• Tel: 858.663.9055
  • SeparatorEmail: info@nsjbio.com
  • Tel: 858.663.9055
  • Email: info@nsjbio.com
Home >> Antibodies >> Duox2 Antibody

Duox2 Antibody (RQ6472)

  Catalog No Formulation Size Price (USD)  
Image RQ6472 0.5mg/ml if reconstituted with 0.2ml sterile DI water 100 ug 449
Bulk quote request
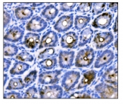
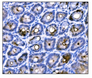
IHC staining of FFPE mouse colon tissue with Duox2 antibody. HIER: boil tissue sections in pH8 EDTA for 20 min and allow to cool before testing.
Western blot testing of 1) rat liver and 2) mouse liver tissue lysate with Duox2 antibody. Predicted molecular weight ~175 kDa.
Availability 1-3 business days
Species Reactivity Mouse, Rat
Format Antigen affinity purified
Host Rabbit
Clonality Polyclonal (rabbit origin)
Isotype Rabbit IgG
Purity Affinity purified
Buffer Lyophilized from 1X PBS with 2% Trehalose
UniProt B7ZWM4
Applications Western Blot : 1-2ug/ml
Immunohistochemistry (FFPE) : 2-5ug/ml
Direct ELISA : 0.1-0.5ug/ml
Limitations This Duox2 antibody is available for research use only.
Review this product on BioCompare and get a $20 Amazon gift card

Description

Dual oxidase 2, also known as DUOX2 or ThOX2 (for thyroid oxidase), is an enzyme that in humans is encoded by the DUOX2 gene. The protein encoded by this gene is a glycoprotein and a member of the NADPH oxidase family. The synthesis of thyroid hormone is catalyzed by a protein complex located at the apical membrane of thyroid follicular cells. This complex contains an iodide transporter, thyroperoxidase, and a peroxide generating system that includes this encoded protein and DUOX1. This protein is known as dual oxidase because it has both a peroxidase homology domain and a gp91phox domain.

Application Notes

Optimal dilution of the Duox2 antibody should be determined by the researcher.

Immunogen

An E. coli-derived mouse protein (amino acids A63-D403) was used as the immunogen for the Duox2 antibody.

Storage

After reconstitution, the Duox2 antibody can be stored for up to one month at 4oC. For long-term, aliquot and store at -20oC. Avoid repeated freezing and thawing.

Cross
Bulk Quote Request Form
Name*:
Organization*:
Email*:
Phone Number*:
Catalog No.*:
Comments and Specifics(amount, formulation, etc.)*:
Validation code: Captchapackage Image


Can't read the image? click here to refresh.
    *required field

Your bulk quote request has been submitted successfully!

Please contact us if you have any questions.