• Tel: 858.663.9055
  • SeparatorEmail: info@nsjbio.com
  • Tel: 858.663.9055
  • Email: info@nsjbio.com
Home >> Antibodies >> E-cadherin Antibody Clone SPM471 / CDH1 Antibody Published Clone

E-cadherin Antibody Clone SPM471 / CDH1 Antibody Published Clone [clone SPM471] (V8270)

  Catalog No Formulation Size Price (USD)  
Image V8270-100UG 0.2 mg/ml in 1X PBS with 0.1 mg/ml BSA (US sourced) and 0.05% sodium azide 100 ug 559
Image
V8270-20UG 0.2 mg/ml in 1X PBS with 0.1 mg/ml BSA (US sourced) and 0.05% sodium azide 20 ug 259
Image
V8270SAF-100UG 1 mg/ml in 1X PBS; BSA free, sodium azide free 100 ug 559
Bulk quote request
E-cadherin Antibody Clone SPM471 for IF. Immunofluorescence analysis of Cadherin 1 / CDH1 expression in human MCF7 cells using clone SPM471 antibody (green), showing strong membrane staining outlining epithelial cell borders, with Reddot nuclear stain (red). Signal highlights continuous cell-cell junctions and well-defined epithelial adhesion patterns.
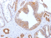
E-cadherin Antibody Clone SPM471 Prostate Carcinoma IHC. Immunohistochemistry analysis of Cadherin 1 / CDH1 expression in FFPE human prostate carcinoma using clone SPM471 antibody, showing membranous HRP-DAB brown staining in tumor epithelial cells with clear cell-cell junction localization, while surrounding stromal tissue remains largely negative. HIER: boil tissue sections in pH 9 10mM Tris with 1mM EDTA for 20 min and allow to cool before testing. Signal highlights epithelial differentiation and junctional organization in carcinoma tissue.
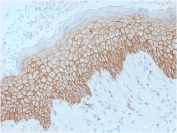
E-cadherin Antibody Clone SPM471 Human Skin IHC. Immunohistochemistry analysis of Cadherin 1 / CDH1 expression in FFPE human skin using clone SPM471 antibody, showing strong membranous HRP-DAB brown staining in stratified epithelial cells of the epidermis with clear cell-cell junction localization, while underlying dermal tissue remains largely negative. HIER: boil tissue sections in pH 9 10mM Tris with 1mM EDTA for 20 min and allow to cool before testing. Signal highlights epithelial layering and junctional organization within the epidermis.
Availability 1-3 business days
Species Reactivity Human
Format Purified
Host Mouse
Clonality Monoclonal (mouse origin)
Isotype Mouse IgG1, kappa
Clone Name SPM471
Purity Protein G affinity chromatography
UniProt P12830
Localization Cell surface
Applications Immunofluorescence : 1-2ug/ml
Immunohistochemistry (FFPE) : 1-2ug/ml
Limitations This E-cadherin Antibody Clone SPM471 / CDH1 Antibody Published Clone is available for research use only.
Review this product on BioCompare and get a $20 Amazon gift card

Related Products

Description

E-cadherin (CDH1) is a calcium-dependent transmembrane glycoprotein that functions as a central mediator of epithelial cell-cell adhesion and is a defining component of adherens junctions. E-cadherin Antibody Clone SPM471 / CDH1 Antibody Published Clone recognizes this key epithelial protein and supports detection of junctional adhesion structures that maintain tissue architecture and cellular cohesion. E-cadherin is also referred to as Cadherin 1 antibody and is widely used as a marker of epithelial identity, differentiation, and tumor classification.

E-cadherin Antibody Clone SPM471 is distinguished by its documented use in the scientific literature, with approximately 28 peer-reviewed publications reporting application of this clone in studies of epithelial biology and cancer research. The presence of published data provides an additional layer of confidence for researchers seeking continuity with established experimental approaches. This clone SPM471 antibody is therefore positioned as a literature-supported reagent for investigation of CDH1 expression across diverse biological systems.

In experimental contexts, E-cadherin antibody is frequently used to assess epithelial phenotype and to monitor changes in cell-cell adhesion associated with processes such as epithelial-to-mesenchymal transition. Loss or reduction of CDH1 expression is strongly associated with increased cellular motility and tumor progression, while preserved expression supports epithelial structure and junctional integrity. Detection of E-cadherin is therefore essential for studies examining tumor classification, invasion, and epithelial organization.

E-cadherin forms complexes with intracellular partners including beta-catenin and alpha-catenin, linking adhesion to cytoskeletal organization and signaling pathways that regulate proliferation, polarity, and differentiation. These interactions are central to both normal epithelial function and disease-associated changes in tissue structure. Reliable detection of CDH1 enables investigation of these pathways and supports broader studies of epithelial biology.

The mouse monoclonal clone SPM471 antibody provides consistent recognition of E-cadherin and is well suited for research applications where alignment with previously published work is desirable. This E-cadherin antibody is particularly valuable for investigators seeking a well-established clone for studies of epithelial adhesion, tissue organization, and disease-related changes in CDH1 expression.

This antibody is part of the CDH1 antibody collection, where multiple E-cadherin antibody formats and applications are available for studying epithelial adhesion and cancer progression.

Application Notes

Optimal dilution of the E-cadherin Antibody Clone SPM471 / CDH1 Antibody Published Clone should be determined by the researcher.

Immunogen

A recombinant human protein was used as the immunogen for this E-Cadherin antibody.

Storage

Store the E-Cadherin antibody at 2-8oC (with azide) or aliquot and store at -20oC or colder (without azide).

Alternate Names

CDH1 antibody, E-cadherin antibody, Cadherin 1 antibody, epithelial cadherin antibody, adherens junction protein antibody

Cross
Bulk Quote Request Form
Name*:
Organization*:
Email*:
Phone Number*:
Catalog No.*:
Comments and Specifics(amount, formulation, etc.)*:
Validation code: Captchapackage Image


Can't read the image? click here to refresh.
    *required field

Your bulk quote request has been submitted successfully!

Please contact us if you have any questions.