• Tel: 858.663.9055
  • SeparatorEmail: info@nsjbio.com
  • Tel: 858.663.9055
  • Email: info@nsjbio.com
Home >> Antibodies >> E-cadherin Antibody for IF / CDH1 Immunofluorescence Antibody - Junction Remodeling Marker

E-cadherin Antibody for IF / CDH1 Immunofluorescence Antibody - Junction Remodeling Marker [clone ECD1-2] (V7230)

  Catalog No Formulation Size Price (USD)  
Image V7230-100UG 0.2 mg/ml in 1X PBS with 0.1 mg/ml BSA (US sourced) and 0.05% sodium azide 100 ug 559
Image
V7230-20UG 0.2 mg/ml in 1X PBS with 0.1 mg/ml BSA (US sourced) and 0.05% sodium azide 20 ug 259
Image
V7230SAF-100UG 1 mg/ml in 1X PBS; BSA free, sodium azide free 100 ug 559
Bulk quote request
E-cadherin Antibody for IF. Immunofluorescence analysis of Cadherin 1 / CDH1 expression in human MCF7 cells using clone ECD1-2 antibody (green), showing membrane-associated staining with areas of variable continuity at cell-cell junctions, with Reddot nuclear stain (red). Signal highlights junctional organization and localized changes in cell-cell adhesion consistent with junction remodeling.
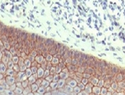
E-Cadherin Antibody Human Skin IHC. Immunohistochemistry testing of FFPE human skin with E-Cadherin antibody (clone ECD1-2). HIER: steam sections in pH6 citrate buffer for 20 min.
E-Cadherin Antibody Human Placenta IHC. Immunohistochemistry testing of FFPE human placenta with E-Cadherin antibody (clone ECD1-2). HIER: steam sections in pH6 citrate buffer for 20 min.
Western blot testing of 1) partial recombinant protein and 2) human stomach lysate using E-Cadherin antibody at 0.5ug/ml. Expected molecular weight: 135 kDa (precursor), 80-120 kDa (mature, depending on glycosylation level).
Availability 1-3 business days
Species Reactivity Human
Format Purified
Host Mouse
Clonality Monoclonal (mouse origin)
Isotype Mouse IgG1, kappa
Clone Name ECD1-2
Purity Protein G affinity chromatography
UniProt P12830
Localization Cytoplasmic, membranous
Applications Western Blot : 1-2ug/ml
Immunohistochemistry (FFPE) : 1-2ug/ml for 30 min at RT
Immunofluorescence : 2-4ug/ml
Limitations This E-cadherin Antibody for IF / CDH1 Immunofluorescence Antibody - Junction Remodeling Marker is available for research use only.
Review this product on BioCompare and get a $20 Amazon gift card

Related Products

Description

E-cadherin (CDH1) is a key regulator of epithelial adhesion that undergoes dynamic changes during processes such as tissue remodeling, differentiation, and tumor progression. Under normal conditions, CDH1 localizes to adherens junctions at the plasma membrane, where it maintains stable cell-cell contacts and supports epithelial integrity. However, during cellular transitions, CDH1 expression and localization can be altered, leading to changes in adhesion strength and tissue organization. E-cadherin Antibody for IF enables visualization of these dynamic processes, providing insight into epithelial plasticity and remodeling. CDH1 is widely recognized as E-cadherin antibody and is a central marker of epithelial state.

E-cadherin Antibody for IF / CDH1 Immunofluorescence Antibody - Junction Remodeling Marker (clone ECD1-2) is designed for imaging applications that capture changes in junctional organization and epithelial structure. The mouse monoclonal clone ECD1-2 antibody produces strong membrane staining in epithelial cell models such as MCF7, allowing visualization of both intact and altered adhesion patterns. This clone ECD1-2 antibody supports fluorescence imaging workflows focused on detecting dynamic changes in cell-cell junctions.

In immunofluorescence studies, E-cadherin antibody reveals variation in membrane staining patterns that reflect changes in junction continuity. Continuous membrane localization indicates stable epithelial adhesion, while discontinuous, punctate, or redistributed staining can indicate junction remodeling or loss of epithelial characteristics. These patterns provide valuable information about cellular state and can be used to study processes such as epithelial-to-mesenchymal transition, where CDH1 downregulation or relocalization is a key feature.

At the molecular level, E-cadherin interacts with catenin proteins and cytoskeletal components to regulate both structural integrity and intracellular signaling pathways. Changes in E-cadherin localization can influence signaling cascades that control proliferation, migration, and differentiation. E-cadherin immunofluorescence antibody enables visualization of these changes within the cellular context, supporting studies of adhesion regulation and epithelial plasticity.

This E-cadherin antibody is particularly useful for fluorescence-based analysis of epithelial remodeling, where detection of both stable and altered junctional patterns is required. The membrane-associated staining produced by clone ECD1-2 allows researchers to assess changes in epithelial organization and supports imaging workflows focused on dynamic cellular behavior.

This antibody is part of the CDH1 antibody collection, where multiple E-cadherin antibody formats and applications are available for studying epithelial adhesion and cancer progression.

Application Notes

Optimal dilution of the E-cadherin Antibody for IF / CDH1 Immunofluorescence Antibody - Junction Remodeling Marker should be determined by the researcher.

Immunogen

A full length recombinant human protein was used as the immunogen for the E-Cadherin antibody.

Storage

Store the E-Cadherin antibody at 2-8oC (with azide) or aliquot and store at -20oC or colder (without azide).

Alternate Names

CDH1 antibody, E-cadherin IF antibody, junction remodeling antibody, epithelial transition marker antibody, adhesion regulation antibody

Cross
Bulk Quote Request Form
Name*:
Organization*:
Email*:
Phone Number*:
Catalog No.*:
Comments and Specifics(amount, formulation, etc.)*:
Validation code: Captchapackage Image


Can't read the image? click here to refresh.
    *required field

Your bulk quote request has been submitted successfully!

Please contact us if you have any questions.