• Tel: 858.663.9055
  • SeparatorEmail: info@nsjbio.com
  • Tel: 858.663.9055
  • Email: info@nsjbio.com
Home >> Antibodies >> Dynamin 1 Antibody / DNM1

Dynamin 1 Antibody / DNM1 (RQ4209)

  Catalog No Formulation Size Price (USD)  
Image RQ4209 0.5mg/ml if reconstituted with 0.2ml sterile DI water 100 ug 449
Bulk quote request
Western blot testing of 1) rat brain, 2) mouse brain and 3) mouse NIH3T3 lysate with Dynamin 1 antibody at 0.5ug/ml. Predicted molecular weight ~97 kDa.
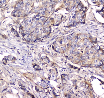
IHC testing of FFPE human lung cancer tissue with Dynamin 1 antibody at 1ug/ml. Required HIER: steam section in pH6 citrate buffer for 20 min and allow to cool prior to staining.
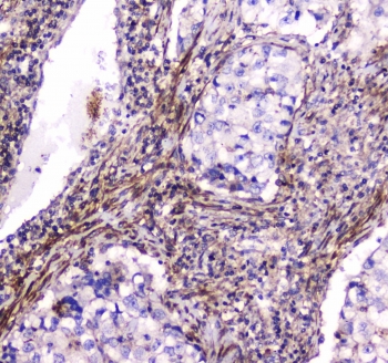
IHC testing of FFPE human breast cancer tissue with Dynamin 1 antibody at 1ug/ml. Required HIER: steam section in pH6 citrate buffer for 20 min and allow to cool prior to staining.
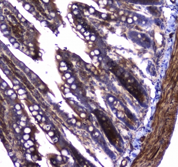
IHC testing of FFPE mouse small intestine tissue with Dynamin 1 antibody at 1ug/ml. Required HIER: steam section in pH6 citrate buffer for 20 min and allow to cool prior to staining.
IHC testing of FFPE rat small intestine tissue with Dynamin 1 antibody at 1ug/ml. Required HIER: steam section in pH6 citrate buffer for 20 min and allow to cool prior to staining.
Flow cytometry testing of human U-251 MG cells with Dynamin 1 antibody at 1ug/10^6 cells (blocked with goat sera); Red=cells alone, Green=isotype control, Blue=Dynamin 1 antibody.
Flow cytometry testing of human U-2 OS cells with Dynamin 1 antibody at 1ug/10^6 cells (blocked with goat sera); Red=cells alone, Green=isotype control, Blue=Dynamin 1 antibody.
Flow cytometry testing of human A549 cells with Dynamin 1 antibody at 1ug/10^6 cells (blocked with goat sera); Red=cells alone, Green=isotype control, Blue=Dynamin 1 antibody.
Availability 1-3 business days
Species Reactivity Human, Mouse, Rat
Format Antigen affinity purified
Host Rabbit
Clonality Polyclonal (rabbit origin)
Isotype Rabbit IgG
Purity Antigen affinity purified
Buffer Lyophilized from 1X PBS with 2% Trehalose and 0.025% sodium azide
UniProt Q05193
Localization Cytoplasmic
Applications Western Blot : 0.5-1ug/ml
IHC (FFPE) : 1-2ug/ml
Flow Cytometry : 1-3ug/10^6 cells
Direct ELISA : 0.1-0.5ug/ml
Limitations This Dynamin 1 antibody is available for research use only.
Review this product on BioCompare and get a $20 Amazon gift card

Related Products

Description

Dynamin-1 is a protein that in humans is encoded by the DNM1 gene. This gene encodes a member of the dynamin subfamily of GTP-binding proteins. The encoded protein possesses unique mechanochemical properties used to tubulate and sever membranes, and is involved in clathrin-mediated endocytosis and other vesicular trafficking processes. Actin and other cytoskeletal proteins act as binding partners for the encoded protein, which can also self-assemble leading to stimulation of GTPase activity. More than sixty highly conserved copies of the 3' region of this gene are found elsewhere in the genome, particularly on chromosomes Y and 15. Alternatively spliced transcript variants encoding different isoforms have been described.

Application Notes

Optimal dilution of the Dynamin 1 antibody should be determined by the researcher.

Immunogen

A recombinant human protein corresponding to amino acids W616-D667 was used as the immunogen for the Dynamin 1 antibody.

Storage

After reconstitution, the Dynamin 1 antibody can be stored for up to one month at 4oC. For long-term, aliquot and store at -20oC. Avoid repeated freezing and thawing.

Cross
Bulk Quote Request Form
Name*:
Organization*:
Email*:
Phone Number*:
Catalog No.*:
Comments and Specifics(amount, formulation, etc.)*:
Validation code: Captchapackage Image


Can't read the image? click here to refresh.
    *required field

Your bulk quote request has been submitted successfully!

Please contact us if you have any questions.