• Tel: 858.663.9055
  • SeparatorEmail: info@nsjbio.com
  • Tel: 858.663.9055
  • Email: info@nsjbio.com
Home >> Antibodies >> DYNLT1 Antibody

DYNLT1 Antibody (RQ4143)

  Catalog No Formulation Size Price (USD)  
Image RQ4143 0.5mg/ml if reconstituted with 0.2ml sterile DI water 100 ug 449
Bulk quote request
Immunofluorescent staining of FFPE human testis cancer tissue with DYNLT1 antibody (red) and DAPI nuclear stain (blue). HIER: steam section in pH8 EDTA buffer for 20 min.
Immunofluorescent staining of FFPE human placental tissue with DYNLT1 antibody (red) and DAPI nuclear stain (blue). HIER: steam section in pH8 EDTA buffer for 20 min.
Immunofluorescent staining of FFPE rat testis tissue with DYNLT1 antibody (red) and DAPI nuclear stain (blue). HIER: steam section in pH8 EDTA buffer for 20 min.
Immunofluorescent staining of FFPE human U-2 OS cells with DYNLT1 antibody (green) and DAPI nuclear stain (blue). HIER: steam section in pH6 citrate buffer for 20 min.
Western blot testing of human 1) SiHa, 2) U-251 and 3) SH-SY5Y cell lysate with DYNLT1 antibody at 0.5ug/ml. Predicted molecular weight ~12 kDa.
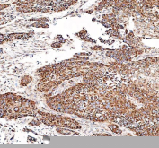
Immunohistochemical staining of FFPE human colon adenocarcinoma tissue with DYNLT1 antibody, HRP-secondary and DAB substrate. HIER: boil tissue sections in pH8 EDTA for 20 min and allow to cool before testing.
Immunohistochemical staining of FFPE human esophageal keratinizing squamous cell carcinoma tissue with DYNLT1 antibody, HRP-secondary and DAB substrate. HIER: boil tissue sections in pH8 EDTA for 20 min and allow to cool before testing.
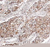
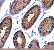
Immunohistochemical staining of FFPE human testis cancer tissue with DYNLT1 antibody, HRP-secondary and DAB substrate. HIER: boil tissue sections in pH8 EDTA for 20 min and allow to cool before testing.
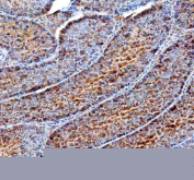
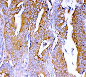
Immunohistochemical staining of FFPE human lung cancer tissue with DYNLT1 antibody, HRP-secondary and DAB substrate. HIER: boil tissue sections in pH8 EDTA for 20 min and allow to cool before testing.
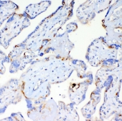
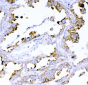
Immunohistochemical staining of FFPE mouse epididymis tissue with DYNLT1 antibody, HRP-secondary and DAB substrate. HIER: boil tissue sections in pH8 EDTA for 20 min and allow to cool before testing.
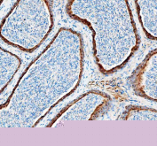
Immunohistochemical staining of FFPE mouse testis tissue with DYNLT1 antibody, HRP-secondary and DAB substrate. HIER: boil tissue sections in pH8 EDTA for 20 min and allow to cool before testing.
Immunohistochemical staining of FFPE rat testis tissue with DYNLT1 antibody, HRP-secondary and DAB substrate. HIER: boil tissue sections in pH8 EDTA for 20 min and allow to cool before testing.
Availability 1-3 business days
Species Reactivity Human, Mouse, Rat
Format Antigen affinity purified
Host Rabbit
Clonality Polyclonal (rabbit origin)
Isotype Rabbit IgG
Purity Antigen affinity purified
Buffer Lyophilized from 1X PBS with 2% Trehalose
UniProt P63172
Localization Cytoplasmic
Applications Western Blot : 0.5-1ug/ml
Immunohistochemistry (FFPE) : 2-5ug/ml
Immunofluorescence : 5ug/ml
Direct ELISA : 0.1-0.5ug/ml
Limitations This DYNLT1 antibody is available for research use only.
Review this product on BioCompare and get a $20 Amazon gift card

Related Products

Description

DYNLT1 antibody detects TCTEX1, a light chain component of the cytoplasmic dynein motor complex that contributes to intracellular transport, organelle positioning, and regulation of cytoskeletal dynamics. The UniProt recommended name is Dynein light chain Tctex-type 1 (DYNLT1). As part of the multisubunit dynein machinery, TCTEX1 participates in minus end directed movement along microtubules, supporting processes such as vesicle trafficking, endosome transport, mitotic spindle orientation, and maintenance of cellular architecture.

