• Tel: 858.663.9055
  • SeparatorEmail: info@nsjbio.com
  • Tel: 858.663.9055
  • Email: info@nsjbio.com
Home >> Antibodies >> DUT Antibody / Deoxyuridine triphosphatase

DUT Antibody / Deoxyuridine triphosphatase (FY13460)

  Catalog No Formulation Size Price (USD)  
Image FY13460 Adding 0.2 ml of distilled water will yield a concentration of 500 ug/ml 100 ug 449
Bulk quote request
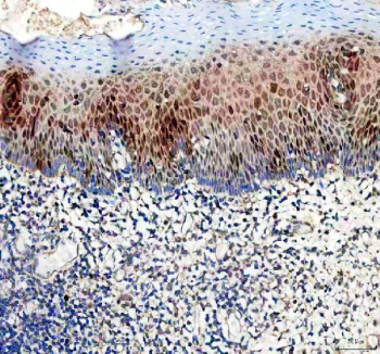
IHC analysis of DUT Antibody / Deoxyuridine triphosphatase. DUT expression was examined in a paraffin-embedded section of human tonsil tissue. Following heat-mediated antigen retrieval in EDTA buffer (pH 8.0), tissue sections were blocked with goat serum and incubated with a rabbit anti-DUT antibody. Immunoreactivity was visualized using an HRP-based detection system with DAB chromogen. Prominent nuclear staining is observed in lymphoid cells within germinal center regions, consistent with the role of DUT in DNA replication and nucleotide metabolism in proliferating cells.
IHC analysis of DUT Antibody / Deoxyuridine triphosphatase. DUT expression was examined in a paraffin-embedded section of human tonsil tissue. Following heat-mediated antigen retrieval in EDTA buffer (pH 8.0), tissue sections were blocked with goat serum and incubated with a rabbit anti-DUT antibody. Immunoreactivity was visualized using an HRP-based detection system with DAB chromogen. Nuclear-predominant staining is observed in lymphoid cells, with variable intensity reflecting differences in cellular proliferation states across tissue regions.
IHC analysis of DUT Antibody / Deoxyuridine triphosphatase. DUT expression was examined in a paraffin-embedded section of human tonsil tissue. Following heat-mediated antigen retrieval in EDTA buffer (pH 8.0), tissue sections were blocked with goat serum and incubated with a rabbit anti-DUT antibody. Immunoreactivity was visualized using an HRP-based detection system with DAB chromogen. Broad nuclear staining is observed across lymphoid compartments, providing tissue-level context for DUT expression in immune cells.
IF analysis of DUT Antibody / Deoxyuridine triphosphatase. DUT localization was examined in immunocytochemical sections of human HeLa cells. Cells were blocked with goat serum and incubated with a rabbit anti-DUT antibody together with an alpha tubulin antibody. DUT signal is shown in green, alpha tubulin in red. DUT staining is predominantly nuclear, consistent with its role in regulating nucleotide pools during DNA replication, while alpha tubulin outlines the cytoplasmic microtubule network.
Western blot analysis of DUT Antibody / Deoxyuridine triphosphatase. Proteins were separated by 12% SDS-PAGE and transferred to a nitrocellulose membrane for immunodetection. Lane 1: human HEL whole cell lysates; Lane 2: human Jurkat whole cell lysates; Lane 3: human SH-SY5Y whole cell lysates; Lane 4: human HeLa whole cell lysates. A predominant band is detected at approximately 18 kDa across all samples. Although DUT is reported to have an apparent molecular weight of approximately 27 kDa for the full-length precursor, the lower band observed here is consistent with the mature, processed nuclear dUTPase isoform. DUT is known to produce multiple isoforms through alternative targeting and proteolytic processing, including a shorter nuclear form and a longer mitochondrial precursor, which explains the observed size differences across experimental systems.
Availability 1-2 days
Species Reactivity Human
Format Lyophilized
Host Rabbit
Clonality Polyclonal (rabbit origin)
Isotype Rabbit IgG
Purity Immunogen affinity purified
Buffer Each vial contains 4 mg Trehalose, 0.9 mg NaCl, 0.2 mg Na2HPO4.
UniProt P33316
Localization Nuclear, Mitochondrial
Applications Western Blot : 0.25-0.5ug/ml
Immunohistochemistry : 2-5ug/ml
Immunofluorescence : 5ug/ml
Limitations This DUT antibody is available for research use only.
Review this product on BioCompare and get a $20 Amazon gift card

