• Tel: 858.663.9055
  • SeparatorEmail: info@nsjbio.com
  • Tel: 858.663.9055
  • Email: info@nsjbio.com
Home >> Antibodies >> CDH1 Antibody for IF / E-cadherin Immunofluorescence Antibody - Tissue Imaging Marker

CDH1 Antibody for IF / E-cadherin Immunofluorescence Antibody - Tissue Imaging Marker (R31951)

  Catalog No Formulation Size Price (USD)  
Image R31951 0.5mg/ml if reconstituted with 0.2ml sterile DI water 100 ug 449
Bulk quote request
CDH1 Antibody for IF in FFPE human MCF7 cells. Immunofluorescence analysis of Cadherin 1 / CDH1 expression using a rabbit polyclonal antibody (green), showing membrane-associated staining outlining epithelial cell borders, with DAPI nuclear counterstain (blue). HIER: steam section in pH6 citrate buffer for 20 min. Signal highlights epithelial organization and preserved cell-cell adhesion patterns in FFPE preparations.
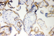
CDH1 Antibody Human Placenta IHC. Immunohistochemistry testing of FFPE human placenta with E-Cadherin/CDH1 antibody. HIER: Boil the paraffin sections in pH 6, 10mM citrate buffer for 20 minutes and allow to cool prior to staining.
CDH1 Antibody Frozen Human Placenta IHC. Immunohistochemistry testing of frozen human placenta with E-Cadherin/CDH1 antibody.
IHC testing of frozen human placenta with E-Cadherin/CDH1 antibody.
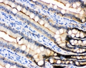
CDH1 Antibody Mouse Intestine IHC. Immunohistochemistry testing of FFPE mouse intestine with E-Cadherin/CDH1 antibody. HIER: Boil the paraffin sections in pH 6, 10mM citrate buffer for 20 minutes and allow to cool prior to staining.
CDH1 Antibody Frozen Mouse Intestine IHC. Immunohistochemistry testing of frozen mouse intestine with E-Cadherin/CDH1 antibody.
CDH1 Antibody Rat Intestine IHC. Immunohistochemistry testing of FFPE rat intestine with E-Cadherin/CDH1 antibody. HIER: Boil the paraffin sections in pH 6, 10mM citrate buffer for 20 minutes and allow to cool prior to staining.
CDH1 Antibody Frozen Rat Intestine IHC. Immunohistochemistry testing of frozen rat intestine with E-Cadherin/CDH1 antibody.
CDH1 Antibody for IF in FFPE human colon tissue. Immunofluorescence analysis of Cadherin 1 / CDH1 expression using a rabbit polyclonal antibody (red), showing strong membrane-associated staining outlining epithelial glandular structures, with DAPI nuclear counterstain (blue). HIER: boil paraffin sections in pH 6 10mM citrate buffer for 20 min and allow to cool prior to staining. Signal highlights epithelial compartment organization and clear cell-cell adhesion patterns within colon mucosa.
CDH1 Antibody for IF in FFPE human ileum tissue. Immunofluorescence analysis of Cadherin 1 / CDH1 expression using a rabbit polyclonal antibody (red), showing strong membrane-associated staining outlining epithelial lining of intestinal villi, with DAPI nuclear counterstain (blue). HIER: boil paraffin sections in pH 6 10mM citrate buffer for 20 min and allow to cool prior to staining. Signal highlights organized epithelial architecture and continuous cell-cell adhesion along the mucosal surface.
CDH1 Antibody for IF in FFPE mouse ileum tissue. Immunofluorescence analysis of Cadherin 1 / CDH1 expression using a rabbit polyclonal antibody (red), showing strong membrane-associated staining outlining epithelial cells within intestinal villi and crypt structures, with DAPI nuclear counterstain (blue). HIER: boil paraffin sections in pH 6 10mM citrate buffer for 20 min and allow to cool prior to staining. Signal highlights epithelial compartment organization and continuous cell-cell adhesion patterns in intestinal tissue.
CDH1 Antibody for IF in FFPE mouse ileum tissue. Immunofluorescence analysis of Cadherin 1 / CDH1 expression using a rabbit polyclonal antibody (red), showing continuous membrane-associated staining along the epithelial lining of intestinal villi, with DAPI nuclear counterstain (blue). HIER: boil paraffin sections in pH 6 10mM citrate buffer for 20 min and allow to cool prior to staining. Signal highlights organized villus architecture and strong cell-cell adhesion across the epithelial layer.
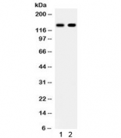
Western blot testing of 1) human placenta and 2) HeLa lysate with E-Cadherin/CDH1 antibody. Expected molecular weight: 135 kDa (precursor), 80-120 kDa (mature, depending on glycosylation level).
CDH1 Antibody for IF in FFPE human colon cancer tissue. Immunofluorescence analysis of Cadherin 1 / CDH1 expression using a rabbit polyclonal antibody (green), showing membrane-associated staining along tumor epithelial cells with areas of variable continuity, with DAPI nuclear counterstain (blue). HIER: steam section in pH6 citrate buffer for 20 min. Signal highlights altered epithelial architecture and heterogeneous cell-cell adhesion patterns in malignant tissue.
CDH1 Antibody for IF in FFPE mouse colon tissue. Immunofluorescence analysis of Cadherin 1 / CDH1 expression using a rabbit polyclonal antibody (green), showing membrane-associated staining outlining epithelial cells within colonic crypt structures, with DAPI nuclear counterstain (blue). HIER: steam section in pH6 citrate buffer for 20 min. Signal highlights organized crypt architecture and continuous epithelial cell-cell adhesion patterns.
Availability 1-3 business days
Species Reactivity Human, Mouse, Rat
Format Antigen affinity purified
Host Rabbit
Clonality Polyclonal (rabbit origin)
Isotype Rabbit IgG
Purity Antigen affinity
Buffer Lyophilized from 1X PBS with 2.5% BSA and 0.025% sodium azide
UniProt P12830
Localization Cytoplasmic, membranous
Applications Western Blot : 0.1-0.5ug/ml
Immunohistochemistry (FFPE) : 0.5-1ug/ml
Immunohistochemistry (Frozen) : 0.5-1ug/ml
Immunofluorescence : 5-7ug/ml
ELISA : 0.1-0.5ug/ml (human protein tested); request BSA-free format for coating
Limitations This CDH1 Antibody for IF / E-cadherin Immunofluorescence Antibody - Tissue Imaging Marker is available for research use only.
Review this product on BioCompare and get a $20 Amazon gift card

