune balance and controlling excessive immune responses.

EBI3 expression has been implicated in a range of disease states, including cancer, autoimmune disorders, and chronic inflammatory conditions. Elevated levels of EBI3 and its associated cytokines have been observed in tumor microenvironments, where they may influence immune evasion and tumor progression. In autoimmune diseases, dysregulation of EBI3-containing cytokines can alter immune tolerance and contribute to pathology. These associations make EBI3 an important target for studying immune regulation in both normal physiology and disease.

Clone EBI3/8904 is designed to detect EBI3 with specificity in relevant biological samples, supporting research into cytokine signaling, immune cell activation, and disease-related immune modulation. Its ability to identify EBI3 in lymphoid tissues and immune cell-derived samples makes it a useful tool for investigating the role of this cytokine subunit in diverse immunological contexts.

This antibody is part of a broader antibody panel offered by NSJ Bioreagents.

Application Notes

Optimal dilution of the EBI3 antibody should be determined by the researcher.

Immunogen

A recombinant fragment (within amino acids 366-466) of human EBI3 protein was used as the immunogen for the EBI3 antibody.

Storage

Aliquot the EBI3 antibody and store frozen at -20oC or colder. Avoid repeated freeze-thaw cycles.

Cross
Bulk Quote Request Form
Name*:
Organization*:
Email*:
Phone Number*:
Catalog No.*:
Comments and Specifics(amount, formulation, etc.)*:
Validation code: Captchapackage Image


Can't read the image? click here to refresh.
    *required field

Your bulk quote request has been submitted successfully!

Please contact us if you have any questions.