• Tel: 858.663.9055
  • SeparatorEmail: info@nsjbio.com
  • Tel: 858.663.9055
  • Email: info@nsjbio.com
Home >> Antibodies >> EAPP Antibody

EAPP Antibody (RQ5973)

  Catalog No Formulation Size Price (USD)  
Image RQ5973 0.5mg/ml if reconstituted with 0.2ml sterile DI water 100 ug 449
Bulk quote request
IHC staining of FFPE human rectal cancer with EAPP antibody. HIER: boil tissue sections in pH8 EDTA for 20 min and allow to cool before testing.
IHC staining of FFPE human rectal cancer with EAPP antibody. HIER: boil tissue sections in pH8 EDTA for 20 min and allow to cool before testing.
IHC staining of FFPE human rectal cancer with EAPP antibody. HIER: boil tissue sections in pH8 EDTA for 20 min and allow to cool before testing.
IHC staining of FFPE mouse heart with EAPP antibody. HIER: boil tissue sections in pH8 EDTA for 20 min and allow to cool before testing.
Immunofluorescent staining of FFPE human HeLa cells with EAPP antibody (green) and DAPI nuclear stain (blue). HIER: steam section in pH6 citrate buffer for 20 min.
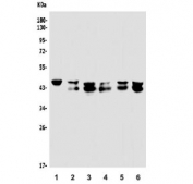
Western blot testing of human 1) placenta, 2) HeLa, 3) COLO-320, 4) Jurkat, 5) HEK293 and 6) K562 lysate with EAPP antibody. Expected molecular weight: 33-45 kDa depending on modification.
Flow cytometry testing of human HepG2 cells with EAPP antibody at 1ug/million cells (blocked with goat sera); Red=cells alone, Green=isotype control, Blue= EAPP antibody.
Availability 1-3 business days
Species Reactivity Human, Mouse
Format Antigen affinity purified
Host Rabbit
Clonality Polyclonal (rabbit origin)
Isotype Rabbit IgG
Purity Affinity purified
Buffer Lyophilized from 1X PBS with 2% Trehalose and 0.025% sodium azide
UniProt Q56P03
Localization Nuclear, cytoplasmic
Applications Western Blot : 0.5-1ug/ml
Immunohistochemistry : 1-2ug/ml
Immunofluorescence : 2-4ug/ml
Flow Cytometry : 1-3ug/million cells
Direct ELISA : 0.1-0.5ug/ml
Limitations This EAPP antibody is available for research use only.
Review this product on BioCompare and get a $20 Amazon gift card

Description

E2F-associated phosphoprotein is a protein that in humans is encoded by the EAPP gene. It is mapped to 14q13.1. This gene encodes a phosphoprotein that interacts with several members of the E2F family of proteins. The protein localizes to the nucleus, and is present throughout the cell cycle except during mitosis. It functions to modulate E2F-regulated transcription and stimulate proliferation. Alternative splicing results in multiple transcript variants.

Application Notes

Optimal dilution of the EAPP antibody should be determined by the researcher.

Immunogen

Recombinant human protein (amino acids M1-S285) was used as the immunogen for the EAPP antibody.

Storage

After reconstitution, the EAPP antibody can be stored for up to one month at 4oC. For long-term, aliquot and store at -20oC. Avoid repeated freezing and thawing.

Cross
Bulk Quote Request Form
Name*:
Organization*:
Email*:
Phone Number*:
Catalog No.*:
Comments and Specifics(amount, formulation, etc.)*:
Validation code: Captchapackage Image


Can't read the image? click here to refresh.
    *required field

Your bulk quote request has been submitted successfully!

Please contact us if you have any questions.