Related Products

Description

Cadherin 1 (CDH1) is a calcium-dependent transmembrane glycoprotein that mediates epithelial cell-cell adhesion through adherens junction formation and is essential for maintaining tissue integrity and structural organization. CDH1 localizes predominantly to the plasma membrane of epithelial cells, where it forms homophilic interactions that stabilize cell layers and preserve epithelial polarity. CDH1 Antibody for IF enables direct visualization of these adhesion structures in both cultured cells and tissue sections, providing critical insight into epithelial organization within native biological contexts. CDH1 is also widely referred to as E-cadherin antibody, a canonical epithelial marker used across histological and imaging studies.

CDH1 Antibody for IF / E-cadherin Immunofluorescence Antibody - Tissue Imaging Marker is uniquely suited for fluorescence-based analysis of epithelial structures within intact tissues. This rabbit polyclonal antibody supports broad epitope recognition, allowing consistent detection of CDH1 across diverse tissue types and fixation conditions. In tissue immunofluorescence applications, this CDH1 antibody enables clear visualization of epithelial compartments, including glandular structures, ductal systems, and surface epithelia, where membrane-associated staining outlines organized cellular architecture. The ability to maintain signal fidelity across heterogeneous samples makes this approach particularly valuable for tissue-level imaging studies.

In contrast to cell culture imaging alone, tissue immunofluorescence provides a more comprehensive view of epithelial organization by preserving spatial relationships between cells and surrounding microenvironments. CDH1 antibody staining in tissue sections reveals the continuity and organization of epithelial layers, allowing direct comparison between normal and altered tissue states. Continuous membranous staining is indicative of intact epithelial architecture, while disrupted or reduced signal can reflect pathological changes, including loss of adhesion and structural disorganization. CDH1 Antibody for IF is therefore a key tool for evaluating epithelial integrity in situ.

The polyclonal nature of this CDH1 antibody enhances detection sensitivity and allows recognition of multiple epitopes, which can improve staining performance in tissues with variable antigen accessibility. This is particularly advantageous in formalin-fixed samples, where epitope masking can occur. As a result, this antibody supports reliable immunofluorescence staining across a wide range of tissue preparations and experimental conditions.

This CDH1 antibody is especially well suited for fluorescence-based workflows that require robust tissue staining, clear morphological preservation, and consistent signal across multiple sample types. Its performance in tissue imaging applications enables detailed analysis of epithelial organization, structural integrity, and disease-associated changes in epithelial architecture.

This antibody is part of the CDH1 antibody collection, where multiple E-cadherin antibody formats and applications are available for studying epithelial adhesion and cancer progression.

Application Notes

Optimal dilution of the CDH1 Antibody for IF / E-cadherin Immunofluorescence Antibody - Tissue Imaging Marker should be determined by the researcher.

Immunogen

Amino acids 286-703 of human E Cadherin/CDH1 were used as the immunogen for the E-Cadherin antibody.

Storage

After reconstitution, the E-Cadherin/CDH1 antibody can be stored for up to one month at 4oC. For long-term, aliquot and store at -20oC. Avoid repeated freezing and thawing.

Alternate Names

E-cadherin antibody, CDH1 immunofluorescence antibody, tissue IF antibody, epithelial tissue marker antibody, cadherin tissue staining antibody

Cross
Bulk Quote Request Form
Name*:
Organization*:
Email*:
Phone Number*:
Catalog No.*:
Comments and Specifics(amount, formulation, etc.)*:
Validation code: Captchapackage Image


Can't read the image? click here to refresh.
    *required field

Your bulk quote request has been submitted successfully!

Please contact us if you have any questions.