Related Products

Description

DUT Antibody targets Deoxyuridine triphosphatase, encoded by the DUT gene. Deoxyuridine triphosphatase is a highly conserved nucleotide metabolism enzyme that plays a critical role in maintaining genomic integrity by regulating intracellular dUTP levels. The enzyme catalyzes the hydrolysis of dUTP to dUMP and inorganic pyrophosphate, thereby preventing misincorporation of uracil into DNA during replication and repair. This protective function places Deoxyuridine triphosphatase at the center of DNA synthesis fidelity and genome stability control.

Functionally, Deoxyuridine triphosphatase acts as a gatekeeper within the thymidylate biosynthesis and DNA replication pathways. By converting dUTP to dUMP, the enzyme simultaneously reduces the pool of potentially mutagenic dUTP and supplies substrate for thymidylate synthase, supporting balanced dTTP production. Loss or inhibition of DUT activity leads to elevated uracil incorporation into DNA, triggering base excision repair pathways and increasing the risk of DNA strand breaks and replication stress. A DUT Antibody is therefore valuable for studies examining DNA replication, nucleotide pool homeostasis, and mechanisms that safeguard genome integrity.

Deoxyuridine triphosphatase exists in both nuclear and mitochondrial isoforms generated through alternative targeting sequences, allowing the enzyme to protect genomic DNA as well as mitochondrial DNA from uracil misincorporation. Subcellular localization can vary depending on isoform expression and cellular context, with nuclear localization supporting chromosomal DNA replication and mitochondrial localization contributing to maintenance of mitochondrial genome stability. Expression of DUT is broadly observed in proliferative tissues and dividing cells, reflecting increased demand for nucleotide regulation during DNA synthesis.

From a disease relevance perspective, altered regulation of Deoxyuridine triphosphatase has been linked to cancer biology and therapeutic response. Rapidly dividing tumor cells often rely on tight control of nucleotide pools, and DUT expression has been examined in the context of chemotherapeutic sensitivity, particularly for agents that disrupt thymidylate metabolism. Inhibition or dysregulation of DUT can exacerbate DNA damage in cancer cells, while elevated expression may confer resistance to antimetabolite therapies. Beyond oncology, DUT activity is also relevant to viral replication, as several viruses encode or interact with dUTPase enzymes to protect their genomes during replication in host cells.

At the molecular level, Deoxyuridine triphosphatase forms a homotrimeric structure that creates a highly specific catalytic pocket for dUTP binding and hydrolysis. The enzyme belongs to the dUTPase family, characterized by conserved motifs required for substrate recognition and catalysis. These structural features are frequently explored in biochemical and structural studies aimed at understanding enzyme regulation and inhibitor design. Antibody-based detection of Deoxyuridine triphosphatase supports research into DNA metabolism, replication stress responses, cancer cell biology, and antiviral mechanisms. NSJ Bioreagents provides reagents intended for research use to support investigations involving DUT expression and function.

Application Notes

Optimal dilution of the DUT antibody should be determined by the researcher.

Immunogen

A synthetic peptide corresponding to a sequence at the C-terminus of human Deoxyuridine triphosphatase was used as the immunogen for DUT antibody.

Storage

After reconstitution, the DUT antibody can be stored for up to one month at 4oC. For long-term, aliquot and store at -20oC. Avoid repeated freezing and thawing.

Cross
Bulk Quote Request Form
Name*:
Organization*:
Email*:
Phone Number*:
Catalog No.*:
Comments and Specifics(amount, formulation, etc.)*:
Validation code: Captchapackage Image


Can't read the image? click here to refresh.
    *required field

Your bulk quote request has been submitted successfully!

Please contact us if you have any questions.