• Tel: 858.663.9055
  • SeparatorEmail: info@nsjbio.com
  • Tel: 858.663.9055
  • Email: info@nsjbio.com
Home >> Antibodies >> EBAG9 Antibody / RCAS1

EBAG9 Antibody / RCAS1 [clone rEBAG9/7264] (V5262)

  Catalog No Formulation Size Price (USD)  
Image V5262-100UG 0.2 mg/ml in 1X PBS with 0.1 mg/ml BSA (US sourced), 0.05% sodium azide 100 ug 559
Image
V5262-20UG 0.2 mg/ml in 1X PBS with 0.1 mg/ml BSA (US sourced), 0.05% sodium azide 20 ug 259
Image
V5262SAF-100UG 1 mg/ml in 1X PBS; BSA free, sodium azide free 100 ug 559
Microvalidated Recmousemono
Bulk quote request
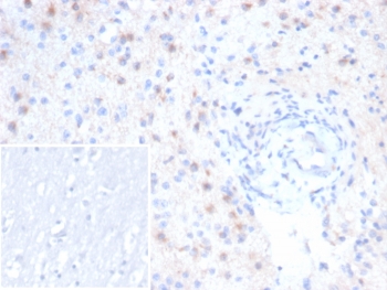
IHC staining of FFPE human brain tissue with EBAG9 antibody (clone rEBAG9/7264). Inset: PBS used in place of primary Ab (secondary Ab negative control). HIER: boil tissue sections in pH 9 10mM Tris with 1mM EDTA for 20 min and allow to cool before testing.
SDS-PAGE analysis of purified, BSA-free EBAG9 antibody (clone rEBAG9/7264) as confirmation of integrity and purity.
Availability 1-3 business days
Species Reactivity Human
Format Purified
Host Mouse
Clonality Recombinant Mouse Monoclonal
Isotype Mouse IgG1, kappa
Clone Name rEBAG9/7264
Purity Protein A/G affinity
UniProt O00559
Localization Cytoplasm
Applications Immunohistochemistry (FFPE) : 1-2ug/ml for 30 min at RT
Limitations This EBAG9 antibody is available for research use only.
Review this product on BioCompare and get a $20 Amazon gift card

Related Products

Description

EBAG9 (Estrogen receptor-binding fragment-associated gene 9 protein), also known as RCAS1, is an estrogen-transcribed protein. Soluble and membranous RCAS1 proteins may play a role in the immune escape of tumor cells by promoting T lymphocyte inhibition of growth and apoptosis. RCAS1 is expressed in a wide variety of cancers, including uterine, ovarian, and lung cancer cells, and acts as a ligand for a putative receptor present on peripheral lymphocytes. RCAS1 is highly expressed not only in cancer cells but also in non-tumor bile duct cells subject to immune attack. RCAS1 inhibits the in vitro growth of receptor-expressing cells and induces apoptosis, contributing to the ability of tumor cells to evade host immune surveillance. High expression of RCAS1 significantly correlates with tumor progression and with poor outcome for many cancer patients.

Application Notes

Optimal dilution of the EBAG9 antibody should be determined by the researcher.

Immunogen

Recombinant full-length human protein was used as the immunogen for the EBAG9 antibody.

Storage

Aliquot the EBAG9 antibody and store frozen at -20oC or colder. Avoid repeated freeze-thaw cycles.

Cross
Bulk Quote Request Form
Name*:
Organization*:
Email*:
Phone Number*:
Catalog No.*:
Comments and Specifics(amount, formulation, etc.)*:
Validation code: Captchapackage Image


Can't read the image? click here to refresh.
    *required field

Your bulk quote request has been submitted successfully!

Please contact us if you have any questions.