TCTEX1 is a small cytoplasmic protein of approximately 113 amino acids that functions primarily as a regulatory and cargo binding subunit within the dynein complex. Through its ability to associate with dynein intermediate chains and light intermediate chains, TCTEX1 helps specify cargo attachment and modulates motor activity. Its interactions enable dynein to transport organelles, signaling complexes, and protein cargoes toward microtubule organizing centers. This fundamental movement is essential for vesicle sorting, lysosome positioning, retrograde signaling, and proper spindle alignment during cell division.

The DYNLT1 gene is located on chromosome 6q25.2 and is expressed in a broad range of tissues including brain, testis, epithelium, muscle, and endocrine organs. Significant expression in neurons reflects TCTEX1's importance in retrograde axonal transport, synaptic vesicle trafficking, and maintenance of polarized neuronal morphology. In reproductive tissues, TCTEX1 plays roles in spermatogenesis and ciliary or flagellar function through contributions to microtubule based movement and structural organization.

Structurally, TCTEX1 adopts a compact fold that supports dimerization and stable incorporation into the dynein light chain complex. This configuration enables it to function as an adaptor linking dynein to specific cargo proteins or regulatory cofactors. Through these interactions, TCTEX1 contributes to the selectivity of dynein driven transport, helping ensure directional movement of organelles such as endosomes, autophagosomes, mitochondria, and Golgi derived vesicles. Studies have shown that TCTEX1 influences dynein processivity, enabling sustained microtubule based transport over long distances.

Beyond its classical role in cargo binding, TCTEX1 is involved in cellular signaling pathways. It interacts with molecules that regulate mitotic progression, centrosome positioning, and cell polarity. During cell division, TCTEX1 assists in orientation of the mitotic spindle and proper chromosome alignment, supporting accurate segregation. In epithelial cells, TCTEX1 helps maintain polarity through coordinated distribution of proteins and organelles along the apical to basal axis. These functions underscore TCTEX1's importance beyond pure mechanical transport, extending into regulatory and structural aspects of cell organization.

Pathologically, disruptions in dynein function or altered TCTEX1 regulation have been linked to neurodegenerative conditions, defects in vesicle trafficking, and ciliopathies. Impaired retrograde transport can compromise neuronal survival, synaptic function, and intracellular homeostasis. Abnormalities in TCTEX1 expression or dynein complex assembly have also been associated with problems in gametogenesis and ciliary motility. In cancer research, altered TCTEX1 levels have been observed in some tumor types, where changes in microtubule transport and polarity may support migration or proliferative behavior.

In experimental systems, TCTEX1 is investigated for its contributions to dynein cargo binding, intracellular trafficking, and organelle dynamics. Because microtubule based transport is fundamental to cellular organization, TCTEX1 serves as a valuable marker for studying dynein function, retrograde transport pathways, and regulatory mechanisms that shape subcellular localization patterns. TCTEX1 is also used in cell division studies due to its involvement in spindle positioning and cytoskeletal regulation.

DYNLT1 antibody is validated for use in relevant research applications to detect TCTEX1 expression and support studies of dynein mediated transport, cytoskeletal organization, and intracellular dynamics. NSJ Bioreagents provides DYNLT1 antibody reagents suitable for cell biology, neuroscience, reproductive biology, and cytoskeletal research.

Application Notes

Optimal dilution of the DYNLT1 antibody should be determined by the researcher.

Immunogen

A recombinant human partial protein corresponding to amino acids M1-A80 was used as the immunogen for the DYNLT1 antibody.

Storage

After reconstitution, the DYNLT1 antibody can be stored for up to one month at 4oC. For long-term, aliquot and store at -20oC. Avoid repeated freezing and thawing.

Cross
Bulk Quote Request Form
Name*:
Organization*:
Email*:
Phone Number*:
Catalog No.*:
Comments and Specifics(amount, formulation, etc.)*:
Validation code: Captchapackage Image


Can't read the image? click here to refresh.
    *required field

Your bulk quote request has been submitted successfully!

Please contact us if you have any questions.