• Tel: 858.663.9055
  • SeparatorEmail: info@nsjbio.com
  • Tel: 858.663.9055
  • Email: info@nsjbio.com
Home >> Antibodies >> Dystrophin Antibody / DMD

Dystrophin Antibody / DMD [clone DMD/3677] (V8443)

  Catalog No Formulation Size Price (USD)  
Image V8443-100UG 0.2 mg/ml in 1X PBS with 0.1 mg/ml BSA (US sourced) and 0.05% sodium azide 100 ug 559
Image
V8443-20UG 0.2 mg/ml in 1X PBS with 0.1 mg/ml BSA (US sourced) and 0.05% sodium azide 20 ug 259
Image
V8443SAF-100UG 1 mg/ml in 1X PBS; BSA free, sodium azide free 100 ug 559
Bulk quote request
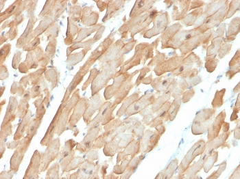
IHC staining of FFPE human cardiac muscle with Dystrophin antibody (clone DMD/3677). HIER: boil tissue sections in pH 9 10mM Tris with 1mM EDTA for 20 min and allow to cool before testing.
IHC staining of FFPE human skeletal muscle with Dystrophin antibody (clone DMD/3677). HIER: boil tissue sections in pH 9 10mM Tris with 1mM EDTA for 20 min and allow to cool before testing.
SDS-PAGE analysis of purified, BSA-free Dystrophin antibody (clone DMD/3677) as confirmation of integrity and purity.
Availability 1-3 business days
Species Reactivity Human
Format Purified
Host Mouse
Clonality Monoclonal (mouse origin)
Isotype Mouse IgG, kappa
Clone Name DMD/3677
Purity Protein G affinity chromatography
UniProt P11532
Localization Cell surface, cytoplasmic
Applications ELISA : order Ab without BSA for coating
Immunohistochemistry (FFPE) : 1-2ug/ml for 30 minutes at RT
Limitations This Dystrophin antibody is available for research use only.
Review this product on BioCompare and get a $20 Amazon gift card

Related Products

Description

Dystrophin-glycoprotein complex (DGC) connects the F-Actin cytoskeleton on the inner surface of muscle fibers to the surrounding extracellular matrix, through the cell membrane interface. A deficiency in this protein contributes to Duchenne (DMD) and Becker (BMD) muscular dystrophies. The human dystrophin gene measures 2.4 megabases, has more than 80 exons, produces a 14 kb mRNA and contains at least 8 independent tissue-specific promoters and 2 poly A sites. The dystrophin mRNA can undergo differential splicing and produce a range of transcripts that encode a large set of proteins. Dystrophin represents approximately 0.002% of total striated muscle protein and localizes to triadic junctions in skeletal muscle, where it is thought to influence calcium ion homeostasis and force transmission.

This DMD antibody can be compared with our Dystrophin Antibody (clone DMD/3241) for analysis of dystrophin expression across muscle structure and neuromuscular disease studies.

Application Notes

Optimal dilution of the Dystrophin antibody should be determined by the researcher.

Immunogen

A portion of amino acids 114-263 from the human protein was used as the immunogen for the Dystrophin antibody.

Storage

Store the Dystrophin antibody at 2-8oC (with azide) or aliquot and store at -20oC or colder (without azide).

Cross
Bulk Quote Request Form
Name*:
Organization*:
Email*:
Phone Number*:
Catalog No.*:
Comments and Specifics(amount, formulation, etc.)*:
Validation code: Captchapackage Image


Can't read the image? click here to refresh.
    *required field

Your bulk quote request has been submitted successfully!

Please contact us if you have any questions.